ISO 9001:2015 Certified
Live Customer Support
4.5/5 on Trustpilot
100% Quality Guarantee

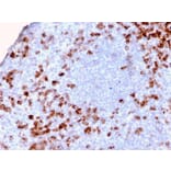
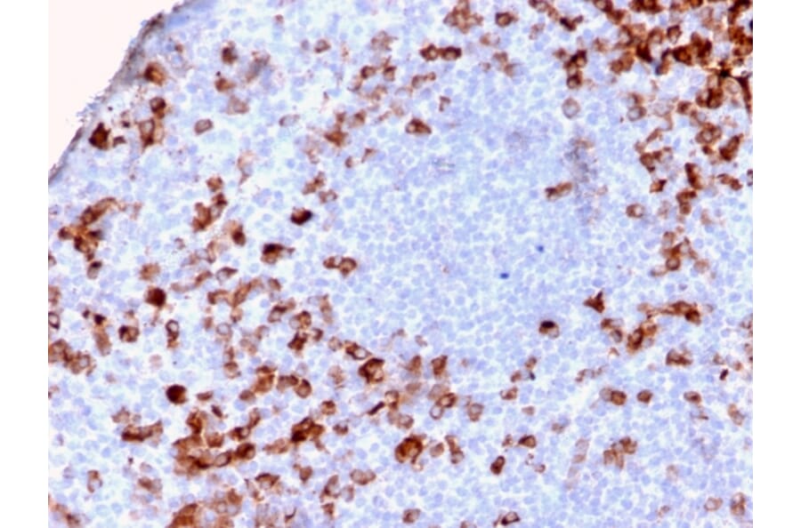
Recombinant Anti-Kappa Light Chain Antibody [KLC2886R] - BSA and Azide free (A252166)

Recombinant rabbit monoclonal [KLC2886R] antibody to Kappa Light Chain for IHC-P.

Alternative Formats and ConjugatesAlternative Formats

Shipping Information

$40
Dispatched from St. Louis, MO.
Lead Time: 5-8 business days.
Name
Anti-Kappa Light Chain Antibody [KLC2886R] - BSA and Azide free
Description
Recombinant rabbit monoclonal [KLC2886R] antibody to Kappa Light Chain.
Specificity
This antibody is specific to kappa light chain of immunoglobulin and shows no cross-reaction with lambda light chain or any of the five heavy chains. It recognizes human Ig kappa light chains of both secreted and cell surface immunoglobulin. It detects also free kappa light chains. In mammals, the two light chains in an antibody are always identical, with only one type of light chain, kappa or lambda. The ratio of Kappa to Lambda is 70:30. However, with the occurrence of multiple myeloma or other B-cell malignancies this ratio is disturbed. Antibody to the kappa light chain is reportedly useful in the identification of leukemias, plasmacytomas, and certain non-Hodgkins lymphomas. Demonstration of clonality in lymphoid infiltrates indicates that the infiltrate is malignant.
Applications
IHC-P
Dilutions
IHC-P: 1-2 µg/ml
Reactivity
Human
Immunogen
Recombinant full-length human Ig kappa chain.
Host
Rabbit
Clonality
Monoclonal
Clone ID
KLC2886R
Isotype
IgG
Conjugate

Unconjugated

Purification
Protein A/G chromatography.
Concentration
1 mg/ml
Molecular Weight
~22.5 kDa
Product Form
Liquid
Formulation
Supplied in 10mM Phosphate Buffered Saline; without Sodium Azide and carrier free.
Storage
Shipped at 4°C. Upon delivery aliquot and store at -20°C. Avoid freeze / thaw cycles.
General Notes
This monoclonal antibody is also available in a different formulation with BSA and Sodium Azide - Anti-Kappa Light Chain Antibody [KLC2886R] (A248986).
Synonyms
Ig kappa chain C region, Ig kappa chain C region AG, Ig kappa chain C region CUM, Ig kappa chain C region EU, Ig kappa chain C region OU, Ig kappa chain V-I region HK146, Ig kappa chain V-I region HK189, IGKC, IGKV1D-16, Immunoglobulin kappa constant, Immunoglobulin kappa variable 1D-16
Disclaimer
This product is for research use only. It is not intended for diagnostic or therapeutic use.
Publishing research using Recombinant Anti-Kappa Light Chain Antibody [KLC2886R] - BSA and Azide free (A252166)? Please let us know so that we can list the citation on this page.

Alternative products to Anti-Kappa Light Chain Antibody [KLC2886R] - BSA and Azide free (A252166)