Primary Antibodies
Secondary Antibodies
Proteins & Peptides
ELISA Kits
About Us
Contact Us
Sign In/Register
0
ISO 9001:2015 Certified
Live Customer Support
4.5/5 on Trustpilot
100% Quality Guarantee
Home
Primary Antibodies
IL1RAP Antibodies
Anti-IL1RAP Antibody (A45376)
Anti-IL1RAP Antibody (A45376)
Overview
Specifications
Images
Enlarge Image
$430
Product Datasheet
Rabbit polyclonal antibody to IL1RAP for IHC.
100% Guarantee
Price Match Guarantee
Product Size:
100µl
Quantity:
1
2
3
4
5
6
7
8
9
10
Add To Cart
Request a Quotation
Custom or Bulk Request
Shipping Information
Freight/Packing Charges:
$40
Dispatched from St. Louis, MO.
Lead Time: 6-9 business days.
Specifications
Name
Anti-IL1RAP Antibody
Description
Rabbit polyclonal antibody to IL1RAP
Specificity
The antibody detects endogenous levels of total IL1RAP protein.
Applications
IHC
Reactivity
Human
Immunogen
Fusion protein corresponding to a region derived from internal residues of human Interleukin-1 receptor accessory protein
Host
Rabbit
Clonality
Polyclonal
Conjugate
Unconjugated
Purification
Antigen affinity purification.
Concentration
0.24 mg/mL
Formulation
Supplied in PBS, pH 7.3, containing 0.05% sodium azide and 50% glycerol.
Storage
Shipped at 4°C. Upon delivery aliquot and store at -20°C. Avoid freeze/thaw cycles.
Synonyms
C3orf13, IL-1 receptor accessory protein, IL-1R-3, IL-1R3, IL-1RAcP, IL1R3, Interleukin-1 receptor 3, Interleukin-1 receptor accessory protein
Suitable Secondaries
Goat Anti-Rabbit IgG H&L Antibody (AP) (A294874)
Goat Anti-Rabbit IgG H&L Antibody (Biotin) (A294795)
Goat Anti-Rabbit IgG H&L Antibody (FITC) (A294887)
Goat Anti-Rabbit IgG H&L Antibody (HRP) (A294888)
See all Anti-Rabbit IgG Secondaries →
Disclaimer
This product is for research use only. It is not intended for diagnostic or therapeutic use.
Scientific Validation Data
Validation Data
(1)
Enlarge Image
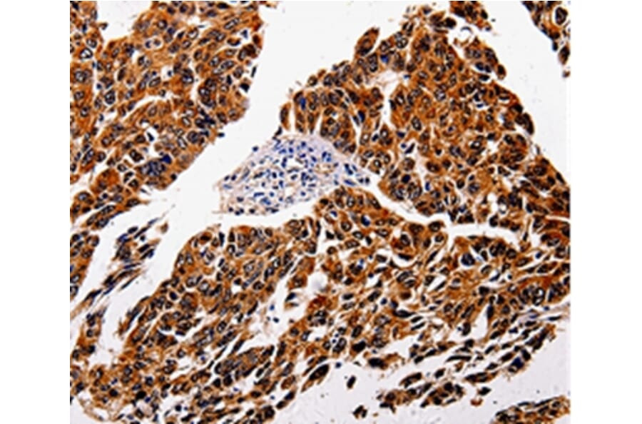
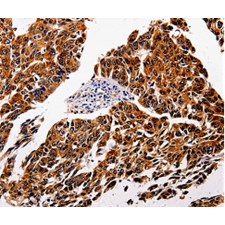
Immunohistochemistry - Anti-IL1RAP Antibody (A45376)
Immunohistochemical analysis of paraffin-embedded Human lung cancer tissue using #35605 at dilution 1/10.
Publishing research using Anti-IL1RAP Antibody (A45376)? Please
let us know
so that we can list the citation on this page.
Alternative products to Anti-IL1RAP Antibody (A45376)
(3)
A305335
Anti-IL-1RAcP Antibody [ARC56983]
Rabbit monoclonal [ARC56983] antibody to IL-1RAcP for WB.
(2)
A14691
Anti-IL-1RAcP Antibody
Rabbit polyclonal antibody to IL-1RAcP for WB and IHC.
(2)
A323606
Nidanilimab Biosimilar - Anti-IL-1RAcP Antibody - Low endotoxin, Azide free
Recombinant human monoclonal antibody to IL-1RAcP for ELISA, FACS, Functional Assay and In Vivo.
(2)
A338835
Nadunolimab Biosimilar - Anti-IL1RAP Antibody - BSA and Azide free
Humanized monoclonal antibody to IL1RAP Research grade Nadunolimab biosimilar for ELISA, Flow Cytometry, Functional Studies and in vivo Research.
