ISO 9001:2015 Certified
Live Customer Support
4.5/5 on Trustpilot
100% Quality Guarantee

Anti-ILF2/NF45 Antibody (A15032)

This product is discontinued

Anti-ILF2/NF45 Antibody (A15032) has been discontinued and is no longer available.

View all available products.

Name
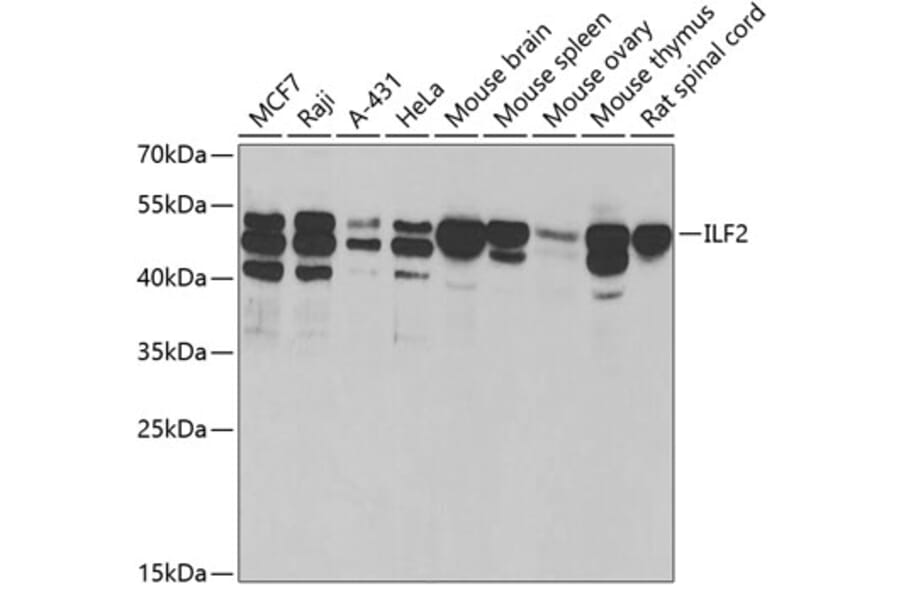
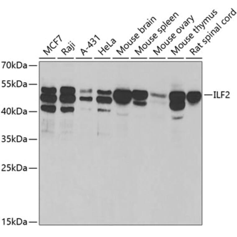
Anti-ILF2/NF45 Antibody
Description
Rabbit polyclonal antibody to ILF2/NF45.
Applications
WB
Dilutions
WB: 1:500-1:2,000
Reactivity
Human, Mouse, Rat
Immunogen
Recombinant fusion protein containing a sequence corresponding to amino acids 1-280 of human ILF2 (NP_004506.2).
Sequence
MRGDRGRGRGGRFGSRGGPGGGFRPFVPHIPFDFYLCEMAFPRVKPAPDETSFSEALLKRNQDLAPNSAEQASILSLVTKINNVIDNLIVAPGTFEVQIEEVRQVGSYKKGTMTTGHNVADLVVILKILPTLEAVAALGNKVVESLRAQDPSEVLTMLTNETGFEISSSDATVKILITTVPPNLRKLDPELHLDIKVLQSALAAIRHARWFEENASQSTVKVLIRLLKDLRIRFPGFEPLTPWILDLLGHYAVMNNPTRQPLALNVAYRRCLQILAAGLF
Host
Rabbit
Clonality
Polyclonal
Isotype
IgG
Conjugate

Unconjugated

Purification
Affinity purification.
Concentration
Lot Specific
Molecular Weight
50 kDa
Product Form
Liquid
Formulation
Supplied in Phosphate Buffered Saline, pH 7.3, with 50% Glycerol and 0.02% Sodium Azide.
Storage
Shipped at 4°C. Upon delivery aliquot and store at -20°C. Avoid freeze/thaw cycles.
Disclaimer
This product is for research use only. It is not intended for diagnostic or therapeutic use.