Primary Antibodies
Secondary Antibodies
Proteins & Peptides
ELISA Kits
About Us
Contact Us
Sign In/Register
0
ISO 9001:2015 Certified
Live Customer Support
4.5/5 on Trustpilot
100% Quality Guarantee
Home
Primary Antibodies
Integrin alpha 5 Antibodies
Anti-ITGA5 Antibody (A46415)
Anti-ITGA5 Antibody (A46415)
Overview
Specifications
Images
Enlarge Image
$405
Rabbit polyclonal antibody to ITGA5 for IHC.
100% Guarantee
Price Match Guarantee
Product Size:
100µl
Quantity:
1
2
3
4
5
6
7
8
9
10
Add To Cart
Request a Quotation
Custom or Bulk Request
Shipping Information
Freight/Packing Charges:
$40
Dispatched from St. Louis, MO.
Lead Time: 6-9 business days.
Tags:
Epithelial Cell Marker
Specifications
Name
Anti-ITGA5 Antibody
Description
Rabbit polyclonal antibody to ITGA5
Specificity
The antibody detects endogenous levels of total ITGA5 protein.
Applications
IHC
Reactivity
Human
Immunogen
Fusion protein of human ITGA5
Host
Rabbit
Clonality
Polyclonal
Conjugate
Unconjugated
Purification
Antigen affinity purification.
Concentration
0.9mg / ml
Formulation
Rabbit IgG in pH7.4 PBS, 0.05% NaN3, 40% Glycerol.
Storage
Store at -20˚C
Synonyms
CD49 antigen-like family member E, CD49e, Fibronectin receptor subunit alpha, FNRA, Integrin alpha-5, Integrin alpha-F, VLA-5
Suitable Secondaries
Goat Anti-Rabbit IgG H&L Antibody (AP) (A294874)
Goat Anti-Rabbit IgG H&L Antibody (Biotin) (A294795)
Goat Anti-Rabbit IgG H&L Antibody (FITC) (A294887)
Goat Anti-Rabbit IgG H&L Antibody (HRP) (A294888)
See all Anti-Rabbit IgG Secondaries →
Disclaimer
This product is for research use only. It is not intended for diagnostic or therapeutic use.
Scientific Validation Data
Validation Data
(1)
Enlarge Image
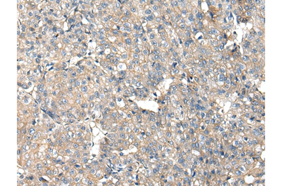
Immunohistochemistry - Anti-ITGA5 Antibody (A46415)
Immunohistochemical analysis of paraffin-embedded Human liver cancer tissue using #42807 at dilution 1/25,
Publishing research using Anti-ITGA5 Antibody (A46415)? Please
let us know
so that we can list the citation on this page.
Alternative products to Anti-ITGA5 Antibody (A46415)
A121794
Anti-Integrin alpha 5 Antibody [5H10-27 (MFR5)]
Rat monoclonal [5H10-27 (MFR5)] antibody to Integrin alpha 5 for ICC, Flow Cytometry and IHC-Fr.
(3)
A15106
Anti-Integrin alpha 5 Antibody
Rabbit polyclonal antibody to Integrin alpha 5 for WB and ICC/IF.
(4)
A97455
Anti-ITGA5 Antibody
Rabbit polyclonal antibody to ITGA5 for WB and ELISA.
A115602
Anti-Integrin alpha 5 Antibody [NKI-SAM-1]
Mouse monoclonal [NKI-SAM-1] antbody to Integrin alpha 5 for Flow Cytometry, IHC-Fr, IP and ICC.
A28699
Anti-ITGA5 Antibody
Rabbit polyclonal antibody to ITGA5 for WB.
(2)
A93795
Anti-ITGA5 (light chain,cleaved Glu895) Antibody
Rabbit polyclonal antibody to ITGA5 (light chain,cleaved Glu895) for WB and ELISA.
A93933
Anti-ITGA5 (heavy chain,cleaved Phe42) Antibody
Rabbit polyclonal antibody to ITGA5 (heavy chain,cleaved Phe42) for WB and ELISA.
A121766
Anti-Integrin alpha 5 Antibody [5H10-27 (MFR5)] - BSA and Azide free
Rat monoclonal [5H10-27 (MFR5)] antibody to Integrin alpha 5 for ICC, Functional Studies, Flow Cytometry and IHC-Fr.
A305899
Anti-Integrin alpha 5 Antibody
Rabbit polyclonal antibody to Integrin alpha 5 for WB.
(2)
A309658
Anti-Integrin alpha 5 Antibody [ARC58291]
Rabbit monoclonal [ARC58291] antibody to Integrin alpha 5 for WB.
A46611
Anti-ITGA5 Antibody
Rabbit polyclonal antibody to ITGA5 for IHC.
A121794
Anti-Integrin alpha 5 Antibody [5H10-27 (MFR5)]
Rat monoclonal [5H10-27 (MFR5)] antibody to Integrin alpha 5 for ICC, Flow Cytometry and IHC-Fr.
(3)
A15106
Anti-Integrin alpha 5 Antibody
Rabbit polyclonal antibody to Integrin alpha 5 for WB and ICC/IF.
(4)
A97455
Anti-ITGA5 Antibody
Rabbit polyclonal antibody to ITGA5 for WB and ELISA.
A115602
Anti-Integrin alpha 5 Antibody [NKI-SAM-1]
Mouse monoclonal [NKI-SAM-1] antbody to Integrin alpha 5 for Flow Cytometry, IHC-Fr, IP and ICC.
A28699
Anti-ITGA5 Antibody
Rabbit polyclonal antibody to ITGA5 for WB.
(2)
A93795
Anti-ITGA5 (light chain,cleaved Glu895) Antibody
Rabbit polyclonal antibody to ITGA5 (light chain,cleaved Glu895) for WB and ELISA.
A93933
Anti-ITGA5 (heavy chain,cleaved Phe42) Antibody
Rabbit polyclonal antibody to ITGA5 (heavy chain,cleaved Phe42) for WB and ELISA.
A121766
Anti-Integrin alpha 5 Antibody [5H10-27 (MFR5)] - BSA and Azide free
Rat monoclonal [5H10-27 (MFR5)] antibody to Integrin alpha 5 for ICC, Functional Studies, Flow Cytometry and IHC-Fr.
A305899
Anti-Integrin alpha 5 Antibody
Rabbit polyclonal antibody to Integrin alpha 5 for WB.
(2)
A309658
Anti-Integrin alpha 5 Antibody [ARC58291]
Rabbit monoclonal [ARC58291] antibody to Integrin alpha 5 for WB.
A46611
Anti-ITGA5 Antibody
Rabbit polyclonal antibody to ITGA5 for IHC.
See all ITGA5 Antibodies
Proteins predicted to interact with Integrin alpha 5
Predicted protein interactions based upon String database. Revelancy score correlates with probability of interaction.
Integrin beta 3 Antibodies
99.9% Relevancy Score
Integrin beta 1 Antibodies
99.9% Relevancy Score
Fibronectin Antibodies
99.9% Relevancy Score
CD18 Antibodies
99.3% Relevancy Score
Integrin beta 5 Antibodies
99.1% Relevancy Score
Integrin beta 7 Antibodies
98.8% Relevancy Score
Talin 1 Antibodies
97.8% Relevancy Score
Vitronectin Antibodies
97.6% Relevancy Score
ILK Antibodies
97.3% Relevancy Score
Top