Anti-IL23R Antibody (A48090) has been discontinued and is no longer available.
View all IL23R Antibodies.
Unconjugated
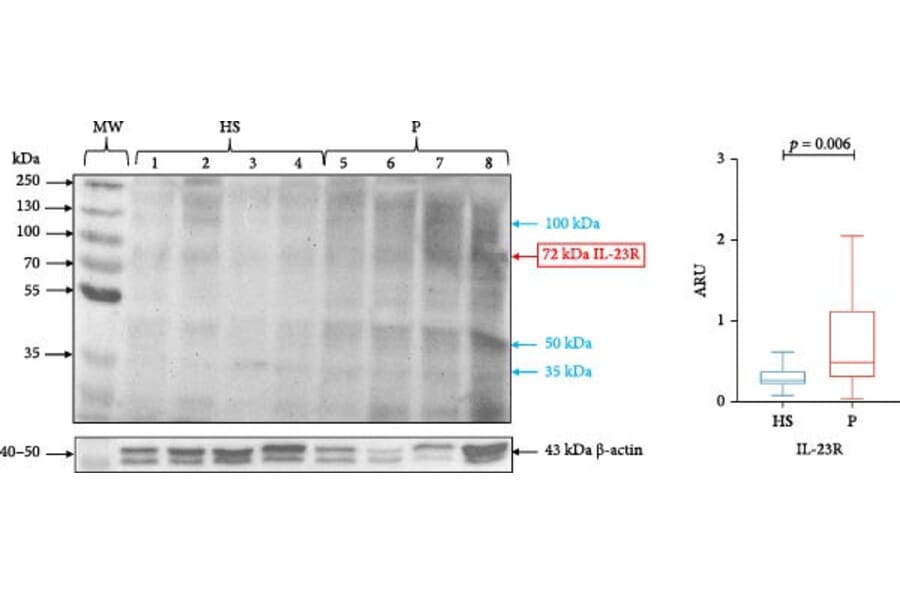
Background: Periodontitis is a chronic immunoinflammatory disease involving various components that affect the tissues surrounding the tooth. The host immune response to the presence of periodontopathogenic microorganisms activates several cytokine systems involved in alveolar bone resorption in periodontitis; among them is the receptor activator of nuclear factor-?B (RANK)/receptor activator of nuclear factor-?B ligand (RANKL) system, which depends on the interleukin (IL)-23/IL-17 axis. There is a tendency toward increased IL-23, IL-17, and IL-17 receptor (IL-17RA) and a discrepancy in IL-23 receptor (IL-23R) in gingival tissue (GT) of patients with periodontitis. Therefore, the aim of this study was to quantify the expression of the IL-23/IL-17A axis using the western blotting (WB) technique in GT samples from patients with periodontitis.
Materials and methods: This cross-sectional study included 49 subjects: 25 healthy subjects and 24 subjects with periodontitis. GT samples were collected during periodontal surgery. WB was used to evaluate the levels of IL-23, IL-17A, IL-23R, and IL-17RA.
Results: We found a significant increase in IL-23, IL-17A, IL-23R, and IL-17RA protein levels in the periodontitis group compared with the healthy group; we also detected bands with unexpected molecular weights for both receptors. Moreover, we found a significant positive correlation between IL-23 and IL-17A with both receptors, while IL-23, IL-17A, IL-23R, and IL-17RA correlated positively with two periodontal clinical parameters, namely the clinical attachment level and the percentage of radiographic bone loss (%RBL).
Conclusion: In this study, we detected overexpression of IL-23, IL-17A, and their receptors in GT of patients with periodontitis, confirming that the IL-23/IL-17A axis is involved in periodontal disease.