ISO 9001:2015 Certified
Live Customer Support
4.5/5 on Trustpilot
100% Quality Guarantee

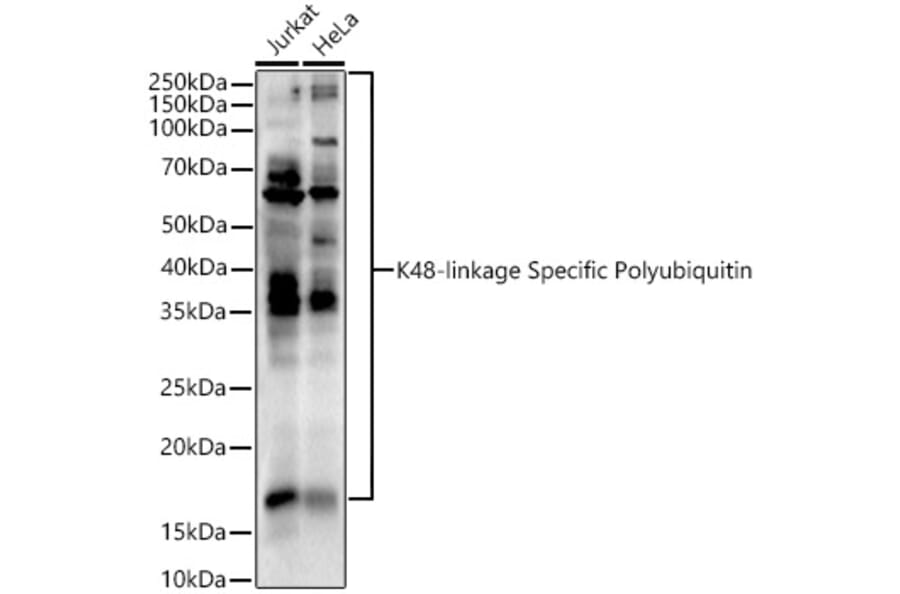
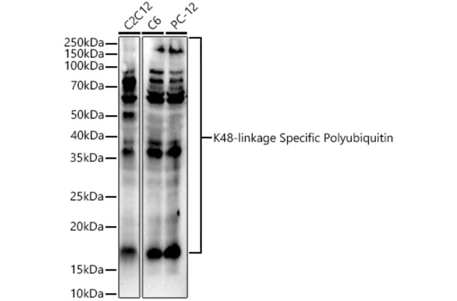
Anti-K48-linkage specific Polyubiquitin Antibody (A309530)

This product is discontinued

Anti-K48-linkage specific Polyubiquitin Antibody (A309530) has been discontinued and is no longer available.

View all available products.

Name
Anti-K48-linkage specific Polyubiquitin Antibody
Description
Rabbit polyclonal antibody to K48-linkage specific Polyubiquitin.
Applications
WB, Dot Blot
Dilutions
WB: 1:100-1:500, DB: 1:500-1:1,000
Reactivity
Human, Mouse, Rat
Immunogen
A synthetic peptide corresponding to a sequence containing polyubiquitinated protein (K48 linkage).
Host
Rabbit
Clonality
Polyclonal
Isotype
IgG
Conjugate

Unconjugated

Purification
Affinity purification.
Molecular Weight
15 - 250 kDa
Product Form
Liquid
Formulation
Supplied in Phosphate Buffered Saline, pH 7.3, with 50% Glycerol and 0.01% Thiomersal.
Storage
Shipped at 4°C. Upon delivery aliquot and store at -20°C. Avoid freeze / thaw cycles.
Disclaimer
This product is for research use only. It is not intended for diagnostic or therapeutic use.