ISO 9001:2015 Certified
Live Customer Support
4.5/5 on Trustpilot
100% Quality Guarantee

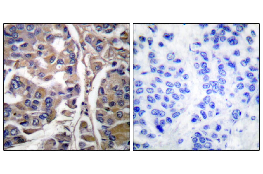
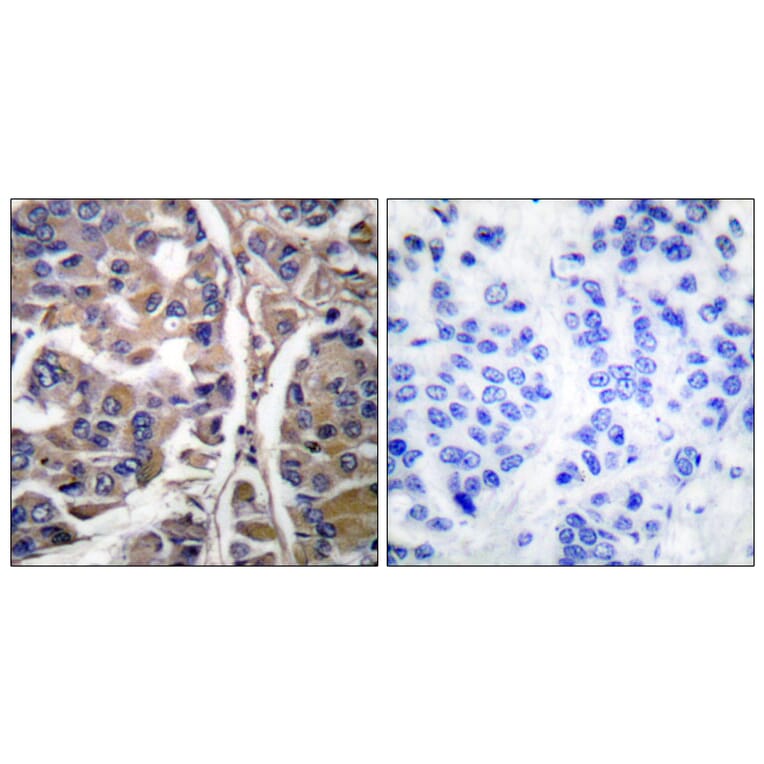
Anti-Keratin 20 Antibody (A95068)

Rabbit polyclonal antibody to Keratin 20 for WB, IHC, IF and ELISA.

Shipping Information

$40
Dispatched from St. Louis, MO.
Lead Time: 6-8 business days.
Name
Anti-Keratin 20 Antibody
Description
Rabbit polyclonal antibody to Keratin 20.
Applications
WB, IHC, IF, ELISA
Dilutions
WB: 1:500~1:1000, IHC: 1:50~1:100, ELISA: 1:10000
Reactivity
Human, Mouse, Rat
Cross Reactivity
No reported cross-reactivity.
Immunogen
Synthetic peptide derived from human Keratin 20 (amino acids 375-424).
Host
Rabbit
Clonality
Polyclonal
Isotype
IgG
Conjugate

Unconjugated

Purification
Purified from rabbit serum by antigen affinity chromatography using the immunizing peptide.
Molecular Weight
48kDa
Product Form
Liquid
Formulation
Supplied in Phosphate Buffered Saline (without Mg2+ and Ca2+), pH 7.4, with 150mM NaCl, 0.02% Sodium Azide, and 50% Glycerol.
Storage
Shipped at 4°C. Upon delivery aliquot and store at -20°C. Avoid freeze / thaw cycles.
Synonyms
CK-20, Cytokeratin-20, K20, Keratin, type I cytoskeletal 20, Keratin-20, KRT20, Protein IT
Disclaimer
This product is for research use only. It is not intended for diagnostic or therapeutic use.
Publishing research using Anti-Keratin 20 Antibody (A95068)? Please let us know so that we can list the citation on this page.

Alternative products to Anti-Keratin 20 Antibody (A95068)

Proteins predicted to interact with Cytokeratin 20

Predicted protein interactions based upon String database. Revelancy score correlates with probability of interaction.
92.4% Relevancy Score
87% Relevancy Score
86.9% Relevancy Score
84.1% Relevancy Score
84% Relevancy Score
82.1% Relevancy Score
81.1% Relevancy Score
79.8% Relevancy Score
77.6% Relevancy Score