A340028
Anti-IL1RAP Antibody [CAN1] Biosimilar - BSA and Azide free
Human monoclonal antibody to IL1RAP Research grade CAN10 biosimilar for ELISA, Flow Cytometry, Functional Studies and in vivo Research.
A340029
Anti-IL1RAP Antibody [CSC12] Biosimilar - BSA and Azide free
Human monoclonal antibody to IL1RAP Research grade CSC012 biosimilar for ELISA, Flow Cytometry, Functional Studies and in vivo Research.
(2)
A48710
Anti-IL-1RAcP Antibody
Rabbit polyclonal antibody to IL-1RAcP for ELISA, WB and ICC/IF.
(2)
A332200
Nadunolimab Biosimilar - Anti-IL-1RAcP Antibody
Recombinant humanized monoclonal antibody to IL-1RAcP for ELISA and Flow Cytometry.
A49045
Anti-IL-1RAcP Antibody
Rabbit polyclonal antibody to IL-1RAcP for ELISA and WB.
A342116
Anti-IL1RAP Antibody [B-L43] - BSA and Azide free
Mouse monoclonal [B-L43] IVD antibody to IL1RAP for ELISA and Flow Cytometry.
A342119
Anti-IL1RAP Antibody [B-R58] - BSA and Azide free
Mouse monoclonal [B-R58] IVD antibody to IL1RAP for ELISA and Flow Cytometry.
A342117
Anti-IL1RAP Antibody [B-L43]
Mouse monoclonal [B-L43] IVD antibody to IL1RAP for Flow Cytometry.
(3)
A305335
Anti-IL-1RAcP Antibody [ARC56983]
Rabbit monoclonal [ARC56983] antibody to IL-1RAcP for WB.
(2)
A14691
Anti-IL-1RAcP Antibody
Rabbit polyclonal antibody to IL-1RAcP for WB and IHC.
(2)
A323606
Nidanilimab Biosimilar - Anti-IL-1RAcP Antibody - Low endotoxin, Azide free
Recombinant human monoclonal antibody to IL-1RAcP for ELISA, FACS, Functional Assay and In Vivo.
(2)
A338835
Nadunolimab Biosimilar - Anti-IL1RAP Antibody - BSA and Azide free
Humanized monoclonal antibody to IL1RAP Research grade Nadunolimab biosimilar for ELISA, Flow Cytometry, Functional Studies and in vivo Research.
A340028
Anti-IL1RAP Antibody [CAN1] Biosimilar - BSA and Azide free
Human monoclonal antibody to IL1RAP Research grade CAN10 biosimilar for ELISA, Flow Cytometry, Functional Studies and in vivo Research.
A340029
Anti-IL1RAP Antibody [CSC12] Biosimilar - BSA and Azide free
Human monoclonal antibody to IL1RAP Research grade CSC012 biosimilar for ELISA, Flow Cytometry, Functional Studies and in vivo Research.
(2)
A48710
Anti-IL-1RAcP Antibody
Rabbit polyclonal antibody to IL-1RAcP for ELISA, WB and ICC/IF.
(2)
A332200
Nadunolimab Biosimilar - Anti-IL-1RAcP Antibody
Recombinant humanized monoclonal antibody to IL-1RAcP for ELISA and Flow Cytometry.
A49045
Anti-IL-1RAcP Antibody
Rabbit polyclonal antibody to IL-1RAcP for ELISA and WB.
A342116
Anti-IL1RAP Antibody [B-L43] - BSA and Azide free
Mouse monoclonal [B-L43] IVD antibody to IL1RAP for ELISA and Flow Cytometry.
A342119
Anti-IL1RAP Antibody [B-R58] - BSA and Azide free
Mouse monoclonal [B-R58] IVD antibody to IL1RAP for ELISA and Flow Cytometry.
A342117
Anti-IL1RAP Antibody [B-L43]
Mouse monoclonal [B-L43] IVD antibody to IL1RAP for Flow Cytometry.
See all IL1RAP Antibodies
Proteins predicted to interact with IL1RAP
Predicted protein interactions based upon String database. Revelancy score correlates with probability of interaction.
IL-33 Antibodies
99.9% Relevancy Score
IL1 Receptor I Antibodies
99.9% Relevancy Score
ST2 Antibodies
99.9% Relevancy Score
IL-1 beta Antibodies
99.9% Relevancy Score
IL-1R2 Antibodies
99.8% Relevancy Score
IL-1 alpha Antibodies
99.8% Relevancy Score
IL1RL2 Antibodies
99.5% Relevancy Score
PTPRD Antibodies
99.1% Relevancy Score
MYD88 Antibodies
95.8% Relevancy Score
Top