ISO 9001:2015 Certified
Live Customer Support
4.5/5 on Trustpilot
100% Quality Guarantee

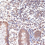
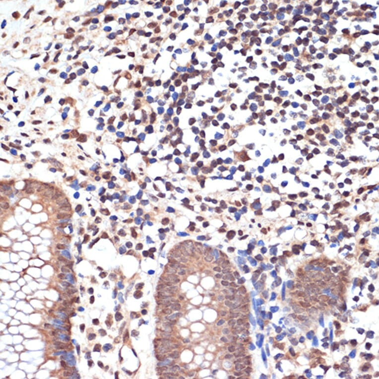
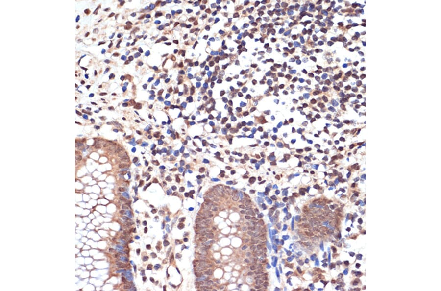
Anti-KAT8/MYST1/MOF Antibody [ARC1964] (A305738)

Rabbit monoclonal [ARC1964] antibody to KAT8/MYST1/MOF for WB, IHC and ICC/IF.

Shipping Information

$40
Dispatched from St. Louis, MO.
Lead Time: 7-10 business days.
Name
Anti-KAT8/MYST1/MOF Antibody [ARC1964]
Description
Rabbit monoclonal [ARC1964] antibody to KAT8/MYST1/MOF.
Applications
WB, IHC, ICC/IF
Dilutions
WB: 1:500-1:2,000, IHC: 1:50-1:200, ICC/IF: 1:50-1:200
Reactivity
Human, Mouse
Immunogen
Recombinant fusion protein containing a sequence corresponding to amino acids 350-458 of human KAT8/MYST1/MOF (Q9H7Z6).
Sequence
EKPLSDLGKLSYRSYWSWVLLEILRDFRGTLSIKDLSQMTSITQNDIISTLQSLNMVKYWKGQHVICVTPKLVEEHLKSAQYKKPPITVDSVCLKWAPPKHKQVKLSKK
Host
Rabbit
Clonality
Monoclonal
Clone ID
ARC1964
Isotype
IgG
Conjugate

Unconjugated

Purification
Affinity purification.
Concentration
Lot Specific
Molecular Weight
53 kDa
Product Form
Liquid
Formulation
Supplied in Phosphate Buffered Saline, pH 7.3, with 50% Glycerol, 0.05% BSA, and 0.02% Sodium Azide.
Storage
Shipped at 4°C. Upon delivery aliquot and store at -20°C. Avoid freeze/thaw cycles.
Disclaimer
This product is for research use only. It is not intended for diagnostic or therapeutic use.
Publishing research using Anti-KAT8/MYST1/MOF Antibody [ARC1964] (A305738)? Please let us know so that we can list the citation on this page.