ISO 9001:2015 Certified
Live Customer Support
4.5/5 on Trustpilot
100% Quality Guarantee

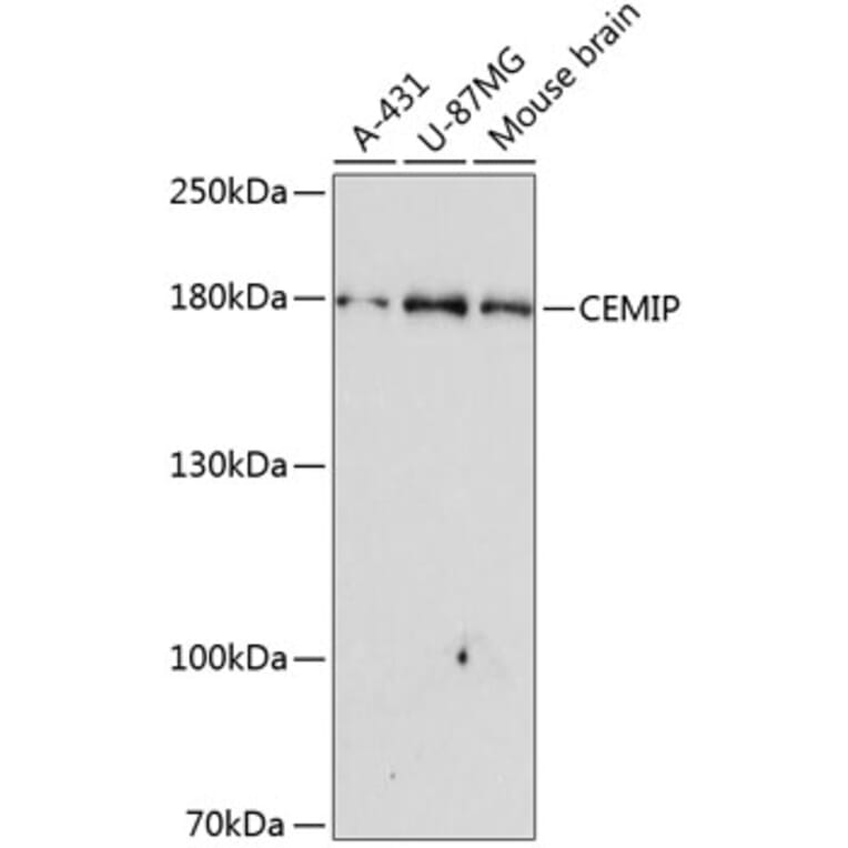
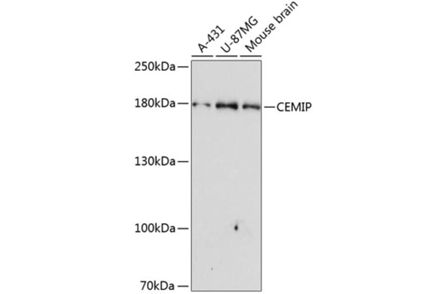
Anti-KIAA1199 Antibody (A10464)

This product is discontinued

Anti-KIAA1199 Antibody (A10464) has been discontinued and is no longer available.

View all available products.

Name
Anti-KIAA1199 Antibody
Description
Rabbit polyclonal antibody to KIAA1199.
Applications
WB
Dilutions
WB: 1:500-1:2,000
Reactivity
Human, Mouse
Immunogen
Recombinant fusion protein containing a sequence corresponding to amino acids 180-420 of human CEMIP (NP_061159.1).
Sequence
FERSWGHRGVIVHVIDPKSGTVIHSDRFDTYRSKKESERLVQYLNAVPDGRILSVAVNDEGSRNLDDMARKAMTKLGSKHFLHLGFRHPWSFLTVKGNPSSSVEDHIEYHGHRGSAAARVFKLFQTEHGEYFNVSLSSEWVQDVEWTEWFDHDKVSQTKGGEKISDLWKAHPGKICNRPIDIQATTMDGVNLSTEVVYKKGQDYRFACYDRGRACRSYRVRFLCGKPVRPKLTVTIDTNVN
Host
Rabbit
Clonality
Polyclonal
Isotype
IgG
Conjugate

Unconjugated

Purification
Affinity purification.
Molecular Weight
180 kDa
Product Form
Liquid
Formulation
Supplied in Phosphate Buffered Saline, pH 7.3, with 50% Glycerol and 0.01% Thiomersal.
Storage
Shipped at 4°C. Upon delivery aliquot and store at -20°C. Avoid freeze / thaw cycles.
Synonyms
Cell migration-inducing and hyaluronan-binding protein, Hyaluronan binding protein involved in hyaluronan depolymerization, HYBID
Disclaimer
This product is for research use only. It is not intended for diagnostic or therapeutic use.

Proteins predicted to interact with CEMIP

Predicted protein interactions based upon String database. Revelancy score correlates with probability of interaction.
62.9% Relevancy Score
62.8% Relevancy Score
61.3% Relevancy Score
60.8% Relevancy Score
53.8% Relevancy Score
49.4% Relevancy Score
49.2% Relevancy Score
49% Relevancy Score