Primary Antibodies
Secondary Antibodies
Proteins & Peptides
ELISA Kits
About Us
Contact Us
Sign In/Register
0
ISO 9001:2015 Certified
Live Customer Support
4.5/5 on Trustpilot
100% Quality Guarantee
Home
Primary Antibodies
CD11b Antibodies
Anti-ITGAM Antibody (A46101)
Anti-ITGAM Antibody (A46101)
Overview
Specifications
Images
Enlarge Image
Enlarge Image
$430
Product Datasheet
Rabbit polyclonal antibody to ITGAM for IHC.
100% Guarantee
Price Match Guarantee
Product Size:
100µl
Quantity:
1
2
3
4
5
6
7
8
9
10
Add To Cart
Request a Quotation
Custom or Bulk Request
Shipping Information
Freight/Packing Charges:
$40
Dispatched from St. Louis, MO.
Lead Time: 6-9 business days.
Tags:
Dendritic Cell Marker
Eosinophil Marker
Macrophage Marker
Microglia Marker
Specifications
Name
Anti-ITGAM Antibody
Description
Rabbit polyclonal antibody to ITGAM
Specificity
The antibody detects endogenous levels of total ITGAM protein.
Applications
IHC
Reactivity
Human
Immunogen
Synthetic peptide corresponding to residues near the C terminal of human integrin, alpha M (complement component 3 receptor 3 subunit)
Host
Rabbit
Clonality
Polyclonal
Conjugate
Unconjugated
Purification
Antigen affinity purification.
Concentration
0.8 mg/mL
Formulation
Supplied in PBS, pH 7.3, containing 0.05% sodium azide and 50% glycerol.
Storage
Shipped at 4°C. Upon delivery aliquot and store at -20°C. Avoid freeze/thaw cycles.
Synonyms
CD11 antigen-like family member B, Cell surface glycoprotein MAC-1 subunit alpha, CR-3 alpha chain, CR3A, Integrin alpha-M, Leukocyte adhesion receptor MO1, Neutrophil adherence receptor
Suitable Secondaries
Goat Anti-Rabbit IgG H&L Antibody (AP) (A294874)
Goat Anti-Rabbit IgG H&L Antibody (Biotin) (A294795)
Goat Anti-Rabbit IgG H&L Antibody (FITC) (A294887)
Goat Anti-Rabbit IgG H&L Antibody (HRP) (A294888)
See all Anti-Rabbit IgG Secondaries →
Disclaimer
This product is for research use only. It is not intended for diagnostic or therapeutic use.
Scientific Validation Data
Validation Data
(2)
Enlarge Image
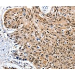
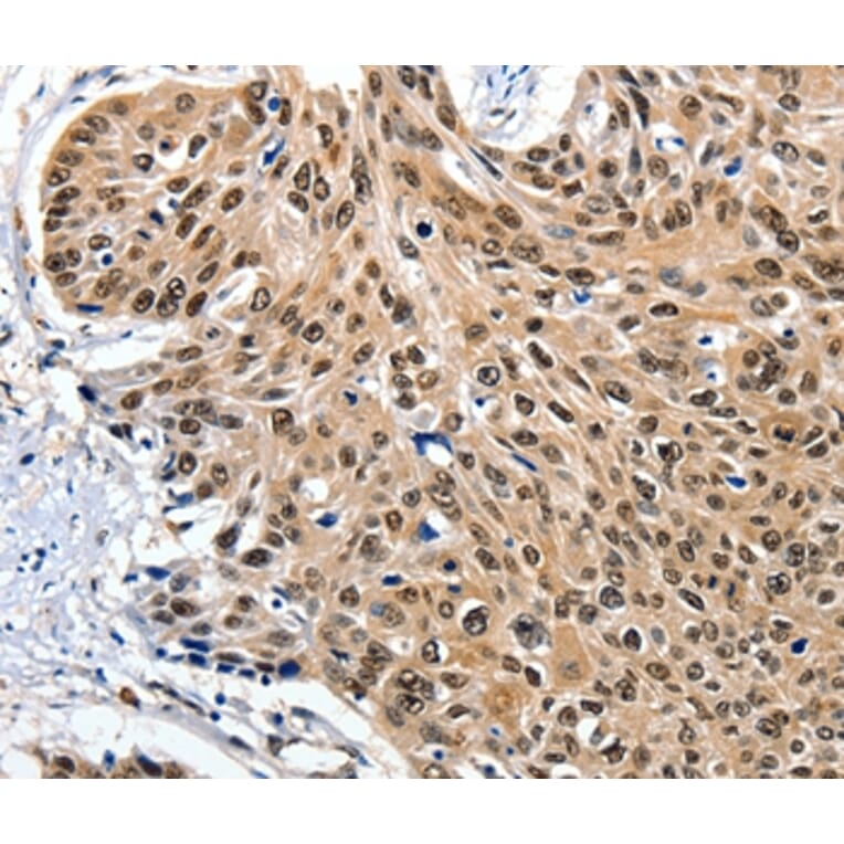
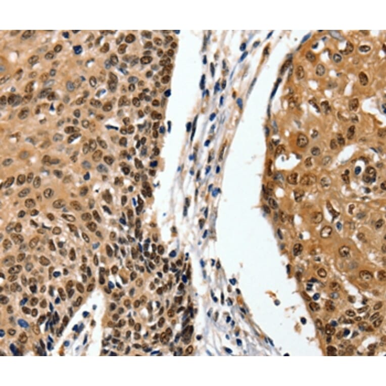
Immunohistochemistry - Anti-ITGAM Antibody (A46101)
Immunohistochemical analysis of paraffin-embedded Human oesophagus cancer tissue using #36962 at dilution 1/20.
