ISO 9001:2015 Certified
Live Customer Support
4.5/5 on Trustpilot
100% Quality Guarantee

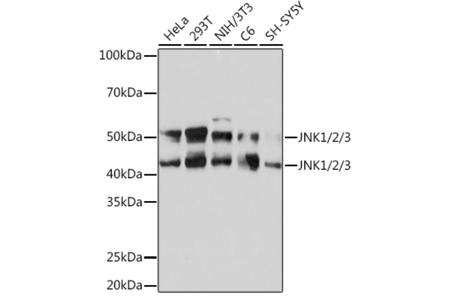
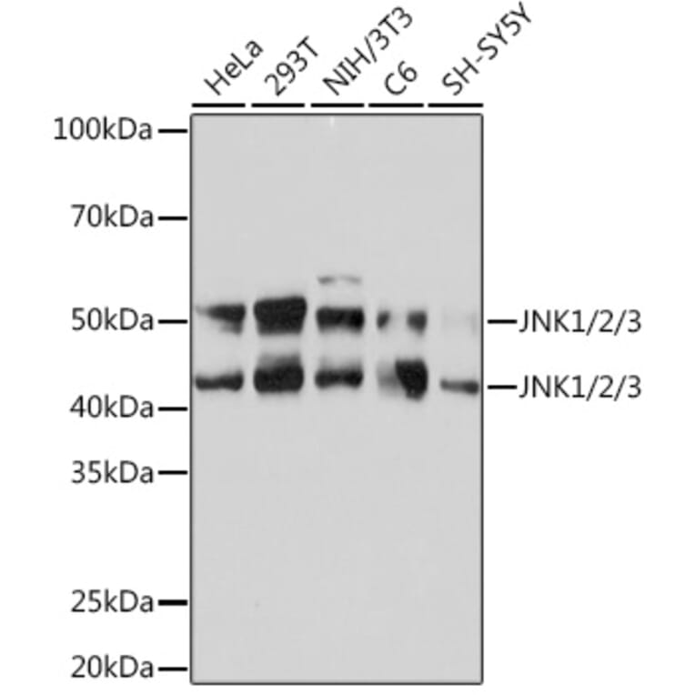
Anti-JNK1 + JNK2 + JNK3 Antibody [ARC0291] (A307841)

Rabbit monoclonal [ARC0291] antibody to JNK1 + JNK2 + JNK3 for WB and ICC/IF.

Shipping Information

$40
Dispatched from St. Louis, MO.
Lead Time: 7-10 business days.
Name
Anti-JNK1 + JNK2 + JNK3 Antibody [ARC0291]
Description
Rabbit monoclonal [ARC0291] antibody to JNK1 + JNK2 + JNK3.
Applications
WB, ICC/IF
Dilutions
WB: 1:500-1:2,000, ICC/IF: 1:50-1:200
Reactivity
Human, Mouse, Rat
Immunogen
Recombinant fusion protein containing a sequence corresponding to amino acids 1-383 of human JNK1/2/3 (P45983).
Sequence
MSRSKRDNNFYSVEIGDSTFTVLKRYQNLKPIGSGAQGIVCAAYDAILERNVAIKKLSRPFQNQTHAKRAYRELVLMKCVNHKNIIGLLNVFTPQKSLEEFQDVYIVMELMDANLCQVIQMELDHERMSYLLYQMLCGIKHLHSAGIIHRDLKPSNIVVKSDCTLKILDFGLARTAGTSFMMTPYVVTRYYRAPEVILGMGYKENVDLWSVGCIMGEMVCHKILFPGRDYIDQWNKVIEQLGTPCPEFMKKLQPTVRTYVENRPKYAGYSFEKLFPDVLFPADSEHNKLKASQARDLLSKMLVIDASKRISVDEALQHPYINVWYDPSEAEAPPPKIPDKQLDEREHTIEEWKELIYKEVMDLEERTKNGVIRGQPSPLGAAV
Host
Rabbit
Clonality
Monoclonal
Clone ID
ARC0291
Isotype
IgG
Conjugate

Unconjugated

Purification
Affinity purification.
Concentration
Lot Specific
Molecular Weight
46 kDa / 54 kDa
Product Form
Liquid
Formulation
Supplied in Phosphate Buffered Saline, pH 7.3, with 50% Glycerol, 0.05% BSA, and 0.02% Sodium Azide.
Storage
Shipped at 4°C. Upon delivery aliquot and store at -20°C. Avoid freeze/thaw cycles.
Disclaimer
This product is for research use only. It is not intended for diagnostic or therapeutic use.
Publishing research using Anti-JNK1 + JNK2 + JNK3 Antibody [ARC0291] (A307841)? Please let us know so that we can list the citation on this page.