ISO 9001:2015 Certified
Live Customer Support
4.5/5 on Trustpilot
100% Quality Guarantee

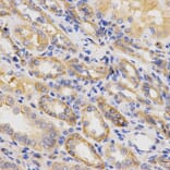
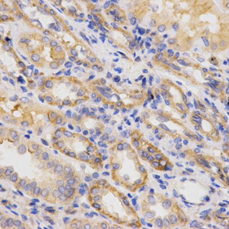
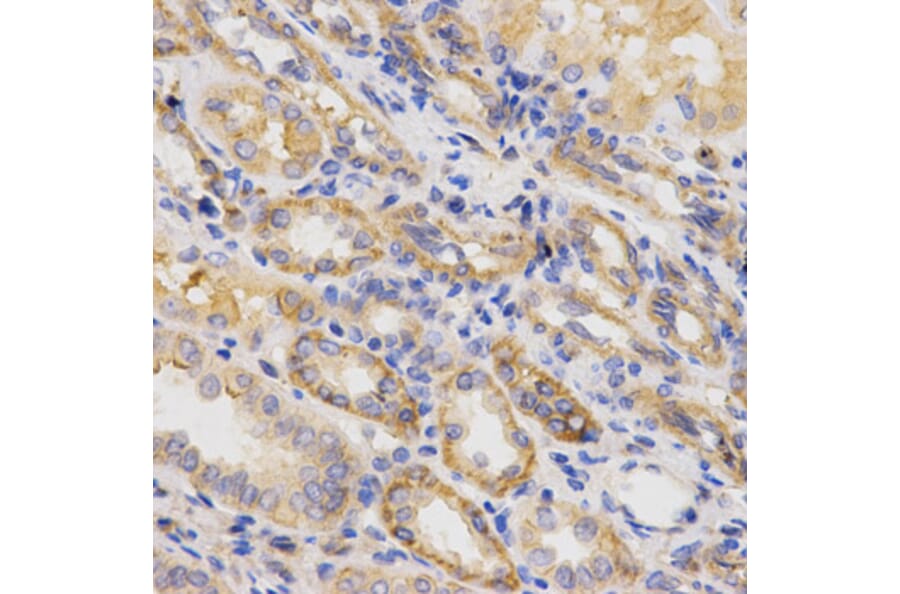
Anti-Integrin β5 Antibody (A30351)

$435

Rabbit polyclonal antibody to Integrin β5 for WB and IHC.

Shipping Information

$40
Dispatched from St. Louis, MO.
Lead Time: 7-10 business days.
Name
Anti-Integrin β5 Antibody
Description
Rabbit polyclonal antibody to Integrin β5
Specificity
Integrin β5 pAb detects endogenous levels of Integrin β5 protein.
Applications
WB, IHC
Reactivity
Human, Mouse, Rat
Immunogen
Recombinant full length Human Integrin β5.
Host
Rabbit
Clonality
Polyclonal
Conjugate

Unconjugated

Molecular Weight
~ 88 kDa
Purity
The antibody was affinity-purified from rabbit antiserum by affinity-chromatography using epitope-specific immunogen and the purity is > 95% (by SDS-PAGE).
Product Form
1mg/ml in PBSwith0.1%SodiumAzide,50%Glycerol.
Disclaimer
This product is for research use only. It is not intended for diagnostic or therapeutic use.
Publishing research using Anti-Integrin β5 Antibody (A30351)? Please let us know so that we can list the citation on this page.