Enlarge Image
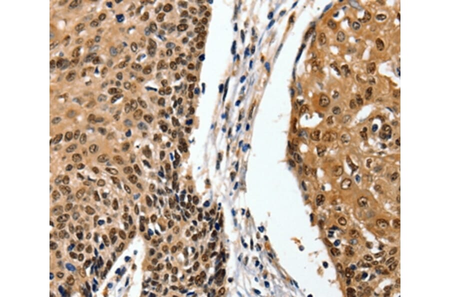
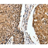
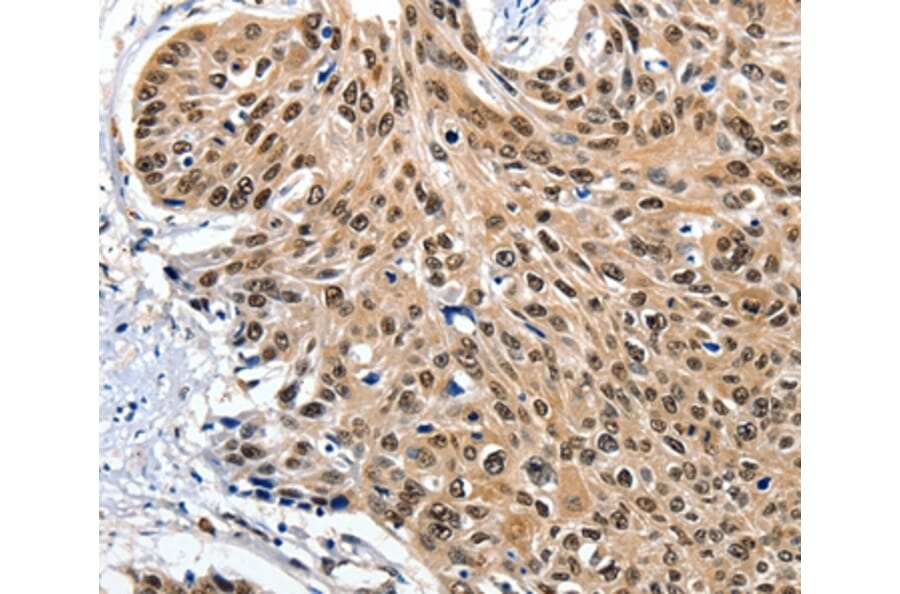
Immunohistochemistry - Anti-ITGAM Antibody (A46101)
Immunohistochemical analysis of paraffin-embedded Human cervica cancer tissue using #36962 at dilution 1/20.
Publishing research using Anti-ITGAM Antibody (A46101)? Please
let us know
so that we can list the citation on this page.
Most popular Anti-ITGAM Antibodies
A86819
Anti-CD11b Antibody [M1/70]
Rat monoclonal [M1/70] antibody to CD11b for Flow Cytometry, IP and IHC-Fr.
(3)
A83530
Anti-CD11b Antibody
Goat polyclonal antibody to CD11b for ELISA, IF and IHC.
A86479
Anti-CD11b Antibody [ICRF44]
Mouse monoclonal [ICRF44] antibody to CD11b for Flow Cytometry, IP, IHC-Fr and ICC.
A86819
Anti-CD11b Antibody [M1/70]
Rat monoclonal [M1/70] antibody to CD11b for Flow Cytometry, IP and IHC-Fr.
(3)
A83530
Anti-CD11b Antibody
Goat polyclonal antibody to CD11b for ELISA, IF and IHC.
A86479
Anti-CD11b Antibody [ICRF44]
Mouse monoclonal [ICRF44] antibody to CD11b for Flow Cytometry, IP, IHC-Fr and ICC.
Alternative products to Anti-ITGAM Antibody (A46101)
(5)
A13522
Anti-CD11b Antibody
Rabbit polyclonal antibody to CD11b for WB, IHC and ICC/IF.
A279974
Anti-CD11b Antibody [CA16.3E10]
Mouse monoclonal [CA163E10] antibody to CD11b for IHC-Fr, IP and Flow Cytometry.
