Primary Antibodies
Secondary Antibodies
Proteins & Peptides
ELISA Kits
About Us
Contact Us
Sign In/Register
0
ISO 9001:2015 Certified
Live Customer Support
4.5/5 on Trustpilot
100% Quality Guarantee
Home
Primary Antibodies
Importin 8 Antibodies
Anti-IPO8 Antibody (A46938)
Anti-IPO8 Antibody (A46938)
Overview
Specifications
Images
Enlarge Image
Enlarge Image
$430
Product Datasheet
Rabbit polyclonal antibody to IPO8 for IHC.
100% Guarantee
Price Match Guarantee
Product Size:
100µl
Quantity:
1
2
3
4
5
6
7
8
9
10
Add To Cart
Request a Quotation
Custom or Bulk Request
Shipping Information
Freight/Packing Charges:
$40
Dispatched from St. Louis, MO.
Lead Time: 6-9 business days.
Specifications
Name
Anti-IPO8 Antibody
Description
Rabbit polyclonal antibody to IPO8
Specificity
The antibody detects endogenous levels of total IPO8 protein.
Applications
IHC
Reactivity
Human
Immunogen
Synthetic peptide corresponding to a region derived from internal residues of human importin 8
Host
Rabbit
Clonality
Polyclonal
Conjugate
Unconjugated
Purification
Antigen affinity purification.
Concentration
2.4 mg/mL
Formulation
Supplied in PBS, pH 7.3, containing 0.05% sodium azide and 50% glycerol.
Storage
Shipped at 4°C. Upon delivery aliquot and store at -20°C. Avoid freeze/thaw cycles.
Synonyms
Imp8, Importin-8, Ran-binding protein 8, RanBP8
Suitable Secondaries
Goat Anti-Rabbit IgG H&L Antibody (AP) (A294874)
Goat Anti-Rabbit IgG H&L Antibody (Biotin) (A294795)
Goat Anti-Rabbit IgG H&L Antibody (FITC) (A294887)
Goat Anti-Rabbit IgG H&L Antibody (HRP) (A294888)
See all Anti-Rabbit IgG Secondaries →
Disclaimer
This product is for research use only. It is not intended for diagnostic or therapeutic use.
Scientific Validation Data
Validation Data
(2)
Enlarge Image
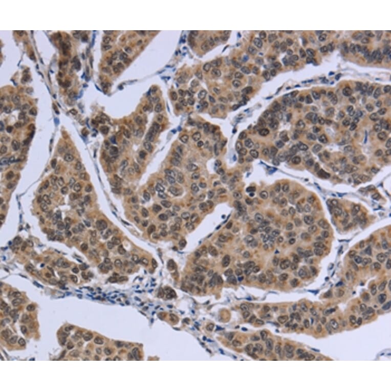
Immunohistochemistry - Anti-IPO8 Antibody (A46938)
Immunohistochemical analysis of paraffin-embedded Human breast cancer tissue using #37659 at dilution 1/50.
Enlarge Image
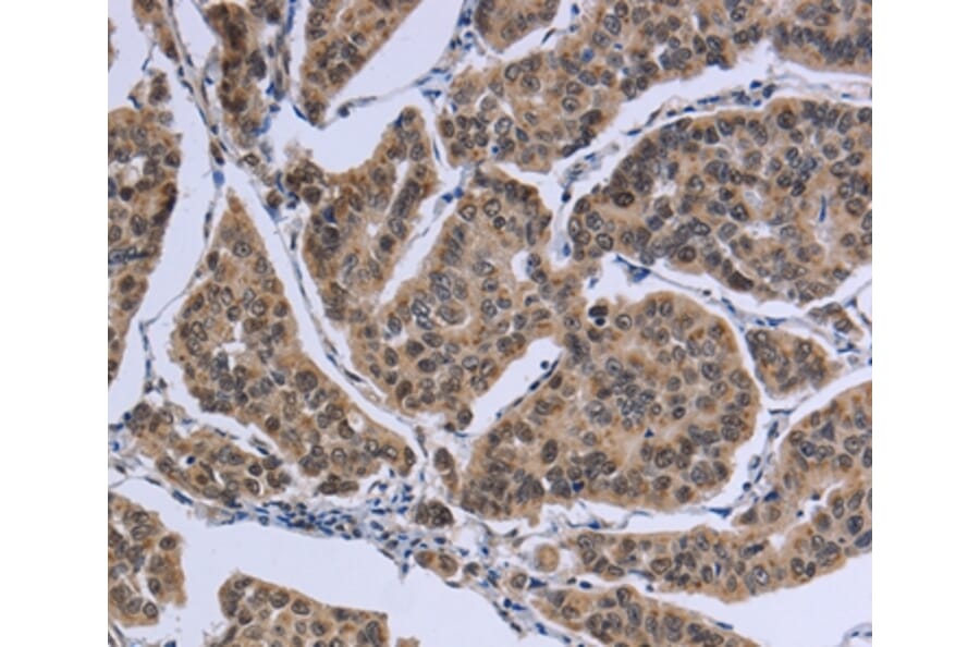
Immunohistochemistry - Anti-IPO8 Antibody (A46938)
Immunohistochemical analysis of paraffin-embedded Human gastric cancer tissue using #37659 at dilution 1/50.
Publishing research using Anti-IPO8 Antibody (A46938)? Please
let us know
so that we can list the citation on this page.
Alternative products to Anti-IPO8 Antibody (A46938)
(4)
A88056
Anti-Importin 8 Antibody
Rabbit polyclonal antibody to Importin 8 for WB and ICC/IF.
A83239
Anti-Importin 8 Antibody
Goat polyclonal antibody to Importin 8 for ELISA and IHC.
(4)
A88056
Anti-Importin 8 Antibody
Rabbit polyclonal antibody to Importin 8 for WB and ICC/IF.
A83239
Anti-Importin 8 Antibody
Goat polyclonal antibody to Importin 8 for ELISA and IHC.
Proteins predicted to interact with Importin 8
Predicted protein interactions based upon String database. Revelancy score correlates with probability of interaction.
Argonaute 2 Antibodies
97.5% Relevancy Score
FAU Antibodies
93.1% Relevancy Score
KPNB1 Antibodies
91.7% Relevancy Score
AGO1 Antibodies
89.4% Relevancy Score
Importin 9 Antibodies
88.8% Relevancy Score
Transportin 1 Antibodies
87.5% Relevancy Score
RanBP1 Antibodies
85.1% Relevancy Score
Ran Antibodies
82.5% Relevancy Score
RB Associated KRAB Repressor Antibodies
77.9% Relevancy Score
Top