Primary Antibodies
Secondary Antibodies
Proteins & Peptides
ELISA Kits
About Us
Contact Us
Sign In/Register
0
ISO 9001:2015 Certified
Live Customer Support
4.5/5 on Trustpilot
100% Quality Guarantee
Home
Primary Antibodies
KCNQ5 Antibodies
Anti-KCNQ5 Antibody (A37942)
Anti-KCNQ5 Antibody (A37942)
Overview
Specifications
Images
Enlarge Image
Enlarge Image
$405
Rabbit polyclonal antibody to KCNQ5 for WB and IHC.
100% Guarantee
Price Match Guarantee
Product Size:
100µl
Quantity:
1
2
3
4
5
6
7
8
9
10
Add To Cart
Request a Quotation
Custom or Bulk Request
Shipping Information
Freight/Packing Charges:
$40
Dispatched from St. Louis, MO.
Lead Time: 6-9 business days.
Specifications
Name
Anti-KCNQ5 Antibody
Description
Rabbit polyclonal antibody to KCNQ5
Specificity
The antibody detects endogenous levels of total KCNQ5 protein.
Applications
WB
,
IHC
Reactivity
Human, Mouse
Immunogen
Fusion protein corresponding to residues near the C terminal of human potassium voltage-gated channel, KQT-like subfamily, member 5
Host
Rabbit
Clonality
Polyclonal
Conjugate
Unconjugated
Purification
Antigen affinity purification.
Concentration
1.4 mg/ml
Formulation
Rabbit IgG in pH7.3 PBS, 0.05% NaN3, 50% Glycerol.
Storage
Store at -20˚C
Synonyms
KQT-like 5, Potassium channel subunit alpha KvLQT5, Potassium voltage-gated channel subfamily KQT member 5, Voltage-gated potassium channel subunit Kv7.5
Suitable Secondaries
Goat Anti-Rabbit IgG H&L Antibody (AP) (A294874)
Goat Anti-Rabbit IgG H&L Antibody (Biotin) (A294795)
Goat Anti-Rabbit IgG H&L Antibody (FITC) (A294887)
Goat Anti-Rabbit IgG H&L Antibody (HRP) (A294888)
See all Anti-Rabbit IgG Secondaries →
Disclaimer
This product is for research use only. It is not intended for diagnostic or therapeutic use.
Scientific Validation Data
Validation Data
(2)
Enlarge Image
Anti-KCNQ5 Antibody (A37942)
Gel: 6%SDS-PAGE Lysates (from left to right): Mouse heart tissue Amount of lysate: 40ug per lane Primary antibody: 1/500 dilution Secondary antibody dilution: 1/8000 Exposure time: 1 minute
Enlarge Image
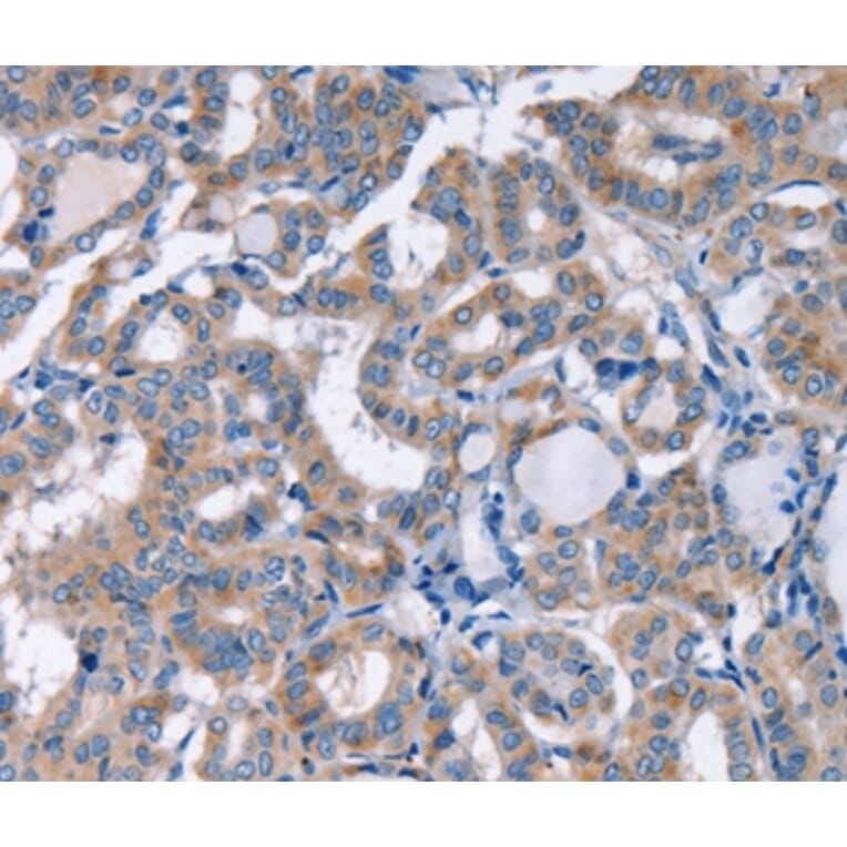
Immunohistochemistry - Anti-KCNQ5 Antibody (A37942)
Immunohistochemical analysis of paraffin-embedded Human thyroid cancer tissue using #36568 at dilution 1/30.
Publishing research using Anti-KCNQ5 Antibody (A37942)? Please
let us know
so that we can list the citation on this page.
Alternative products to Anti-KCNQ5 Antibody (A37942)
A99062
Anti-KCNQ5 Antibody
Rabbit polyclonal antibody to KCNQ5 for WB and ELISA.
A87744
Anti-KCNQ5 Antibody
Rabbit polyclonal antibody to KCNQ5 for WB.
A99061
Anti-KCNQ5 Antibody
Rabbit polyclonal antibody to KCNQ5 for WB and ELISA.
A42292
Anti-KCNQ5 Antibody
Rabbit polyclonal antibody to KCNQ5 for WB.
A42676
Anti-KCNQ5 Antibody
Rabbit polyclonal antibody to KCNQ5 for WB.
A99062
Anti-KCNQ5 Antibody
Rabbit polyclonal antibody to KCNQ5 for WB and ELISA.
A87744
Anti-KCNQ5 Antibody
Rabbit polyclonal antibody to KCNQ5 for WB.
A99061
Anti-KCNQ5 Antibody
Rabbit polyclonal antibody to KCNQ5 for WB and ELISA.
A42292
Anti-KCNQ5 Antibody
Rabbit polyclonal antibody to KCNQ5 for WB.
A42676
Anti-KCNQ5 Antibody
Rabbit polyclonal antibody to KCNQ5 for WB.
See all KCNQ5 Antibodies
Proteins predicted to interact with KCNQ5
Predicted protein interactions based upon String database. Revelancy score correlates with probability of interaction.
KCNQ3 Antibodies
99.8% Relevancy Score
KCNQ2 Antibodies
99.6% Relevancy Score
KCNQ4 Antibodies
97.5% Relevancy Score
KCNQ1 Antibodies
97.2% Relevancy Score
Kir2.2 Antibodies
93.6% Relevancy Score
Kir2.1 Antibodies
92.9% Relevancy Score
KIR2.3 Antibodies
92.5% Relevancy Score
NCALD Antibodies
91.2% Relevancy Score
FAU Antibodies
91.1% Relevancy Score
Top