A252249
Anti-CD11b Antibody [M1/70] - BSA and Azide free
Rat monoclonal [M1/70] antibody to CD11b for Flow Cytometry, IF and Functional Studies.
A249069
Anti-CD11b Antibody [M1/70]
Rat monoclonal [M1/70] antibody to CD11b for Flow Cytometry, IF and Functional Studies.
A280991
Anti-CD11b Antibody [M1/70.15] - BSA and Azide free
Rat monoclonal [M1/7015] antibody to CD11b for Flow Cytometry, IF, IHC-Fr, IP, IHC-P and Functional Assays.
A85798
Anti-CD11b Antibody [M1/70] - Low endotoxin, Azide free
Rat monoclonal [M1/70] antibody to CD11b for Flow Cytometry, IP, IHC-Fr and Functional Studies.
(5)
A249064
Anti-CD11b Antibody [ITGAM/3340]
Mouse monoclonal [ITGAM/3340] antibody to CD11b for WB and IHC-P.
(5)
A252244
Anti-CD11b Antibody [ITGAM/3340] - BSA and Azide free
Mouse monoclonal [ITGAM/3340] antibody to CD11b for WB and IHC-P.
A280992
Anti-CD11b Antibody [M1/70.15]
Rat monoclonal [M1/7015] antibody to CD11b for IHC-P, IP, Flow Cytometry, IHC-Fr and IF.
(5)
A249067
Anti-CD11b Antibody [ITGAM/3338]
Mouse monoclonal [ITGAM/3338] antibody to CD11b for WB and IHC-P.
(5)
A252247
Anti-CD11b Antibody [ITGAM/3338] - BSA and Azide free
Mouse monoclonal [ITGAM/3338] antibody to CD11b for WB and IHC-P.
A86485
Anti-CD11b Antibody [ICRF44] - Low endotoxin, Azide free
Mouse monoclonal [ICRF44] antibody to CD11b for Flow Cytometry, IP, IHC-Fr, ICC and Functional Studies.
(5)
A13522
Anti-CD11b Antibody
Rabbit polyclonal antibody to CD11b for WB, IHC and ICC/IF.
A279974
Anti-CD11b Antibody [CA16.3E10]
Mouse monoclonal [CA163E10] antibody to CD11b for IHC-Fr, IP and Flow Cytometry.
A252249
Anti-CD11b Antibody [M1/70] - BSA and Azide free
Rat monoclonal [M1/70] antibody to CD11b for Flow Cytometry, IF and Functional Studies.
A249069
Anti-CD11b Antibody [M1/70]
Rat monoclonal [M1/70] antibody to CD11b for Flow Cytometry, IF and Functional Studies.
A280991
Anti-CD11b Antibody [M1/70.15] - BSA and Azide free
Rat monoclonal [M1/7015] antibody to CD11b for Flow Cytometry, IF, IHC-Fr, IP, IHC-P and Functional Assays.
A85798
Anti-CD11b Antibody [M1/70] - Low endotoxin, Azide free
Rat monoclonal [M1/70] antibody to CD11b for Flow Cytometry, IP, IHC-Fr and Functional Studies.
(5)
A249064
Anti-CD11b Antibody [ITGAM/3340]
Mouse monoclonal [ITGAM/3340] antibody to CD11b for WB and IHC-P.
(5)
A252244
Anti-CD11b Antibody [ITGAM/3340] - BSA and Azide free
Mouse monoclonal [ITGAM/3340] antibody to CD11b for WB and IHC-P.
A280992
Anti-CD11b Antibody [M1/70.15]
Rat monoclonal [M1/7015] antibody to CD11b for IHC-P, IP, Flow Cytometry, IHC-Fr and IF.
(5)
A249067
Anti-CD11b Antibody [ITGAM/3338]
Mouse monoclonal [ITGAM/3338] antibody to CD11b for WB and IHC-P.
(5)
A252247
Anti-CD11b Antibody [ITGAM/3338] - BSA and Azide free
Mouse monoclonal [ITGAM/3338] antibody to CD11b for WB and IHC-P.
A86485
Anti-CD11b Antibody [ICRF44] - Low endotoxin, Azide free
Mouse monoclonal [ICRF44] antibody to CD11b for Flow Cytometry, IP, IHC-Fr, ICC and Functional Studies.
See all ITGAM Antibodies
Proteins predicted to interact with CD11b
Predicted protein interactions based upon String database. Revelancy score correlates with probability of interaction.
CD18 Antibodies
99.9% Relevancy Score
CD54 Antibodies
99.9% Relevancy Score
C3 Antibodies
99.9% Relevancy Score
CD90 Antibodies
99.8% Relevancy Score
ICAM2 Antibodies
99.6% Relevancy Score
JAM-C Antibodies
99.5% Relevancy Score
CD11a Antibodies
99.4% Relevancy Score
VCAM1 Antibodies
99.1% Relevancy Score
CD42b Antibodies
98.2% Relevancy Score
Top