ISO 9001:2015 Certified
Live Customer Support
4.5/5 on Trustpilot
100% Quality Guarantee

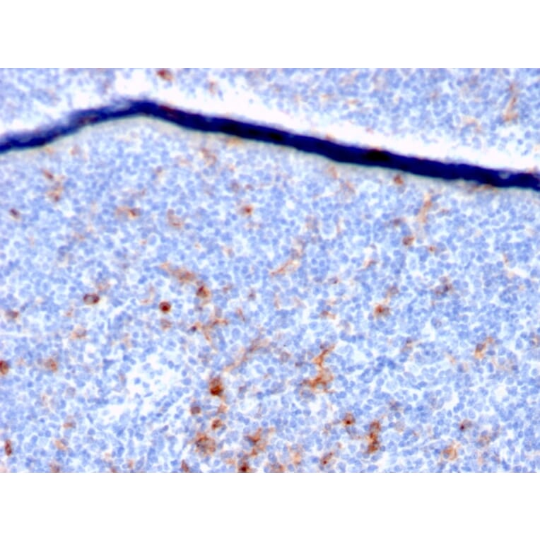
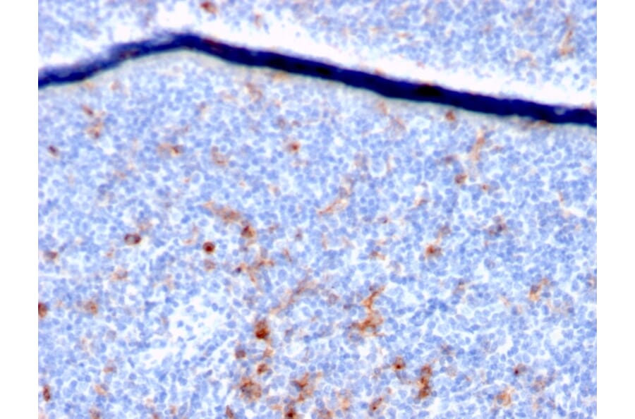
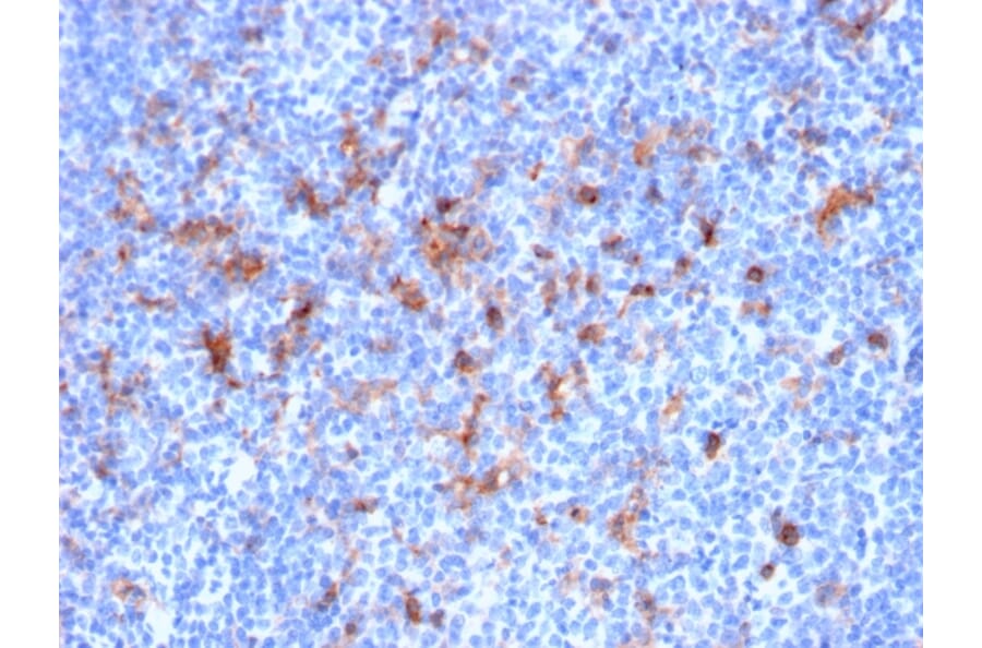
Anti-IL2 Receptor alpha Antibody [IL2RA/2395] - BSA and Azide free (A252198)

Mouse monoclonal [IL2RA/2395] antibody to IL2 Receptor alpha for IHC-P.

Alternative Formats and ConjugatesAlternative Formats

Shipping Information

$40
Dispatched from St. Louis, MO.
Lead Time: 5-8 business days.
Name
Anti-IL2 Receptor alpha Antibody [IL2RA/2395] - BSA and Azide free
Description
Mouse monoclonal [IL2RA/2395] antibody to IL2 Receptor alpha.
Specificity
This antibody recognizes a protein of 55kDa, identified as CD25. It is expressed on activated T- and B-cells and activated monocytes/macrophages. With respect to lymphomas, CD25 is present on malignant cells of Hodgkins disease, HTLV-1+ adult T-cell leukemia, cutaneous T-cell lymphoma, and hair cell leukemia. Increased levels of soluble CD25 are observed in the leukemias/lymphomas and inflammatory/ autoimmune diseases. CD25 molecule alone appears to function as a low affinity receptor and associates with CD122 (IL-2R chain, p75) and CD132 (common chain) to form the high affinity IL-2 receptor complex. CD25 antibodies detect three epitope regions, A, B and C. This antibody recognizes the epitope B, which is located at residue 3-104 of CD25 and doe not block IL-2 binding to CD25.
Applications
IHC-P
Dilutions
IHC-P: 2-4 µg/ml
Reactivity
Human
Immunogen
Recombinant fragment, around amino acids 42-183, of human IL2RA protein. The exact sequence is proprietary.
Host
Mouse
Clonality
Monoclonal
Clone ID
IL2RA/2395
Isotype
IgG2b
Light Chains
kappa
Conjugate

Unconjugated

Purification
Protein A/G chromatography.
Concentration
1 mg/ml
Molecular Weight
55 kDa
Product Form
Liquid
Formulation
Supplied in 10mM Phosphate Buffered Saline; without Sodium Azide and carrier free.
Storage
Shipped at 4°C. Upon delivery aliquot and store at -20°C. Avoid freeze / thaw cycles.
General Notes
This monoclonal antibody is also available in a different formulation with BSA and Sodium Azide - Anti-IL2 Receptor alpha Antibody [IL2RA/2395] (A249018).
Synonyms
Interleukin 2 receptor alpha chain, CD25, CD25 antigen, IDDM10, IL 2 receptor alpha subunit, IL-2 receptor subunit alpha, IL-2-RA, IL-2R subunit alpha, IL2 RA, IL2-RA, IL2R, IL2R, alpha chain, IL2RA, IL2RA_HUMAN, IMD41, Interleukin 2 receptor, Interleukin 2 receptor alpha, Interleukin-2 receptor subunit alpha, p55, t-cell growth factor receptor, TAC, TAC antigen, TCGFR
Disclaimer
This product is for research use only. It is not intended for diagnostic or therapeutic use.
Publishing research using Anti-IL2 Receptor alpha Antibody [IL2RA/2395] - BSA and Azide free (A252198)? Please let us know so that we can list the citation on this page.

Alternative products to Anti-IL2 Receptor alpha Antibody [IL2RA/2395] - BSA and Azide free (A252198)