ISO 9001:2015 Certified
Live Customer Support
4.5/5 on Trustpilot
100% Quality Guarantee

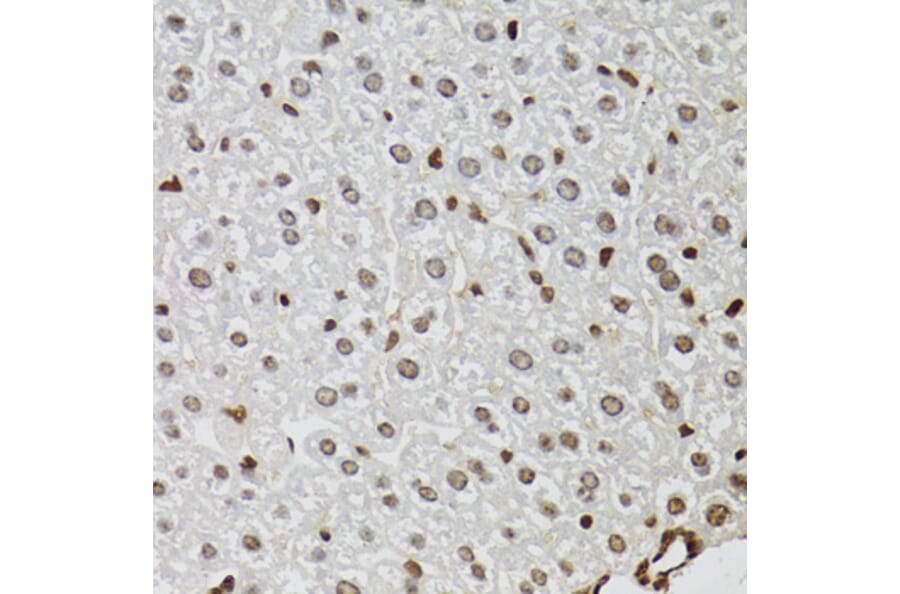
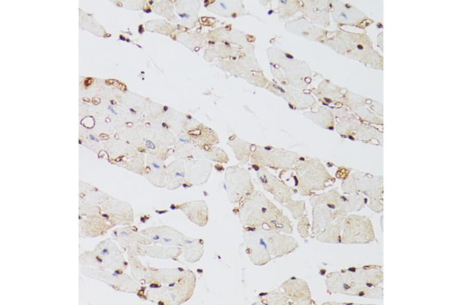
Anti-KDM4A/JHDM3A/JMJD2A Antibody (A16001)

Rabbit polyclonal antibody to KDM4A/JHDM3A/JMJD2A for WB, IHC and IP.

Shipping Information

$40
Dispatched from St. Louis, MO.
Lead Time: 7-10 business days.
Name
Anti-KDM4A/JHDM3A/JMJD2A Antibody
Description
Rabbit polyclonal antibody to KDM4A/JHDM3A/JMJD2A.
Applications
WB, IHC, IP
Dilutions
WB: 1:500-1:2,000, IHC: 1:50-1:200, IP: 1:50-1:100
Reactivity
Human, Mouse
Immunogen
Recombinant fusion protein containing a sequence corresponding to amino acids 585-815 of human KDM4A (NP_055478.2).
Sequence
FSLEENKKSKGRRQPLSKLPRHHPLVLQECVSDDETSEQLTPEEEAEETEAWAKPLSQLWQNRPPNFEAEKEFNETMAQQAPHCAVCMIFQTYHQVEFGGFNQNCGNASDLAPQKQRTKPLIPEMCFTSTGCSTDINLSTPYLEEDGTSILVSCKKCSVRVHASCYGVPPAKASEDWMCSRCSANALEEDCCLCSLRGGALQRANDDRWVHVSCAVAILEARFVNIAERSP
Host
Rabbit
Clonality
Polyclonal
Isotype
IgG
Conjugate

Unconjugated

Purification
Affinity purification.
Concentration
Lot Specific
Molecular Weight
150 kDa
Product Form
Liquid
Formulation
Supplied in Phosphate Buffered Saline, pH 7.3, with 50% Glycerol and 0.02% Sodium Azide.
Storage
Shipped at 4°C. Upon delivery aliquot and store at -20°C. Avoid freeze/thaw cycles.
Disclaimer
This product is for research use only. It is not intended for diagnostic or therapeutic use.
Publishing research using Anti-KDM4A/JHDM3A/JMJD2A Antibody (A16001)? Please let us know so that we can list the citation on this page.