ISO 9001:2015 Certified
Live Customer Support
4.5/5 on Trustpilot
100% Quality Guarantee

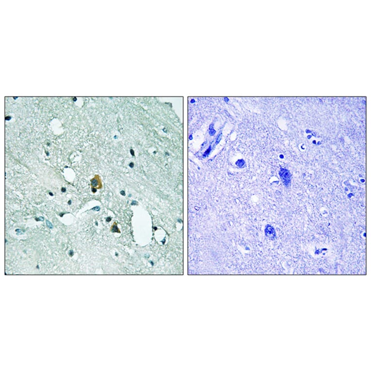
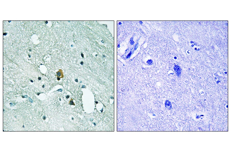
Anti-IP3R1 (phospho Ser1764) Antibody (A93549)

Rabbit polyclonal antibody to IP3R1 (phospho Ser1764) for WB, IHC, IF and ELISA.

Shipping Information

$40
Dispatched from St. Louis, MO.
Lead Time: 6-8 business days.
Name
Anti-IP3R1 (phospho Ser1764) Antibody
Description
Rabbit polyclonal antibody to IP3R1 (phospho Ser1764).
Specificity
This antibody detects endogenous levels of IP3R1 only when phosphorylated at Ser1764.
Applications
WB, IHC, IF, ELISA
Dilutions
WB: 1:500~1:1000, IHC: 1:50~1:100, ELISA: 1:5000
Reactivity
Human, Mouse, Rat
Cross Reactivity
No reported cross-reactivity.
Immunogen
Synthetic peptide derived from human IP3R1 around the phosphorylation site of Ser1764 (amino acids 1730-1779).
Host
Rabbit
Clonality
Polyclonal
Isotype
IgG
Conjugate

Unconjugated

Purification
Purified from rabbit serum by antigen affinity chromatography using the immunizing phospho peptide.
Molecular Weight
313kDa
Product Form
Liquid
Formulation
Supplied in Phosphate Buffered Saline (without Mg2+ and Ca2+), pH 7.4, with 150mM NaCl, 0.02% Sodium Azide, and 50% Glycerol.
Storage
Shipped at 4°C. Upon delivery aliquot and store at -20°C. Avoid freeze / thaw cycles.
Synonyms
Inositol 1,4,5 trisphosphate receptor, Inositol 1,4,5-trisphosphate receptor type 1, Inositol 1,4,5-trisphosphate-gated calcium channel ITPR1, INSP3R1, IP3 receptor isoform 1, IP3R 1, ITPR1, Type 1 inositol 1,4,5-trisphosphate receptor, Type 1 InsP3 receptor
Disclaimer
This product is for research use only. It is not intended for diagnostic or therapeutic use.
Publishing research using Anti-IP3R1 (phospho Ser1764) Antibody (A93549)? Please let us know so that we can list the citation on this page.

Alternative products to Anti-IP3R1 (phospho Ser1764) Antibody (A93549)

Proteins predicted to interact with IP3 Receptor

Predicted protein interactions based upon String database. Revelancy score correlates with probability of interaction.
99.8% Relevancy Score
99.6% Relevancy Score
99.6% Relevancy Score
99.6% Relevancy Score
99.6% Relevancy Score
99.5% Relevancy Score
99.5% Relevancy Score
99.3% Relevancy Score
98.8% Relevancy Score