Primary Antibodies
Secondary Antibodies
Proteins & Peptides
ELISA Kits
About Us
Contact Us
Sign In/Register
0
ISO 9001:2015 Certified
Live Customer Support
4.5/5 on Trustpilot
100% Quality Guarantee
Home
Primary Antibodies
GIRK2 Antibodies
Anti-KCNJ6 Antibody (A46221)
Anti-KCNJ6 Antibody (A46221)
Overview
Specifications
Images
Enlarge Image
Enlarge Image
$430
Product Datasheet
Rabbit polyclonal antibody to KCNJ6 for IHC.
100% Guarantee
Price Match Guarantee
Product Size:
100µl
Quantity:
1
2
3
4
5
6
7
8
9
10
Add To Cart
Request a Quotation
Custom or Bulk Request
Shipping Information
Freight/Packing Charges:
$40
Dispatched from St. Louis, MO.
Lead Time: 6-9 business days.
Tags:
Dopaminergic Neuron Marker
Specifications
Name
Anti-KCNJ6 Antibody
Description
Rabbit polyclonal antibody to KCNJ6
Specificity
The antibody detects endogenous levels of total KCNJ6 protein.
Applications
IHC
Reactivity
Human
Immunogen
Synthetic peptide corresponding to a region derived from internal residues of human potassium inwardly-rectifying channel, subfamily J, member 6
Host
Rabbit
Clonality
Polyclonal
Conjugate
Unconjugated
Purification
Antigen affinity purification.
Concentration
1.4 mg/mL
Formulation
Supplied in PBS, pH 7.3, containing 0.05% sodium azide and 50% glycerol.
Storage
Shipped at 4°C. Upon delivery aliquot and store at -20°C. Avoid freeze/thaw cycles.
Synonyms
BIR1, G protein-activated inward rectifier potassium channel 2, GIRK-2, Inward rectifier K(+) channel Kir3.2, KATP-2, KATP2, KCNJ7, Potassium channel, inwardly rectifying subfamily J member 6
Suitable Secondaries
Goat Anti-Rabbit IgG H&L Antibody (AP) (A294874)
Goat Anti-Rabbit IgG H&L Antibody (Biotin) (A294795)
Goat Anti-Rabbit IgG H&L Antibody (FITC) (A294887)
Goat Anti-Rabbit IgG H&L Antibody (HRP) (A294888)
See all Anti-Rabbit IgG Secondaries →
Disclaimer
This product is for research use only. It is not intended for diagnostic or therapeutic use.
Scientific Validation Data
Validation Data
(2)
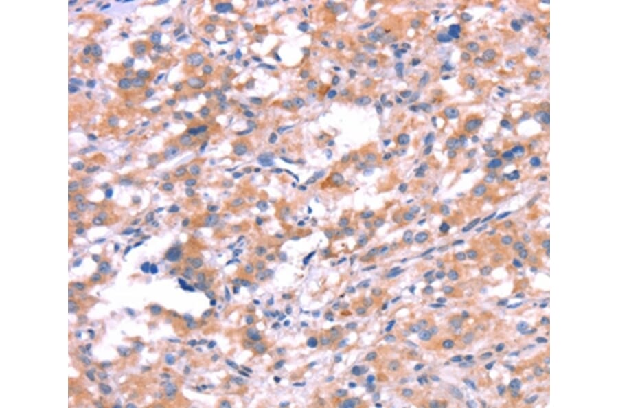
Enlarge Image
Immunohistochemistry - Anti-KCNJ6 Antibody (A46221)
Immunohistochemical analysis of paraffin-embedded Human gastric cancer tissue using #37593 at dilution 1/20.
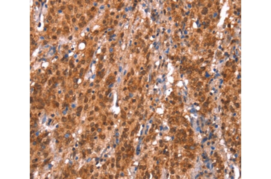
Enlarge Image
Immunohistochemistry - Anti-KCNJ6 Antibody (A46221)
Immunohistochemical analysis of paraffin-embedded Human thyroid cancer tissue using #37593 at dilution 1/20.
