Primary Antibodies
Secondary Antibodies
Proteins & Peptides
ELISA Kits
About Us
Contact Us
Sign In/Register
0
ISO 9001:2015 Certified
Live Customer Support
4.5/5 on Trustpilot
100% Quality Guarantee
Home
Primary Antibodies
JAK2 Antibodies
Anti-JAK2 Antibody (A46846)
Anti-JAK2 Antibody (A46846)
Overview
Specifications
Images
Enlarge Image
Enlarge Image
$430
Product Datasheet
Rabbit polyclonal antibody to JAK2 for IHC.
100% Guarantee
Price Match Guarantee
Product Size:
100µl
Quantity:
1
2
3
4
5
6
7
8
9
10
Add To Cart
Request a Quotation
Custom or Bulk Request
Shipping Information
Freight/Packing Charges:
$40
Dispatched from St. Louis, MO.
Lead Time: 6-9 business days.
Specifications
Name
Anti-JAK2 Antibody
Description
Rabbit polyclonal antibody to JAK2
Specificity
The antibody detects endogenous levels of total JAK2 protein.
Applications
IHC
Reactivity
Human
Immunogen
Synthetic peptide corresponding to a region derived from internal residues of human Janus kinase 2
Host
Rabbit
Clonality
Polyclonal
Conjugate
Unconjugated
Purification
Antigen affinity purification.
Concentration
1.4 mg/mL
Formulation
Supplied in PBS, pH 7.3, containing 0.05% sodium azide and 50% glycerol.
Storage
Shipped at 4°C. Upon delivery aliquot and store at -20°C. Avoid freeze/thaw cycles.
Synonyms
JAK-2, Janus kinase 2, Tyrosine-protein kinase JAK2
Suitable Secondaries
Goat Anti-Rabbit IgG H&L Antibody (AP) (A294874)
Goat Anti-Rabbit IgG H&L Antibody (Biotin) (A294795)
Goat Anti-Rabbit IgG H&L Antibody (FITC) (A294887)
Goat Anti-Rabbit IgG H&L Antibody (HRP) (A294888)
See all Anti-Rabbit IgG Secondaries →
Disclaimer
This product is for research use only. It is not intended for diagnostic or therapeutic use.
Scientific Validation Data
Validation Data
(2)
Enlarge Image
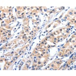
Immunohistochemistry - Anti-JAK2 Antibody (A46846)
Immunohistochemical analysis of paraffin-embedded Human brain using #36938 at dilution 1/35.
Enlarge Image
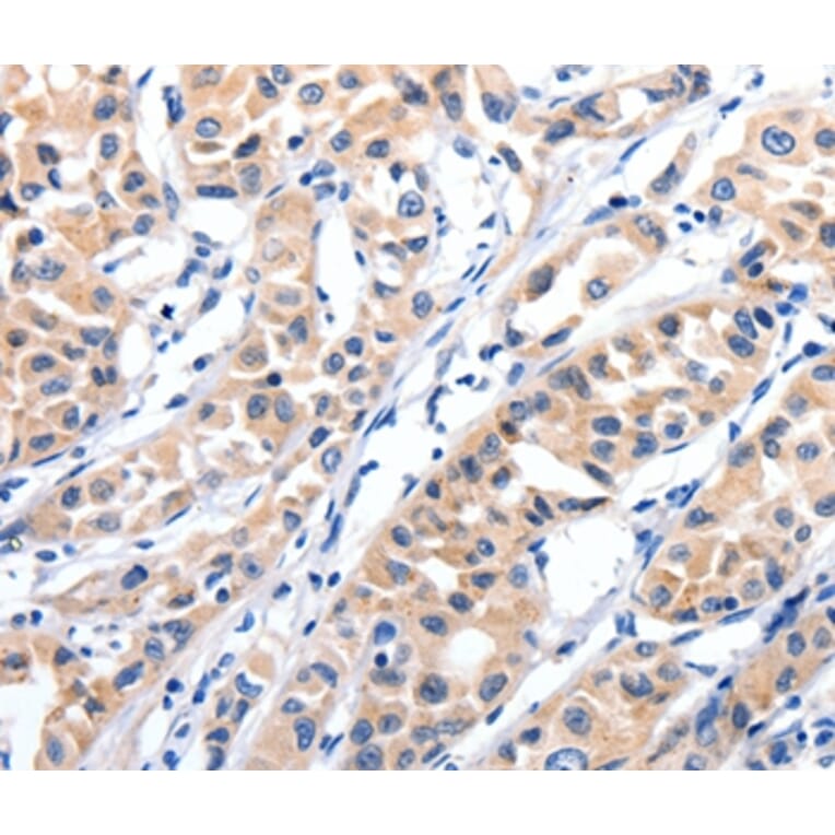
Immunohistochemistry - Anti-JAK2 Antibody (A46846)
Immunohistochemical analysis of paraffin-embedded Human lung cancer tissue using #36938 at dilution 1/35.
Publishing research using Anti-JAK2 Antibody (A46846)? Please
let us know
so that we can list the citation on this page.
