ISO 9001:2015 Certified
Live Customer Support
4.5/5 on Trustpilot
100% Quality Guarantee

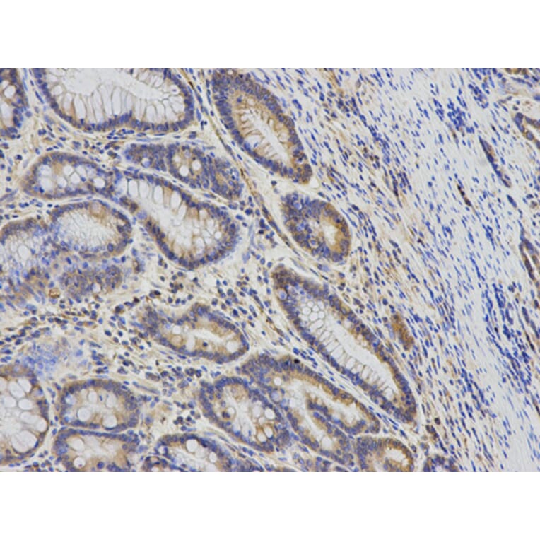
Anti-KIF2C Antibody (A30786)

$435

Rabbit polyclonal antibody to KIF2C for WB, IHC and IF.

Shipping Information

$40
Dispatched from St. Louis, MO.
Lead Time: 7-10 business days.
Name
Anti-KIF2C Antibody
Description
Rabbit polyclonal antibody to KIF2C
Specificity
KIF2C pAb detects endogenous levels of KIF2C protein.
Applications
WB, IHC, IF
Reactivity
Human, Mouse, Rat
Immunogen
Recombinant full length Human KIF2C.
Host
Rabbit
Clonality
Polyclonal
Conjugate

Unconjugated

Molecular Weight
~81 kDa
Purity
The antibody was affinity-purified from rabbit antiserum by affinity-chromatography using epitope-specific immunogen and the purity is > 95% (by SDS-PAGE).
Product Form
1mg/ml in PBS with 0.1% Sodium Azide, 50% Glycerol.
Synonyms
Kinesin-like protein 6, Kinesin-like protein KIF2C, KNSL6, Mitotic centromere-associated kinesin
Disclaimer
This product is for research use only. It is not intended for diagnostic or therapeutic use.
Publishing research using Anti-KIF2C Antibody (A30786)? Please let us know so that we can list the citation on this page.

Alternative products to Anti-KIF2C Antibody (A30786)

Proteins predicted to interact with MCAK

Predicted protein interactions based upon String database. Revelancy score correlates with probability of interaction.
99.9% Relevancy Score
99.6% Relevancy Score
99.5% Relevancy Score
99.4% Relevancy Score
99.4% Relevancy Score
99.1% Relevancy Score
98.8% Relevancy Score
98.6% Relevancy Score
98.5% Relevancy Score