ISO 9001:2015 Certified
Live Customer Support
4.5/5 on Trustpilot
100% Quality Guarantee

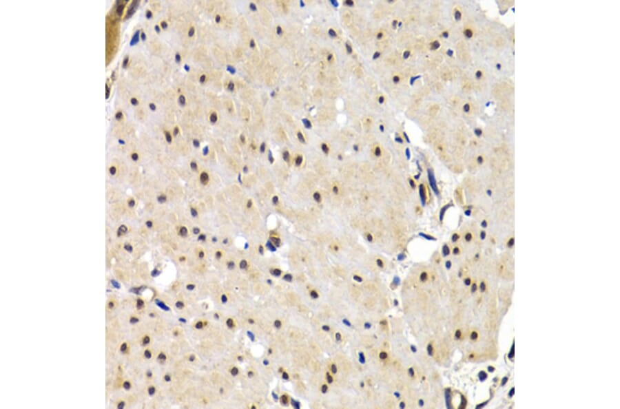
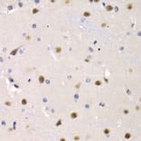
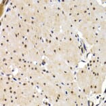
Anti-IRF2 Antibody (A14061)

Rabbit polyclonal antibody to IRF2 for WB, IHC and ICC/IF.

Shipping Information

$40
Dispatched from St. Louis, MO.
Lead Time: 7-10 business days.
Name
Anti-IRF2 Antibody
Description
Rabbit polyclonal antibody to IRF2.
Applications
WB, IHC, ICC/IF
Dilutions
WB: 1:500-1:1,000, IHC: 1:50-1:200, ICC/IF: 1:50-1:100
Reactivity
Human, Mouse, Rat
Immunogen
Recombinant fusion protein containing a sequence corresponding to amino acids 120-349 of human IRF2 (NP_002190.2).
Sequence
KKGKKPKTEKEDKVKHIKQEPVESSLGLSNGVSDLSPEYAVLTSTIKNEVDSTVNIIVVGQSHLDSNIENQEIVTNPPDICQVVEVTTESDEQPVSMSELYPLQISPVSSYAESETTDSVPSDEESAEGRPHWRKRNIEGKQYLSNMGTRGSYLLPGMASFVTSNKPDLQVTIKEESNPVPYNSSWPPFQDLPLSSSMTPASSSSRPDRETRASVIKKTSDITQARVKSC
Host
Rabbit
Clonality
Polyclonal
Isotype
IgG
Conjugate

Unconjugated

Purification
Affinity purification.
Concentration
Lot Specific
Molecular Weight
45 kDa
Product Form
Liquid
Formulation
Supplied in Phosphate Buffered Saline, pH 7.3, with 50% Glycerol and 0.02% Sodium Azide.
Storage
Shipped at 4°C. Upon delivery aliquot and store at -20°C. Avoid freeze/thaw cycles.
Synonyms
Interferon regulatory factor 2, IRF-2
Disclaimer
This product is for research use only. It is not intended for diagnostic or therapeutic use.
Publishing research using Anti-IRF2 Antibody (A14061)? Please let us know so that we can list the citation on this page.

Alternative products to Anti-IRF2 Antibody (A14061)

Proteins predicted to interact with IRF2

Predicted protein interactions based upon String database. Revelancy score correlates with probability of interaction.
98.3% Relevancy Score
98.2% Relevancy Score
95.8% Relevancy Score
86.7% Relevancy Score
85.6% Relevancy Score
84% Relevancy Score
83.4% Relevancy Score
82.4% Relevancy Score
82.1% Relevancy Score