Alternative products to Anti-JAK2 Antibody (A46846)
(2)
A96172
Anti-JAK2 Antibody
Rabbit polyclonal antibody to JAK2 for WB,IHC-p,IF(paraffin section) and ELISA.
(8)
A96171
Anti-JAK2 Antibody
Rabbit polyclonal antibody to JAK2 for IF, WB, IHC and ELISA.
(4)
A93694
Anti-JAK2 (phospho Tyr1007) Antibody
Rabbit polyclonal antibody to JAK2 (phospho Tyr1007) for WB, IHC, IF and ELISA.
(4)
A11009
Anti-JAK2 (phospho Tyr1007 + Tyr1008) Antibody
Rabbit polyclonal antibody to JAK2 (phospho Tyr1007 + Tyr1008) for WB and IHC.
(3)
A96387
Anti-JAK2 Antibody
Rabbit polyclonal antibody to JAK2 for WB,IHC-p,IF/ICC and ELISA.
(3)
A94052
Anti-JAK2 (phospho Tyr570) Antibody
Rabbit polyclonal antibody to JAK2 (phospho Tyr570) for WB, IHC, IF and ELISA.
(2)
A27389
Anti-JAK2 (phospho-Y1007) Antibody
Rabbit polyclonal antibody to JAK2 (phospho-Y1007) for WB and IHC.
(2)
A36023
Anti-JAK2 Antibody
Rabbit polyclonal antibody to JAK2 for ELISA, WB and IHC.
(2)
A94439
Anti-JAK2 (phospho Tyr221) Antibody
Rabbit polyclonal antibody to JAK2 (phospho Tyr221) for WB, IHC, IF and ELISA.
(2)
A94437
Anti-JAK2 (phospho Tyr931) Antibody
Rabbit polyclonal antibody to JAK2 (phospho Tyr931) for WB, IHC, IF and ELISA.
(2)
A50425
Anti-Jak2 (Phospho-Tyr1007) Antibody
Rabbit polyclonal antibody to Jak2 (Phospho-Tyr1007) for WB and IHC.
A93900
Anti-JAK2 (phospho Tyr119) Antibody
Rabbit polyclonal antibody to JAK2 (phospho Tyr119) for IHC, IF and ELISA.
(2)
A96172
Anti-JAK2 Antibody
Rabbit polyclonal antibody to JAK2 for WB,IHC-p,IF(paraffin section) and ELISA.
(8)
A96171
Anti-JAK2 Antibody
Rabbit polyclonal antibody to JAK2 for IF, WB, IHC and ELISA.
(4)
A93694
Anti-JAK2 (phospho Tyr1007) Antibody
Rabbit polyclonal antibody to JAK2 (phospho Tyr1007) for WB, IHC, IF and ELISA.
(4)
A11009
Anti-JAK2 (phospho Tyr1007 + Tyr1008) Antibody
Rabbit polyclonal antibody to JAK2 (phospho Tyr1007 + Tyr1008) for WB and IHC.
(3)
A96387
Anti-JAK2 Antibody
Rabbit polyclonal antibody to JAK2 for WB,IHC-p,IF/ICC and ELISA.
(3)
A94052
Anti-JAK2 (phospho Tyr570) Antibody
Rabbit polyclonal antibody to JAK2 (phospho Tyr570) for WB, IHC, IF and ELISA.
(2)
A27389
Anti-JAK2 (phospho-Y1007) Antibody
Rabbit polyclonal antibody to JAK2 (phospho-Y1007) for WB and IHC.
(2)
A36023
Anti-JAK2 Antibody
Rabbit polyclonal antibody to JAK2 for ELISA, WB and IHC.
(2)
A94439
Anti-JAK2 (phospho Tyr221) Antibody
Rabbit polyclonal antibody to JAK2 (phospho Tyr221) for WB, IHC, IF and ELISA.
(2)
A94437
Anti-JAK2 (phospho Tyr931) Antibody
Rabbit polyclonal antibody to JAK2 (phospho Tyr931) for WB, IHC, IF and ELISA.
(2)
A50425
Anti-Jak2 (Phospho-Tyr1007) Antibody
Rabbit polyclonal antibody to Jak2 (Phospho-Tyr1007) for WB and IHC.
A93900
Anti-JAK2 (phospho Tyr119) Antibody
Rabbit polyclonal antibody to JAK2 (phospho Tyr119) for IHC, IF and ELISA.
See all JAK2 Antibodies
Proteins predicted to interact with JAK2
Predicted protein interactions based upon String database. Revelancy score correlates with probability of interaction.
STAT1 Antibodies
99.9% Relevancy Score
Leptin Receptor Antibodies
99.9% Relevancy Score
STAT5A Antibodies
99.9% Relevancy Score
SOCS3 Antibodies
99.9% Relevancy Score
EPOR Antibodies
99.9% Relevancy Score
IFN gamma Receptor beta Antibodies
99.9% Relevancy Score
STAT3 Antibodies
99.9% Relevancy Score
IFNGR1 Antibodies
99.9% Relevancy Score
STAT5B Antibodies
99.9% Relevancy Score
Top