Western Blot - Anti-KAT13C/NCOA2 Antibody (A11275)
Western blot analysis of extracts from normal (control) and NCOA2 knockout (KO) 293T cells, using Anti-KAT13C/NCOA2 Antibody (A11275) at 1:1,000 dilution. The secondary antibody was Goat Anti-Rabbit IgG H&L Antibody (HRP) at 1:10,000 dilution. Lysates/proteins were present at 25µg per lane. The blocking buffer used was 3% non-fat dry milk in TBST. Detection was with a ECL Basic Kit. Exposure time: 3min.
Western Blot - Anti-KAT13C/NCOA2 Antibody (A11275)
Western blot analysis of extracts of various cell lines, using Anti-KAT13C/NCOA2 Antibody (A11275) at 1:1,000 dilution. The secondary antibody was Goat Anti-Rabbit IgG H&L Antibody (HRP) at 1:10,000 dilution. Lysates/proteins were present at 25µg per lane. The blocking buffer used was 3% non-fat dry milk in TBST. Detection was with a ECL Basic Kit. Exposure time: 180s.
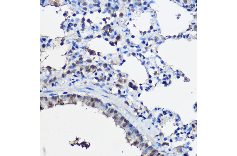
Immunohistochemistry analysis of paraffin-embedded rat lung using Anti-KAT13C/NCOA2 Antibody (A11275) at a dilution of 1:100 (40x lens). Perform high pressure antigen retrieval with 10 mM citrate buffer pH 6.0 before commencing with IHC staining protocol.
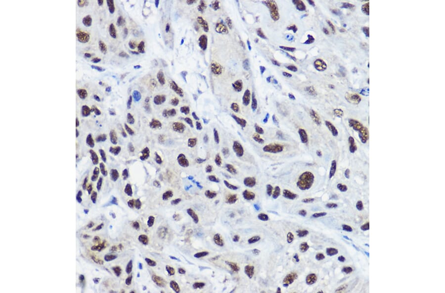
Immunohistochemistry analysis of paraffin-embedded human esophageal cancer using Anti-KAT13C/NCOA2 Antibody (A11275) at a dilution of 1:100 (40x lens). Perform high pressure antigen retrieval with 10 mM citrate buffer pH 6.0 before commencing with IHC staining protocol.
Publishing research using Anti-KAT13C/NCOA2 Antibody (A11275)? Please let us know so that we can list the citation on this page.