Western blot analysis of various cells using Anti-IL8 Antibody at 1:1,000 (4°C overnight). Goat Anti-Rabbit IgG (IRDye 800) was used as a secondary at 1:5,000 (25°C, 1 hour).
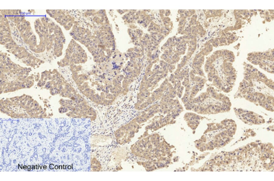
Immunohistochemical analysis of paraffin-embedded human liver cancer tissue using Anti-IL8 Antibody at 1:200 (4°C overnight). Negative control was secondary antibody only.
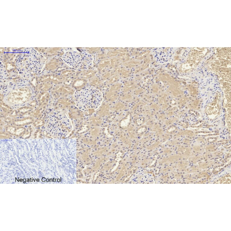
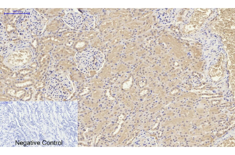
Immunohistochemical analysis of paraffin-embedded human kidney tissue using Anti-IL8 Antibody at 1:200 (4°C overnight). Negative control was secondary antibody only.
Immunofluorescence analysis of human kidney tissue using Anti-IL8 Antibody (red) at 1:200 (4°C overnight). Cy3 labelled secondary antibody was used at 1:300 (RT 50min). Panel A: Target. Panel B: DAPI. Panel C: Merge.
Immunofluorescence analysis of human breast cancer tissue using Anti-IL8 Antibody (red) at 1:200 (4°C overnight). Cy3 labelled secondary antibody was used at 1:300 (RT 50min). Panel A: Target. Panel B: DAPI. Panel C: Merge.
Recombinant human monoclonal antibody to IL-8 for use as a research grade HuMax-IL8 biosimilar for ELISA, Flow Cytometry, Functional Studies and in vivo Research.
Recombinant human monoclonal antibody to IL-8 for use as a research grade ABX-IL8 biosimilar for ELISA, Flow Cytometry, Functional Studies and in vivo Research.
Recombinant human monoclonal antibody to IL-8 for use as a research grade Adakitug biosimilar for ELISA, Flow Cytometry, Functional Studies and in vivo Research.
Recombinant human monoclonal antibody to IL-8 for use as a research grade HuMax-IL8 biosimilar for ELISA, Flow Cytometry, Functional Studies and in vivo Research.
Recombinant human monoclonal antibody to IL-8 for use as a research grade ABX-IL8 biosimilar for ELISA, Flow Cytometry, Functional Studies and in vivo Research.
Recombinant human monoclonal antibody to IL-8 for use as a research grade Adakitug biosimilar for ELISA, Flow Cytometry, Functional Studies and in vivo Research.