Primary Antibodies
Secondary Antibodies
Proteins & Peptides
ELISA Kits
About Us
Contact Us
Sign In/Register
0
ISO 9001:2015 Certified
Live Customer Support
4.5/5 on Trustpilot
100% Quality Guarantee
Home
Primary Antibodies
KCTD15 Antibodies
Anti-KCTD15 Antibody (A47612)
Anti-KCTD15 Antibody (A47612)
Overview
Specifications
Images
Enlarge Image
Enlarge Image
$780
Product Datasheet
Rabbit polyclonal antibody to KCTD15 for ELISA, WB and IHC.
100% Guarantee
Price Match Guarantee
Product Size:
100µl
Quantity:
1
2
3
4
5
6
7
8
9
10
Add To Cart
Request a Quotation
Custom or Bulk Request
Shipping Information
Freight/Packing Charges:
$40
Dispatched from St. Louis, MO.
Lead Time: 6-9 business days.
Specifications
Name
Anti-KCTD15 Antibody
Description
Rabbit polyclonal antibody to KCTD15
Applications
ELISA
,
WB
,
IHC
Reactivity
Human, Mouse, Rat
Immunogen
Raised against a 16 amino acid peptide near the carboxy terminus of human KCTD15.
Host
Rabbit
Clonality
Polyclonal
Conjugate
Unconjugated
Purification
Affinity chromatography purified via peptide column
Formulation
Supplied in phosphate-buffered saline with 0.02% Sodium Azide.
Storage
Shipped at 4°C. Upon delivery aliquot and store at -20°C. Avoid freeze/thaw cycles.
Synonyms
BTB/POZ domain-containing protein KCTD15, Potassium channel tetramerization domain-containing protein 15
Suitable Secondaries
Goat Anti-Rabbit IgG H&L Antibody (AP) (A294874)
Goat Anti-Rabbit IgG H&L Antibody (Biotin) (A294795)
Goat Anti-Rabbit IgG H&L Antibody (FITC) (A294887)
Goat Anti-Rabbit IgG H&L Antibody (HRP) (A294888)
See all Anti-Rabbit IgG Secondaries →
Disclaimer
This product is for research use only. It is not intended for diagnostic or therapeutic use.
Scientific Validation Data
Validation Data
(2)
Enlarge Image
Anti-KCTD15 Antibody (A47612)
Western blot analysis of KCTD15 in human spleen tissue lysate with KCTD15 antibody at (A) 0.5 and (B) 1 µg/mL.
Enlarge Image
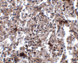
Immunohistochemistry - Anti-KCTD15 Antibody (A47612)
Immunohistochemistry of KCTD15 in human spleen tissue with KCTD15 antibody at 2.5 µg/mL.
Publishing research using Anti-KCTD15 Antibody (A47612)? Please
let us know
so that we can list the citation on this page.
Alternative products to Anti-KCTD15 Antibody (A47612)
A113459
Anti-KCTD15 Antibody [PAT2B11AT]
Mouse monoclonal [PAT2B11AT] antibody to KCTD15 for ELISA, WB, Flow Cytometry and ICC/IF.
A58149
Anti-KCTD15 Antibody [PAT4C3AT]
Mouse monoclonal [PAT4C3AT] antibody to KCTD15 for ELISA, WB and IF.
A113459
Anti-KCTD15 Antibody [PAT2B11AT]
Mouse monoclonal [PAT2B11AT] antibody to KCTD15 for ELISA, WB, Flow Cytometry and ICC/IF.
A58149
Anti-KCTD15 Antibody [PAT4C3AT]
Mouse monoclonal [PAT4C3AT] antibody to KCTD15 for ELISA, WB and IF.
Proteins predicted to interact with KCTD15
Predicted protein interactions based upon String database. Revelancy score correlates with probability of interaction.
TMEM18 Antibodies
95.6% Relevancy Score
GNPDA2 Antibodies
95.5% Relevancy Score
NEGR1 Antibodies
93.3% Relevancy Score
MTCH2 Antibodies
91.9% Relevancy Score
SH2B1 Antibodies
91.7% Relevancy Score
MC4R Antibodies
90.7% Relevancy Score
FTO Antibodies
86.6% Relevancy Score
TFAP2A Antibodies
86.3% Relevancy Score
UBC9 Antibodies
85.6% Relevancy Score
Top