Primary Antibodies
Secondary Antibodies
Proteins & Peptides
ELISA Kits
About Us
Contact Us
Sign In/Register
0
ISO 9001:2015 Certified
Live Customer Support
4.5/5 on Trustpilot
100% Quality Guarantee
Home
Primary Antibodies
IL2 Receptor beta Antibodies
Anti-IL2RB Antibody (A37902)
Anti-IL2RB Antibody (A37902)
Overview
Specifications
Images
Enlarge Image
Enlarge Image
$405
Rabbit polyclonal antibody to IL2RB for WB and IHC.
100% Guarantee
Price Match Guarantee
Product Size:
100µl
Quantity:
1
2
3
4
5
6
7
8
9
10
Add To Cart
Request a Quotation
Custom or Bulk Request
Shipping Information
Freight/Packing Charges:
$40
Dispatched from St. Louis, MO.
Lead Time: 6-9 business days.
Tags:
Memory T Cell Marker
Natural Killer Cell Marker
Specifications
Name
Anti-IL2RB Antibody
Description
Rabbit polyclonal antibody to IL2RB
Specificity
The antibody detects endogenous levels of total IL2RB protein.
Applications
WB
,
IHC
Reactivity
Human
Immunogen
Fusion protein corresponding to a region derived from internal residues of human interleukin 2 receptor, beta
Host
Rabbit
Clonality
Polyclonal
Conjugate
Unconjugated
Purification
Antigen affinity purification.
Concentration
1.3 mg/ml
Formulation
Rabbit IgG in pH7.3 PBS, 0.05% NaN3, 50% Glycerol.
Storage
Store at -20˚C
Synonyms
CD122, High affinity IL-2 receptor subunit beta, IL-2 receptor subunit beta, IL-2R subunit beta, IL-2RB, IL15RB, Interleukin-15 receptor subunit beta, Interleukin-2 receptor subunit beta, p70-75, p75
Suitable Secondaries
Goat Anti-Rabbit IgG H&L Antibody (AP) (A294874)
Goat Anti-Rabbit IgG H&L Antibody (Biotin) (A294795)
Goat Anti-Rabbit IgG H&L Antibody (FITC) (A294887)
Goat Anti-Rabbit IgG H&L Antibody (HRP) (A294888)
See all Anti-Rabbit IgG Secondaries →
Disclaimer
This product is for research use only. It is not intended for diagnostic or therapeutic use.
Scientific Validation Data
Validation Data
(2)
Enlarge Image
Anti-IL2RB Antibody (A37902)
Gel: 10% SDS-PAGE Lysates (from left to right): 231, 293T, Raji and hela cell Amount of lysate: 40ug per lane Primary antibody: 1/325 dilution Secondary antibody dilution: 1/8000 Exposure time: 20 seconds
Enlarge Image
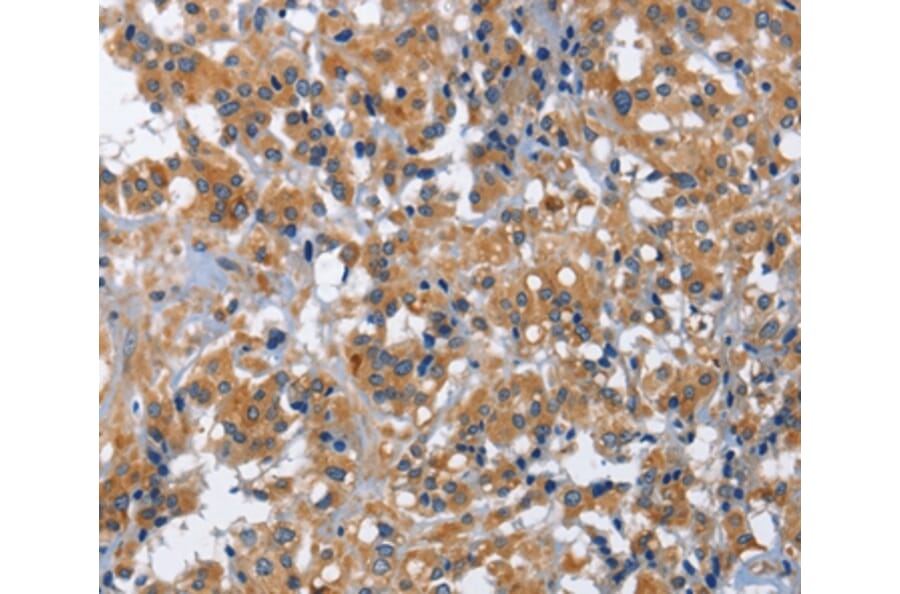
Immunohistochemistry - Anti-IL2RB Antibody (A37902)
Immunohistochemical analysis of paraffin-embedded Human thyroid cancer tissue using #36318 at dilution 1/30.
