ISO 9001:2015 Certified
Live Customer Support
4.5/5 on Trustpilot
100% Quality Guarantee

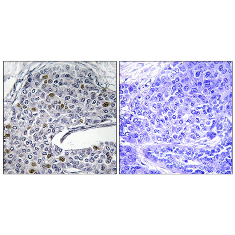
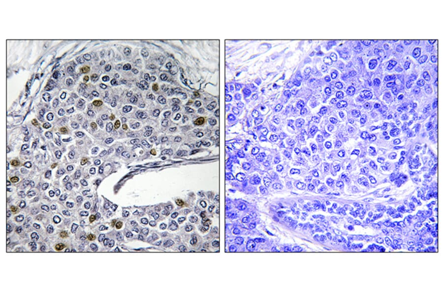
Anti-IRF3 Antibody (A98886)

Rabbit polyclonal antibody to IRF3 for WB, IHC, IF and ELISA.

Shipping Information

$40
Dispatched from St. Louis, MO.
Lead Time: 6-8 business days.
Name
Anti-IRF3 Antibody
Description
Rabbit polyclonal antibody to IRF3.
Applications
WB, IHC, IF, ELISA
Dilutions
WB: 1:500~1:1000, IHC: 1:50~1:100, IF: 1:100~1:500, ELISA: 1:5000
Reactivity
Human, Rat, Mouse, Pig
Cross Reactivity
No reported cross-reactivity.
Immunogen
Synthetic peptide derived from human IRF3 (amino acids 351-400).
Host
Rabbit
Clonality
Polyclonal
Isotype
IgG
Conjugate

Unconjugated

Purification
Purified from rabbit serum by antigen affinity chromatography using the immunizing peptide.
Molecular Weight
47kDa
Product Form
Liquid
Formulation
Supplied in Phosphate Buffered Saline (without Mg2+ and Ca2+), pH 7.4, with 150mM NaCl, 0.02% Sodium Azide, and 50% Glycerol.
Storage
Shipped at 4°C. Upon delivery aliquot and store at -20°C. Avoid freeze / thaw cycles.
Synonyms
Interferon regulatory factor 3, IRF-3
Disclaimer
This product is for research use only. It is not intended for diagnostic or therapeutic use.
Publishing research using Anti-IRF3 Antibody (A98886)? Please let us know so that we can list the citation on this page.

Alternative products to Anti-IRF3 Antibody (A98886)

Proteins predicted to interact with IRF3

Predicted protein interactions based upon String database. Revelancy score correlates with probability of interaction.
99.9% Relevancy Score
99.9% Relevancy Score
99.9% Relevancy Score
99.9% Relevancy Score
99.9% Relevancy Score
99.8% Relevancy Score
99.8% Relevancy Score
99.4% Relevancy Score
99.3% Relevancy Score