Western Blot - Anti-Integrin alpha 2 Antibody (A10175)
Western blot analysis of extracts of various cell lines, using Anti-Integrin alpha 2 Antibody (A10175) at 1:1,000 dilution. The secondary antibody was Goat Anti-Rabbit IgG H&L Antibody (HRP) at 1:10,000 dilution. Lysates/proteins were present at 25µg per lane. The blocking buffer used was 3% non-fat dry milk in TBST. Detection was with a ECL Basic Kit. Exposure time: 90s.
Western Blot - Anti-Integrin alpha 2 Antibody (A10175)
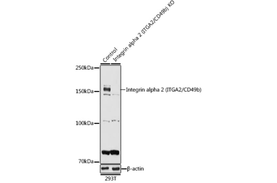
Western blot analysis of extracts from normal (control) and Integrin alpha 2 (ITGA2/CD49b) knockout (KO) 293T cells, using Anti-Integrin alpha 2 Antibody (A10175) at 1:1,000 dilution. The secondary antibody was Goat Anti-Rabbit IgG H&L Antibody (HRP) at 1:10,000 dilution. Lysates/proteins were present at 25µg per lane. The blocking buffer used was 3% non-fat dry milk in TBST. Detection was with a ECL Basic Kit. Exposure time: 90s.
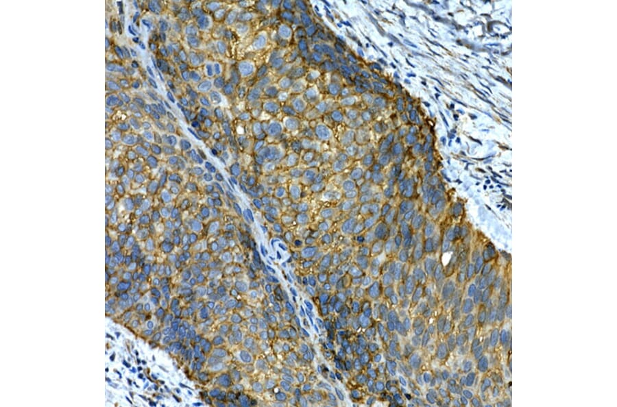
Immunohistochemistry analysis of paraffin-embedded human lung cancer using Anti-Integrin alpha 2 Antibody (A10175) at a dilution of 1:50 (40x lens). Perform high pressure antigen retrieval with 10 mM citrate buffer pH 6.0 before commencing with IHC staining protocol.
Immunohistochemistry analysis of paraffin-embedded human placenta using Anti-Integrin alpha 2 Antibody (A10175) at a dilution of 1:50 (40x lens). Perform high pressure antigen retrieval with 10 mM citrate buffer pH 6.0 before commencing with IHC staining protocol.
Immunohistochemistry analysis of paraffin-embedded human tonsil using Anti-Integrin alpha 2 Antibody (A10175) at a dilution of 1:50 (40x lens). Perform high pressure antigen retrieval with 10 mM citrate buffer pH 6.0 before commencing with IHC staining protocol.
Immunofluorescence analysis of U2OS cells using Anti-Integrin alpha 2 Antibody (A10175) at a dilution of 1:100. DAPI was used to stain the cell nuclei (blue).
Recombinant humanized monoclonal antibody to Integrin alpha 2 for use as a research grade Vatelizuma for ELISA, Flow Cytometry, Functional Studies and in vivo Research.
Recombinant humanized monoclonal antibody to Integrin alpha 2 for use as a research grade Vatelizuma for ELISA, Flow Cytometry, Functional Studies and in vivo Research.