ISO 9001:2015 Certified
Live Customer Support
4.5/5 on Trustpilot
100% Quality Guarantee

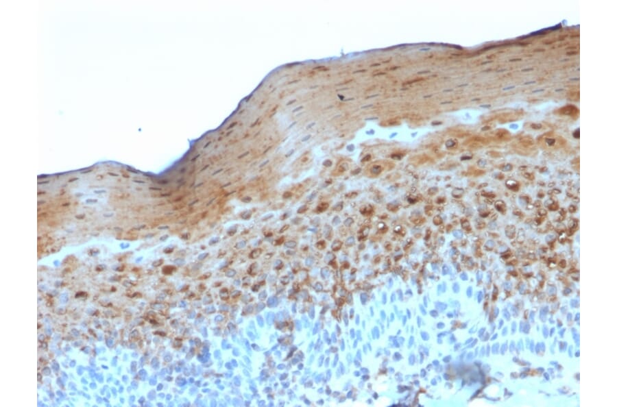
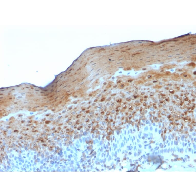
Anti-Involucrin Antibody [SY5] - BSA and Azide free (A252268)

Mouse monoclonal [SY5] antibody to Involucrin for IHC-P.

Alternative Formats and ConjugatesAlternative Formats

Shipping Information

$40
Dispatched from St. Louis, MO.
Lead Time: 5-8 business days.
Name
Anti-Involucrin Antibody [SY5] - BSA and Azide free
Description
Mouse monoclonal [SY5] antibody to Involucrin.
Specificity
The epitope of this antibody is between amino acids 421-568 of human involucrin. It stains involucrin in a variety of sizes (66-170 kDa): 120 kDa in human keratinocytes, 170 kDa in MCF-7 cells, a doublet of ~115 kDa and 150 kDa in gorilla / owl monkey, and 66 kDa in dog.
Applications
IHC-P
Dilutions
IHC-P: 0.1-0.2 µg/ml
Reactivity
Human, Gorilla, Owl Monkey, Porcine, Canine
Cross Reactivity
This antibody does not cross react with Mouse.
Immunogen
Purified involucrin from human keratinocytes.
Host
Mouse
Clonality
Monoclonal
Clone ID
SY5
Isotype
IgG1
Light Chains
kappa
Conjugate

Unconjugated

Purification
Protein A/G chromatography.
Concentration
1 mg/ml
Molecular Weight
66-170 kDa
Product Form
Liquid
Formulation
Supplied in 10mM Phosphate Buffered Saline; without Sodium Azide and carrier free.
Storage
Shipped at 4°C. Upon delivery aliquot and store at -20°C. Avoid freeze / thaw cycles.
General Notes
This monoclonal antibody is also available in a different formulation with BSA and Sodium Azide - Anti-Involucrin Antibody [SY5] (A249088).
Synonyms
IVL
Disclaimer
This product is for research use only. It is not intended for diagnostic or therapeutic use.
Publishing research using Anti-Involucrin Antibody [SY5] - BSA and Azide free (A252268)? Please let us know so that we can list the citation on this page.

Alternative products to Anti-Involucrin Antibody [SY5] - BSA and Azide free (A252268)

Proteins predicted to interact with Involucrin

Predicted protein interactions based upon String database. Revelancy score correlates with probability of interaction.
99.7% Relevancy Score
98.9% Relevancy Score
98.8% Relevancy Score
94.3% Relevancy Score
93.3% Relevancy Score
89.2% Relevancy Score
88.5% Relevancy Score
88.2% Relevancy Score
86.4% Relevancy Score