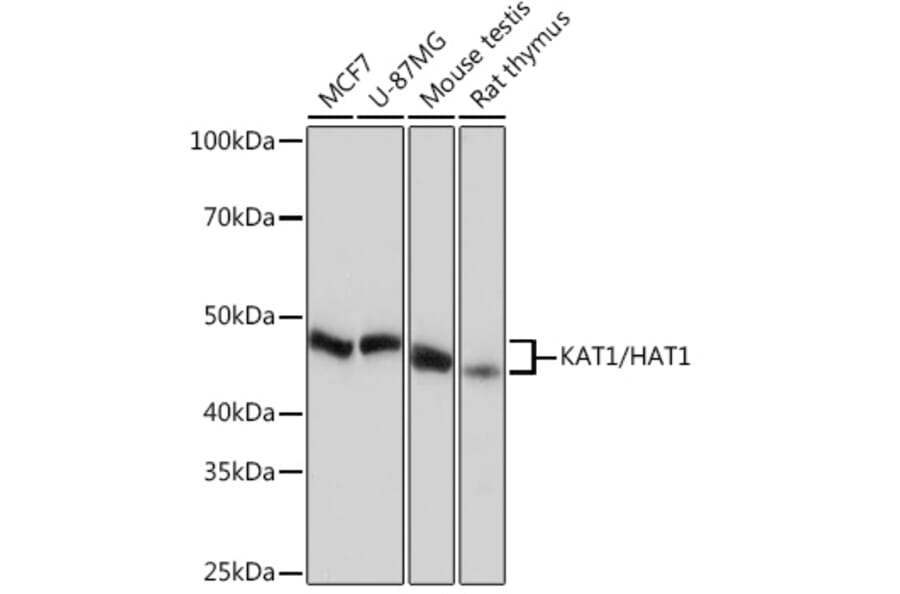
Western Blot - Anti-KAT1/HAT1 Antibody [ARC1002] (A306252)
Western blot analysis of extracts of various cell lines, using Anti-KAT1/HAT1 Antibody [ARC1002] (A306252) at 1:1,000 dilution. The secondary antibody was Goat Anti-Rabbit IgG H&L Antibody (HRP) at 1:10,000 dilution. Lysates/proteins were present at 25µg per lane. The blocking buffer used was 3% non-fat dry milk in TBST. Detection was with a ECL Basic Kit. Exposure time: 10s.
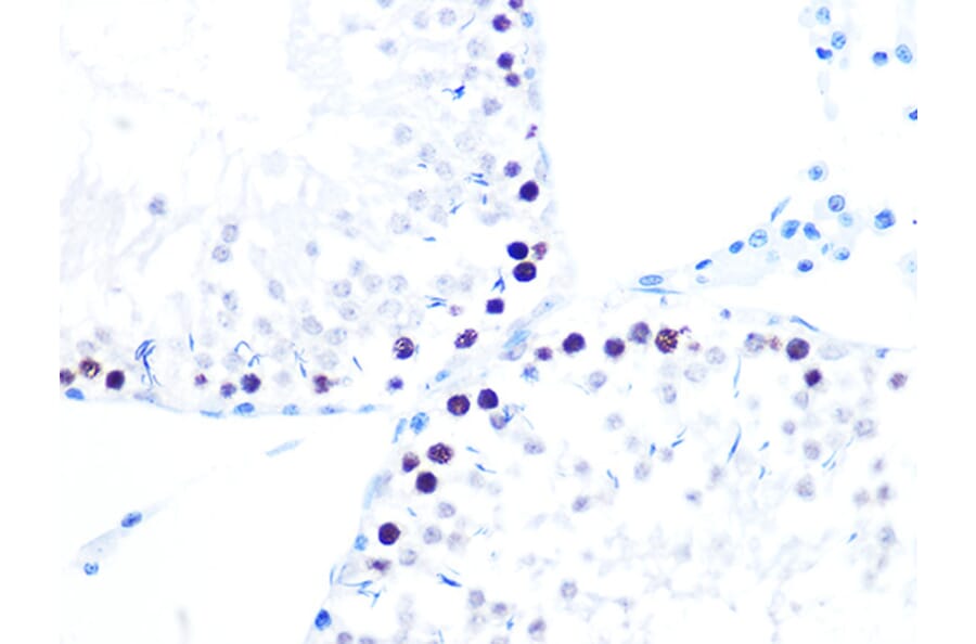
Immunohistochemistry analysis of paraffin-embedded rat testis using Anti-KAT1/HAT1 Antibody [ARC1002] (A306252) at a dilution of 1:100 (40x lens). Perform microwave antigen retrieval with 10 mM PBS buffer pH 7.2 before commencing with IHC staining protocol.
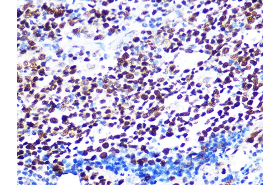
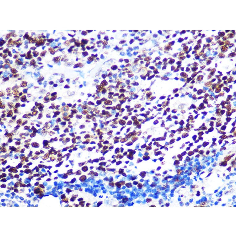
Immunohistochemistry analysis of paraffin-embedded human appendix tissue using Anti-KAT1/HAT1 Antibody [ARC1002] (A306252) at a dilution of 1:100 (40x lens). Perform microwave antigen retrieval with 10 mM PBS buffer pH 7.2 before commencing with IHC staining protocol.
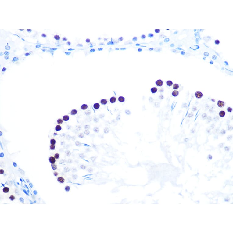
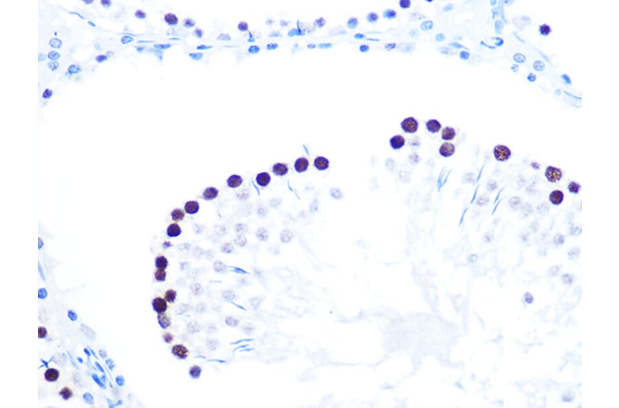
Immunohistochemistry analysis of paraffin-embedded mouse testis using Anti-KAT1/HAT1 Antibody [ARC1002] (A306252) at a dilution of 1:100 (40x lens). Perform microwave antigen retrieval with 10 mM PBS buffer pH 7.2 before commencing with IHC staining protocol.
Immunofluorescence analysis of C6 cells using Anti-KAT1/HAT1 Antibody [ARC1002] (A306252) at a dilution of 1:100 (40x lens). DAPI was used to stain the cell nuclei (blue).
Immunofluorescence analysis of NIH-3T3 cells using Anti-KAT1/HAT1 Antibody [ARC1002] (A306252) at a dilution of 1:100 (40x lens). DAPI was used to stain the cell nuclei (blue).