Supplied in Phosphate Buffered Saline, pH 7.3, with 50% Glycerol and 0.01% Thiomersal.
Storage
Shipped at 4°C. Upon delivery aliquot and store at -20°C. Avoid freeze/thaw cycles.
Synonyms
CRF2-1, Cytokine receptor class-II member 1, Cytokine receptor family 2 member 1, IFN-alpha/beta receptor 1, IFN-R-1, IFNAR, Type I interferon receptor 1
Western Blot - Anti-Interferon alpha/beta receptor 1 Antibody (A308248)
Western blot analysis of extracts of various cell lines, using Anti-Interferon alpha/beta receptor 1 Antibody (A308248) at 1:1,000 dilution. The secondary antibody was Goat Anti-Rabbit IgG H&L Antibody (HRP) at 1:10,000 dilution. Lysates/proteins were present at 25µg per lane. The blocking buffer used was 3% non-fat dry milk in TBST. Detection was with a ECL Basic Kit. Exposure time: 3s.
Immunohistochemistry analysis of paraffin-embedded mouse brain using Anti-Interferon alpha/beta receptor 1 Antibody (A308248) at a dilution of 1:100 (40x lens). Perform high pressure antigen retrieval with 10 mM citrate buffer pH 6.0 before commencing with IHC staining protocol.
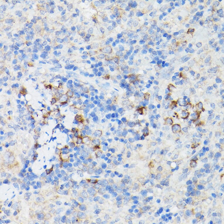
Immunohistochemistry analysis of paraffin-embedded mouse spleen using Anti-Interferon alpha/beta receptor 1 Antibody (A308248) at a dilution of 1:100 (40x lens). Perform high pressure antigen retrieval with 10 mM citrate buffer pH 6.0 before commencing with IHC staining protocol.
Immunofluorescence analysis of C6 cells using Anti-Interferon alpha/beta receptor 1 Antibody (A308248) at a dilution of 1:100 (40x lens). DAPI was used to stain the cell nuclei (blue).
Immunofluorescence analysis of HeLa cells using Anti-Interferon alpha/beta receptor 1 Antibody (A308248) at a dilution of 1:100 (40x lens). DAPI was used to stain the cell nuclei (blue).
Immunofluorescence analysis of NIH-3T3 cells using Anti-Interferon alpha/beta receptor 1 Antibody (A308248) at a dilution of 1:100 (40x lens). DAPI was used to stain the cell nuclei (blue).
Recombinant human monoclonal antibody to IFNAR1 for use as a research grade Anifrolumab biosimilar for ELISA, Flow Cytometry, Functional Studies and in vivo Research.
Recombinant rat monoclonal antibody to IFNAR1 [MAR1-5A3] for use as a research grade MAR1-5A3 biosim for WB, in vivo ICC, IFNAR-1 blockade, in vitro ICC and IFNAR-1 blockade.
Recombinant mouse monoclonal antibody to IFNAR1 for use as a research grade Faralimomab biosimilar for ELISA, Flow Cytometry, Functional Studies and in vivo Research.
Recombinant human monoclonal antibody to IFNAR1 for use as a research grade QX 006N biosimilar for ELISA, Flow Cytometry, Functional Studies and in vivo Research.
Recombinant human monoclonal antibody to IFNAR1 for use as a research grade Anifrolumab biosimilar for ELISA, Flow Cytometry, Functional Studies and in vivo Research.
Recombinant rat monoclonal antibody to IFNAR1 [MAR1-5A3] for use as a research grade MAR1-5A3 biosim for WB, in vivo ICC, IFNAR-1 blockade, in vitro ICC and IFNAR-1 blockade.
Recombinant mouse monoclonal antibody to IFNAR1 for use as a research grade Faralimomab biosimilar for ELISA, Flow Cytometry, Functional Studies and in vivo Research.
Recombinant human monoclonal antibody to IFNAR1 for use as a research grade QX 006N biosimilar for ELISA, Flow Cytometry, Functional Studies and in vivo Research.