Notice: Error: The total number of locks exceeds the lock table size
Error No: 1206
INSERT INTO oc_analytics set ip = '', agent = 'Mozilla/5.0 AppleWebKit/537.36 (KHTML, like Gecko; compatible; ClaudeBot/1.0; +claudebot@anthropic.com)', url = '/catalog/primary-antibodies/ilk-phospho-ser246-antibody-a94105', route = 'product/product', port = '62345', country_code ='US', country_name='United States', city='Columbus', organisation='', referrer='', adflag='N', adcampaign='', adurl='', product_id='94105' in D:\wwwroot_antibodies\system\library\db\mysqli.php on line 42 Anti-ILK (phospho Ser246) Antibody (A94105) | Antibodies.com
ISO 9001:2015 Certified
Live Customer Support
4.5/5 on Trustpilot
100% Quality Guarantee

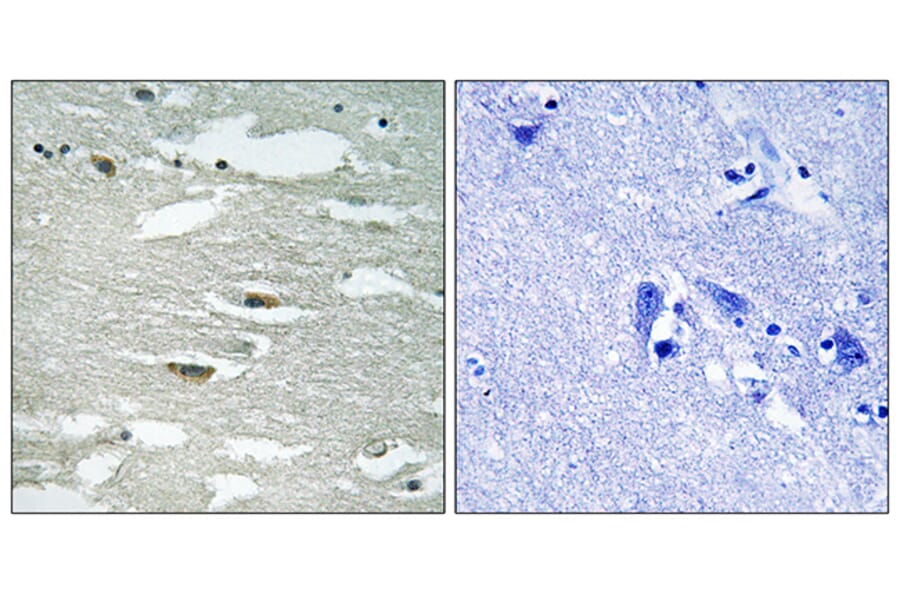
Anti-ILK (phospho Ser246) Antibody (A94105)

Rabbit polyclonal antibody to ILK (phospho Ser246) for IHC and ELISA.

Shipping Information

$40
Dispatched from St. Louis, MO.
Lead Time: 6-8 business days.
Name
Anti-ILK (phospho Ser246) Antibody
Description
Rabbit polyclonal antibody to ILK (phospho Ser246).
Specificity
This antibody detects endogenous levels of ILK only when phosphorylated at Ser246.
Applications
IHC, ELISA
Dilutions
IHC: 1:50-1:100, ELISA: 1:1000
Reactivity
Human, Mouse, Rat
Immunogen
Synthetic peptide derived from human ILK around the phosphorylation site of Ser246 (amino acids 212-261).
Host
Rabbit
Clonality
Polyclonal
Isotype
IgG
Conjugate

Unconjugated

Purification
Purified from rabbit serum by antigen affinity chromatography using the immunizing phospho peptide.
Molecular Weight
51kDa
Product Form
Liquid
Formulation
Supplied in Phosphate Buffered Saline (without Mg2+ and Ca2+), pH 7.4, with 150mM NaCl, 0.02% Sodium Azide, and 50% Glycerol.
Storage
Shipped at 4°C. Upon delivery aliquot and store at -20°C. Avoid freeze / thaw cycles.
Synonyms
59 kDa serine/threonine protein kinase, 59 kDa serine/threonine-protein kinase, DKFZp686F1765, Epididymis secretory protein Li 28, HEL S 28, ILK, ILK 1, ILK 2, ILK-1, ILK-2, ILK1, ILK2, ILK_HUMAN, Integrin linked Kinase, Integrin linked kinase 2, Integrin linked protein kinase, Integrin-linked protein kinase, p59, p59ILK
Disclaimer
This product is for research use only. It is not intended for diagnostic or therapeutic use.
Publishing research using Anti-ILK (phospho Ser246) Antibody (A94105)? Please let us know so that we can list the citation on this page.

Alternative products to Anti-ILK (phospho Ser246) Antibody (A94105)