Immunocytochemistry/Immunofluorescence analysis of human neuroblastoma cells (SH-SY5Y), fixed in 4% PFA for 15 min, using Anti-KCNT1 / SLACK Antibody [N3/26] (A304785), at 1:50 for overnight at 4°C with slow rocking. The secondary antibody used was AlexaFluor 488 at 1:1,000 for 1 hour at room temperature. Counterstain: Phalloidin-iFluor 647 (red) F-Actin stain; Hoechst (blue) nuclear stain at 1:800, 1.6mM for 20 minutes at room temperature.(A) Hoechst (blue) nuclear stain. (B) Phalloidin-iFluor 647 (red) F-Actin stain. (C) Slo2.2 Antibody (D) Composite.
Immunohistochemistry analysis of mouse backskin, fixed in Bouin's fixative solution and paraffin-embedded. The Primary Antibody used was Anti-KCNT1 / SLACK Antibody [N3/26] (A304785) at 1:100 for 1 hour at room temperature. The secondary antibody used was FITC Goat Anti-Mouse (green) at 1:50 for 1 hour at room temperature. Localization: Suprabasal epidermal staining. Hair follicles negative.
Western Blot - Anti-KCNT1 / SLACK Antibody [N3/26] (A304785)
Western blot analysis of rat brain membrane lysate showing detection of Slo2.2 Potassium Channel protein using Anti-KCNT1 / SLACK Antibody [N3/26] (A304785) at 1:1,000 for 2 hours at room temperature. Load: 15 µg. Block: 1.5% BSA for 30 minutes at room temperature. The secondary antibody used was Sheep Anti-Mouse IgG: HRP for 1 hour at room temperature.
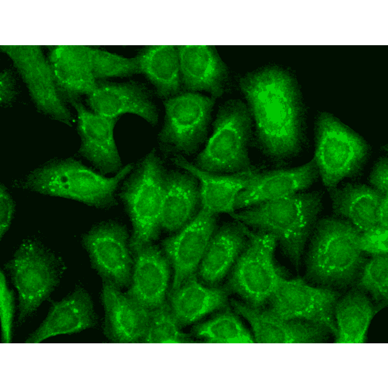
Immunocytochemistry/Immunofluorescence analysis of human HaCaT cells, fixed in cold 100% methanol for 10 minutes at -20°C, using Anti-KCNT1 / SLACK Antibody [N3/26] (A304785), at 1:100 for 1 hour at room temperature. The secondary antibody used was FITC Goat Anti-Mouse (green) at 1:50 for 1 hour at room temperature. Localization: Dotty staining around nucleus and some in cytoplasm.
Publishing research using Anti-KCNT1 / SLACK Antibody [N3/26] (A304785)? Please let us know so that we can list the citation on this page.