Western Blot - Anti-Junctional Adhesion Molecule 1/JAM-A Antibody (A8896)
Western blot analysis of extracts of various cell lines, using Anti-Junctional Adhesion Molecule 1/JAM-A Antibody (A8896) at 1:1,000 dilution. The secondary antibody was Goat Anti-Rabbit IgG H&L Antibody (HRP) at 1:10,000 dilution. Lysates/proteins were present at 25µg per lane. The blocking buffer used was 3% non-fat dry milk in TBST. Detection was with a ECL Basic Kit. Exposure time: 1s.
Western Blot - Anti-Junctional Adhesion Molecule 1/JAM-A Antibody (A8896)
Western blot analysis of extracts of various cell lines, using Anti-Junctional Adhesion Molecule 1/JAM-A Antibody (A8896) at 1:1,000 dilution. The secondary antibody was Goat Anti-Rabbit IgG H&L Antibody (HRP) at 1:10,000 dilution. Lysates/proteins were present at 25µg per lane. The blocking buffer used was 3% non-fat dry milk in TBST. Detection was with a ECL Basic Kit. Exposure time: 90s.
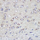
Immunohistochemistry analysis of paraffin-embedded rat brain using Anti-Junctional Adhesion Molecule 1/JAM-A Antibody (A8896) at a dilution of 1:100 (40x lens). Perform microwave antigen retrieval with 10 mM PBS buffer pH 7.2 before commencing with IHC staining protocol.
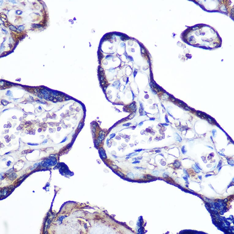
Immunohistochemistry analysis of paraffin-embedded human placenta using Anti-Junctional Adhesion Molecule 1/JAM-A Antibody (A8896) at a dilution of 1:100 (40x lens). Perform microwave antigen retrieval with 10 mM PBS buffer pH 7.2 before commencing with IHC staining protocol.
Publishing research using Anti-Junctional Adhesion Molecule 1/JAM-A Antibody (A8896)? Please let us know so that we can list the citation on this page.