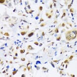
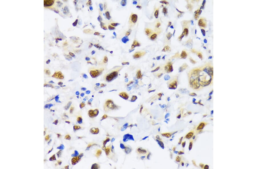
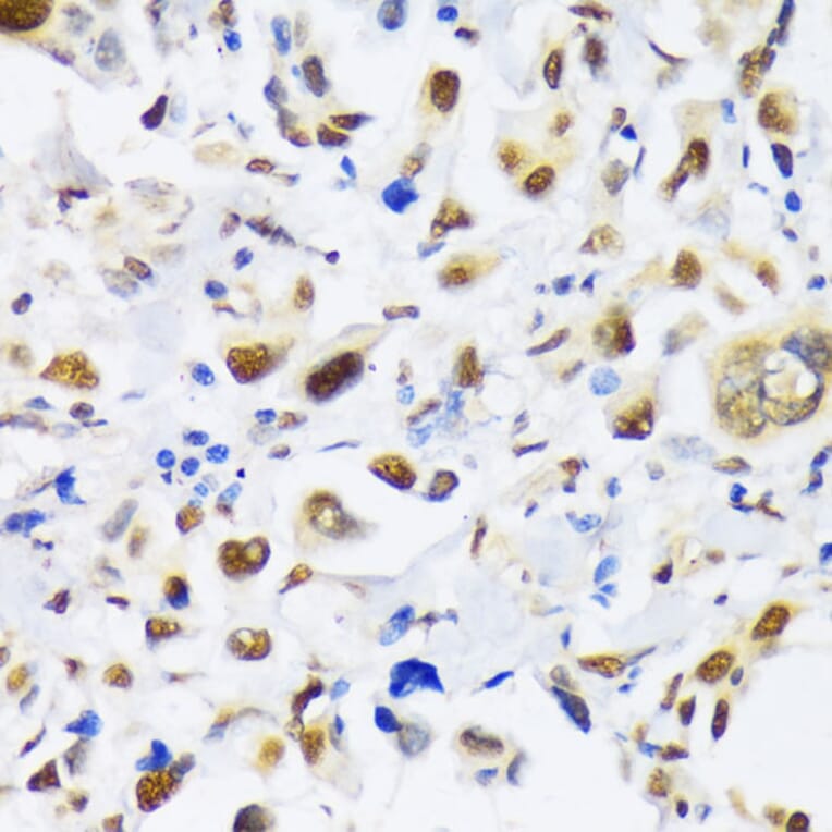
Immunohistochemistry analysis of paraffin-embedded human lung cancer using Anti-KAT3B/p300 Antibody (A89032) at a dilution of 1:100 (40x lens). Perform microwave antigen retrieval with 10 mM PBS buffer pH 7.2 before commencing with IHC staining protocol.
Immunofluorescence analysis of U2OS cells using Anti-KAT3B/p300 Antibody (A89032) at a dilution of 1:100 (40x lens). DAPI was used to stain the cell nuclei (blue).
Publishing research using Anti-KAT3B/p300 Antibody (A89032)? Please let us know so that we can list the citation on this page.