Publishing research using Anti-IL2RB Antibody (A37902)? Please
let us know
so that we can list the citation on this page.
Alternative products to Anti-IL2RB Antibody (A37902)
(2)
A95062
Anti-IL-2R beta Antibody
Rabbit polyclonal antibody to IL-2R beta for WB, IHC and ELISA.
(2)
A95162
Anti-IL-2R beta Antibody
Rabbit polyclonal antibody to IL-2R beta for WB, IF and ELISA.
(2)
A94139
Anti-IL-2R beta (phospho Tyr364) Antibody
Rabbit polyclonal antibody to IL-2R beta (phospho Tyr364) for WB and ELISA.
A94146
Anti-IL-2R beta (phospho Tyr364) Antibody
Rabbit polyclonal antibody to IL-2R beta (phospho Tyr364) for WB and ELISA.
(2)
A101020
Anti-IL2RB Antibody
Rabbit polyclonal antibody to IL2RB for WB and ELISA.
A99741
Anti-IL-2Rbeta Antibody
Rabbit polyclonal antibody to IL-2Rbeta for WB and ELISA.
A43369
Anti-IL2RB Antibody
Rabbit polyclonal antibody to IL2RB for WB.
(2)
A95062
Anti-IL-2R beta Antibody
Rabbit polyclonal antibody to IL-2R beta for WB, IHC and ELISA.
(2)
A95162
Anti-IL-2R beta Antibody
Rabbit polyclonal antibody to IL-2R beta for WB, IF and ELISA.
(2)
A94139
Anti-IL-2R beta (phospho Tyr364) Antibody
Rabbit polyclonal antibody to IL-2R beta (phospho Tyr364) for WB and ELISA.
A94146
Anti-IL-2R beta (phospho Tyr364) Antibody
Rabbit polyclonal antibody to IL-2R beta (phospho Tyr364) for WB and ELISA.
(2)
A101020
Anti-IL2RB Antibody
Rabbit polyclonal antibody to IL2RB for WB and ELISA.
A99741
Anti-IL-2Rbeta Antibody
Rabbit polyclonal antibody to IL-2Rbeta for WB and ELISA.
A43369
Anti-IL2RB Antibody
Rabbit polyclonal antibody to IL2RB for WB.
See all IL2RB Antibodies
Proteins predicted to interact with IL2 Receptor beta
Predicted protein interactions based upon String database. Revelancy score correlates with probability of interaction.
IL-2 Antibodies
99.9% Relevancy Score
IL-2RG Antibodies
99.9% Relevancy Score
IL-15RA Antibodies
99.9% Relevancy Score
CD25 Antibodies
99.9% Relevancy Score
IL-15 Antibodies
99.9% Relevancy Score
JAK1 Antibodies
99.8% Relevancy Score
STAT5A Antibodies
98.3% Relevancy Score
JAK3 Antibodies
98% Relevancy Score
STAT5B Antibodies
97.6% Relevancy Score
Top