ISO 9001:2015 Certified
Live Customer Support
4.5/5 on Trustpilot
100% Quality Guarantee

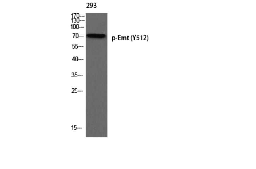
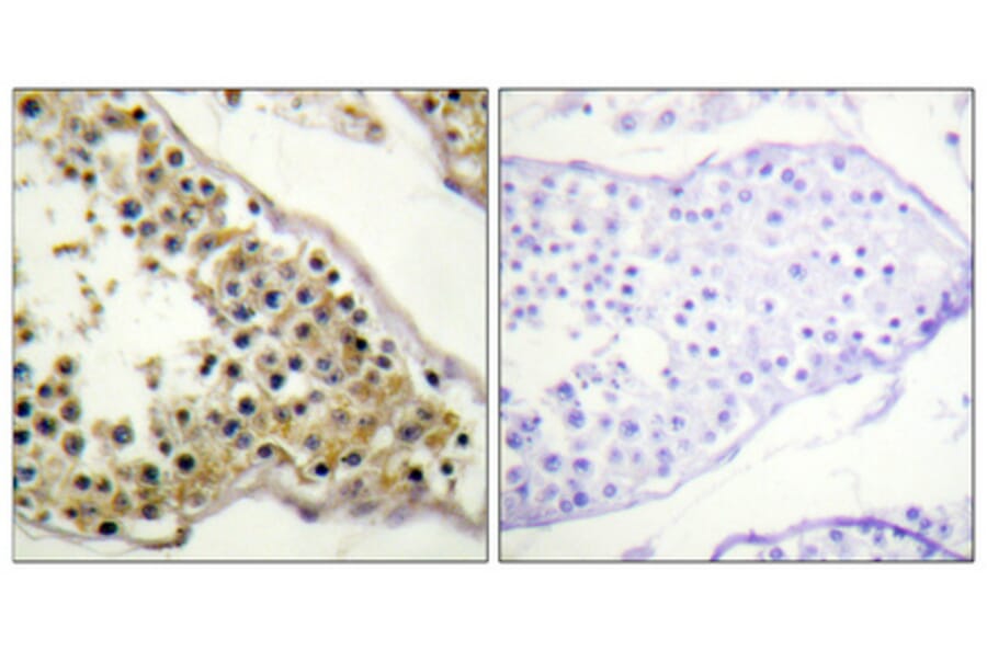
Anti-ITK (phospho Tyr512) Antibody (A94941)

Rabbit polyclonal antibody to ITK (phospho Tyr512) for WB, IHC, IF and ELISA.

Shipping Information

$40
Dispatched from St. Louis, MO.
Lead Time: 6-8 business days.
Name
Anti-ITK (phospho Tyr512) Antibody
Description
Rabbit polyclonal antibody to ITK (phospho Tyr512).
Specificity
This antibody detects endogenous levels of ITK only when phosphorylated at Tyr512.
Applications
WB, IHC, IF, ELISA
Dilutions
IHC: 1:50~1:100, ELISA: 1:10000
Reactivity
Human, Mouse
Cross Reactivity
No reported cross-reactivity.
Immunogen
Synthetic peptide derived from human ITK around the phosphorylation site of Tyr512 (amino acids 478-527).
Host
Rabbit
Clonality
Polyclonal
Isotype
IgG
Conjugate

Unconjugated

Purification
Purified from rabbit serum by antigen affinity chromatography using the immunizing phospho peptide.
Molecular Weight
71kDa
Product Form
Liquid
Formulation
Supplied in Phosphate Buffered Saline (without Mg2+ and Ca2+), pH 7.4, with 150mM NaCl, 0.02% Sodium Azide, and 50% Glycerol.
Storage
Shipped at 4°C. Upon delivery aliquot and store at -20°C. Avoid freeze / thaw cycles.
Synonyms
EMT, IL-2-inducible T-cell kinase, Interleukin-2-inducible T-cell kinase, Kinase EMT, LYK, T-cell-specific kinase, Tyrosine-protein kinase ITK/TSK, Tyrosine-protein kinase Lyk
Disclaimer
This product is for research use only. It is not intended for diagnostic or therapeutic use.
Publishing research using Anti-ITK (phospho Tyr512) Antibody (A94941)? Please let us know so that we can list the citation on this page.

Alternative products to Anti-ITK (phospho Tyr512) Antibody (A94941)

Proteins predicted to interact with ITK

Predicted protein interactions based upon String database. Revelancy score correlates with probability of interaction.
99.9% Relevancy Score
99.8% Relevancy Score
99.7% Relevancy Score
97.9% Relevancy Score
97.6% Relevancy Score
97.3% Relevancy Score
95% Relevancy Score
94.9% Relevancy Score
94.8% Relevancy Score