Publishing research using Anti-KCNJ6 Antibody (A46221)? Please
let us know
so that we can list the citation on this page.
Alternative products to Anti-KCNJ6 Antibody (A46221)
A54679
Anti-GIRK2 Antibody
Rabbit polyclonal antibody to GIRK2 for ELISA, IMM and WB.
A84397
Anti-GIRK2 Antibody
Goat polyclonal antibody to GIRK2 for ELISA and WB.
A12423
Anti-GIRK2 Antibody
Rabbit polyclonal antibody to GIRK2 for WB.
A315022
Anti-GIRK2 Antibody [KCNJ6/7557]
Mouse monoclonal [KCNJ6/7557] antibody to GIRK2 for IHC-P.
A315024
Anti-GIRK2 Antibody [KCNJ6/7559]
Mouse monoclonal [KCNJ6/7559] antibody to GIRK2 for IHC-P.
A315023
Anti-GIRK2 Antibody [KCNJ6/7558]
Mouse monoclonal [KCNJ6/7558] antibody to GIRK2 for IHC-P.
A316407
Anti-GIRK2 Antibody [KCNJ6/7558] - BSA and Azide free
Mouse monoclonal [KCNJ6/7558] antibody to GIRK2 for IHC-P.
A316406
Anti-GIRK2 Antibody [KCNJ6/7557] - BSA and Azide free
Mouse monoclonal [KCNJ6/7557] antibody to GIRK2 for IHC-P.
A316408
Anti-GIRK2 Antibody [KCNJ6/7559] - BSA and Azide free
Mouse monoclonal [KCNJ6/7559] antibody to GIRK2 for IHC-P.
A54679
Anti-GIRK2 Antibody
Rabbit polyclonal antibody to GIRK2 for ELISA, IMM and WB.
A84397
Anti-GIRK2 Antibody
Goat polyclonal antibody to GIRK2 for ELISA and WB.
A12423
Anti-GIRK2 Antibody
Rabbit polyclonal antibody to GIRK2 for WB.
A315022
Anti-GIRK2 Antibody [KCNJ6/7557]
Mouse monoclonal [KCNJ6/7557] antibody to GIRK2 for IHC-P.
A315024
Anti-GIRK2 Antibody [KCNJ6/7559]
Mouse monoclonal [KCNJ6/7559] antibody to GIRK2 for IHC-P.
A315023
Anti-GIRK2 Antibody [KCNJ6/7558]
Mouse monoclonal [KCNJ6/7558] antibody to GIRK2 for IHC-P.
A316407
Anti-GIRK2 Antibody [KCNJ6/7558] - BSA and Azide free
Mouse monoclonal [KCNJ6/7558] antibody to GIRK2 for IHC-P.
A316406
Anti-GIRK2 Antibody [KCNJ6/7557] - BSA and Azide free
Mouse monoclonal [KCNJ6/7557] antibody to GIRK2 for IHC-P.
A316408
Anti-GIRK2 Antibody [KCNJ6/7559] - BSA and Azide free
Mouse monoclonal [KCNJ6/7559] antibody to GIRK2 for IHC-P.
See all KCNJ6 Antibodies
Proteins predicted to interact with GIRK2
Predicted protein interactions based upon String database. Revelancy score correlates with probability of interaction.
GIRK1 Antibodies
99.8% Relevancy Score
KCNJ9 Antibodies
99.4% Relevancy Score
INCENP Antibodies
99% Relevancy Score
GABBR2 Antibodies
96.2% Relevancy Score
GABBR1 Antibodies
96% Relevancy Score
CDCA8 Antibodies
92.7% Relevancy Score
KCNJ5 Antibodies
92.4% Relevancy Score
PRKACB Antibodies
91.7% Relevancy Score
PRKACG Antibodies
91.6% Relevancy Score
Top