ISO 9001:2015 Certified
Live Customer Support
4.5/5 on Trustpilot
100% Quality Guarantee

Anti-Insulin Antibody [2D11-H5] - BSA and Azide free (A252216)

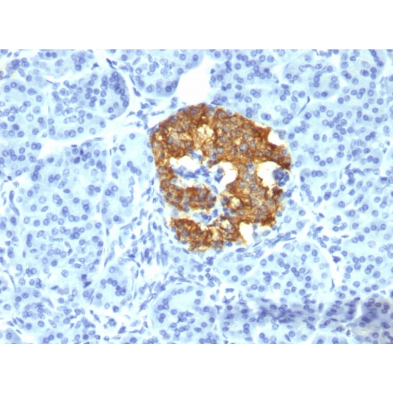
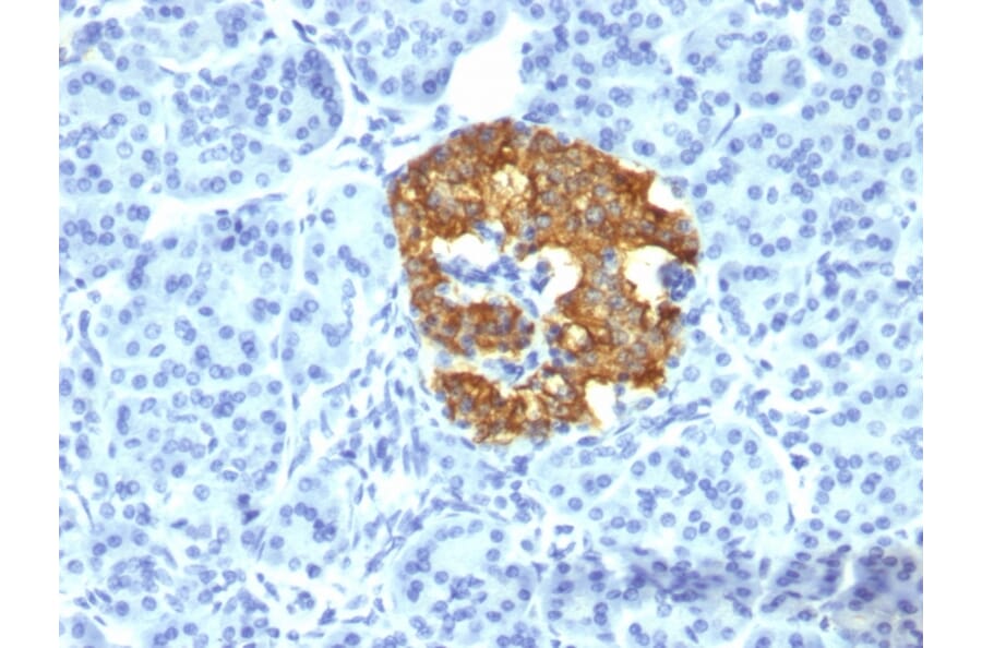
Mouse monoclonal [2D11-H5] antibody to Insulin for Flow Cytometry, IF and IHC-P.

Alternative Formats and ConjugatesAlternative Formats

Shipping Information

$40
Dispatched from St. Louis, MO.
Lead Time: 5-8 business days.
Name
Anti-Insulin Antibody [2D11-H5] - BSA and Azide free
Description
Mouse monoclonal [2D11-H5] antibody to Insulin.
Specificity
This antibody recognizes a polypeptide which is identified as insulin, a 51-amino acid polypeptide composed of A and B chains connected through the C-peptide. Proinsulin, which has very little biological activity, is cleaved by proteases within its cell of origin into the insulin molecule and the C-terminal basic residue. Insulin enhances membrane transport of glucose, amino acids, and certain ions. It also promotes glycogen storage, formation of triglycerides, and synthesis of proteins and nucleic acids. Deficiency of insulin results in diabetes mellitus. The main storage site for insulin is the pancreatic islets. Antibodies to insulin are important as beta-cell and insulinoma marker.
Applications
Flow Cytometry, IF, IHC-P
Dilutions
Flow Cytometry: 1-2 µg/million cells, IF: 1-2 µg/ml, IHC-P: 0.1-0.2 µg/ml
Reactivity
Human, Bovine, Porcine, Mouse
Immunogen
Purified pig insulin, conjugated to KLH.
Host
Mouse
Clonality
Monoclonal
Clone ID
2D11-H5
Isotype
IgG1
Light Chains
kappa
Conjugate

Unconjugated

Purification
Protein A/G chromatography.
Concentration
1 mg/ml
Molecular Weight
6 kDa
Product Form
Liquid
Formulation
Supplied in 10mM Phosphate Buffered Saline; without Sodium Azide and carrier free.
Storage
Shipped at 4°C. Upon delivery aliquot and store at -20°C. Avoid freeze / thaw cycles.
General Notes

This antibody is also known as Clone INS05.

This monoclonal antibody is also available in a different formulation with BSA and Sodium Azide - Anti-Insulin Antibody [2D11-H5] (A249036).

Synonyms
INS
Disclaimer
This product is for research use only. It is not intended for diagnostic or therapeutic use.
Publishing research using Anti-Insulin Antibody [2D11-H5] - BSA and Azide free (A252216)? Please let us know so that we can list the citation on this page.

Alternative products to Anti-Insulin Antibody [2D11-H5] - BSA and Azide free (A252216)

Proteins predicted to interact with Insulin

Predicted protein interactions based upon String database. Revelancy score correlates with probability of interaction.
99.9% Relevancy Score
99.9% Relevancy Score
99.9% Relevancy Score
99.9% Relevancy Score
99.9% Relevancy Score
99.9% Relevancy Score
99.8% Relevancy Score
99.8% Relevancy Score
99.6% Relevancy Score