ISO 9001:2015 Certified
Live Customer Support
4.5/5 on Trustpilot
100% Quality Guarantee

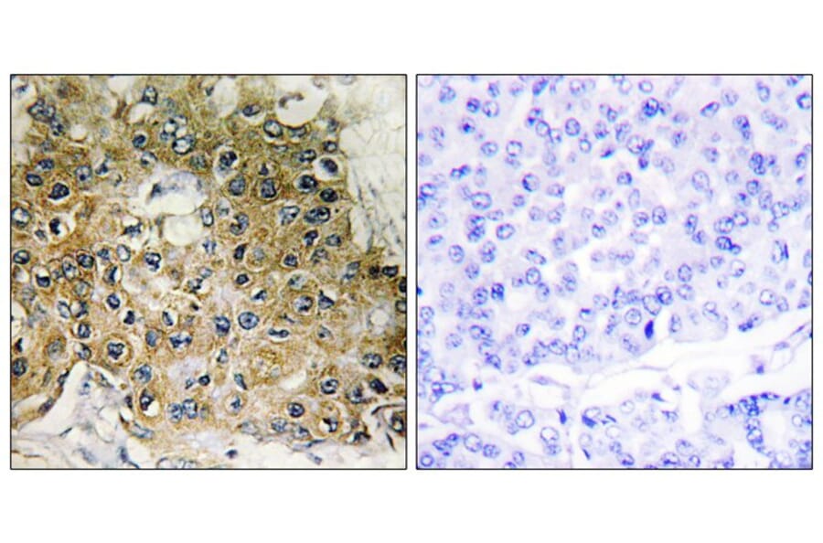
Anti-Integrin β1 (Phospho-Thr789) Antibody (A50363)

Rabbit polyclonal antibody to Integrin β1 (Phospho-Thr789) for WB and IHC.

Shipping Information

$40
Dispatched from St. Louis, MO.
Lead Time: 6-9 business days.
Name
Anti-Integrin β1 (Phospho-Thr789) Antibody
Description
Rabbit polyclonal antibody to Integrin β1 (Phospho-Thr789)
Specificity
The antibody detects endogenous levels of Integrin β1 only when phosphorylated at threonine 789.
Applications
WB, IHC
Dilutions
Western blotting: 1:500~1:1000Immunohistochemistry: 1:50~1:100
Reactivity
Human
Immunogen
Peptide sequence around phosphorylation site of threonine 789(V-E-T(p)-V-V) derived from Human Integrin β1 .
Host
Rabbit
Clonality
Polyclonal
Conjugate

Unconjugated

Purification
Antibodies were produced by immunizing rabbits with synthetic phosphopeptide and KLH conjugates. Antibodies were purified by affinity-chromatography using epitope-specific phosphopeptide. Non-phospho specific antibodies were removed by chromatogramphy using non-phosphopeptide.
Concentration
1.0 mg/mL
Formulation
Supplied in phosphate-buffered saline (without Mg²? and Ca²?), pH 7.4, containing 150 mM NaCl, 0.02% sodium azide, and 50% glycerol.
Storage
Shipped at 4°C. Upon delivery aliquot and store at -20°C. Avoid freeze/thaw cycles.
Disclaimer
This product is for research use only. It is not intended for diagnostic or therapeutic use.
Publishing research using Anti-Integrin β1 (Phospho-Thr789) Antibody (A50363)? Please let us know so that we can list the citation on this page.