ISO 9001:2015 Certified
Live Customer Support
4.5/5 on Trustpilot
100% Quality Guarantee

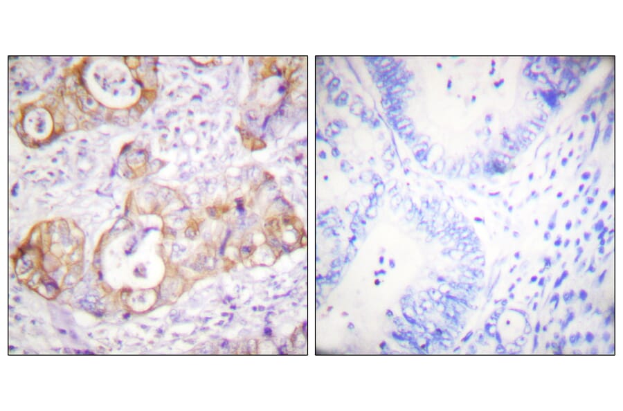
Anti-Keratin 8 (phospho Ser432) Antibody (A94572)

Rabbit polyclonal antibody to Keratin 8 (phospho Ser432) for WB, IHC, IF and ELISA.

Shipping Information

$40
Dispatched from St. Louis, MO.
Lead Time: 6-8 business days.
Name
Anti-Keratin 8 (phospho Ser432) Antibody
Description
Rabbit polyclonal antibody to Keratin 8 (phospho Ser432).
Specificity
This antibody detects endogenous levels of Keratin 8 only when phosphorylated at Ser432.
Applications
WB, IHC, IF, ELISA
Dilutions
WB: 1:500~1:1000, IHC: 1:50~1:100, ELISA: 1:20000
Reactivity
Human, Mouse, Rat
Cross Reactivity
No reported cross-reactivity.
Immunogen
Synthetic peptide derived from human Keratin 8 around the phosphorylation site of Ser432 (amino acids 401-450).
Host
Rabbit
Clonality
Polyclonal
Isotype
IgG
Conjugate

Unconjugated

Purification
Purified from rabbit serum by antigen affinity chromatography using the immunizing phospho peptide.
Molecular Weight
53kDa
Product Form
Liquid
Formulation
Supplied in Phosphate Buffered Saline (without Mg2+ and Ca2+), pH 7.4, with 150mM NaCl, 0.02% Sodium Azide, and 50% Glycerol.
Storage
Shipped at 4°C. Upon delivery aliquot and store at -20°C. Avoid freeze / thaw cycles.
Synonyms
CK-8, CYK8, Cytokeratin-8, K8, Keratin, type II cytoskeletal 8, Keratin-8, KRT8, Type-II keratin Kb8
Disclaimer
This product is for research use only. It is not intended for diagnostic or therapeutic use.
Publishing research using Anti-Keratin 8 (phospho Ser432) Antibody (A94572)? Please let us know so that we can list the citation on this page.

Alternative products to Anti-Keratin 8 (phospho Ser432) Antibody (A94572)

Proteins predicted to interact with Cytokeratin 8

Predicted protein interactions based upon String database. Revelancy score correlates with probability of interaction.
99.9% Relevancy Score
86.9% Relevancy Score
84.5% Relevancy Score
82.6% Relevancy Score
79.8% Relevancy Score
79.6% Relevancy Score
79.1% Relevancy Score
78.3% Relevancy Score
76.3% Relevancy Score