ISO 9001:2015 Certified
Live Customer Support
4.5/5 on Trustpilot
100% Quality Guarantee

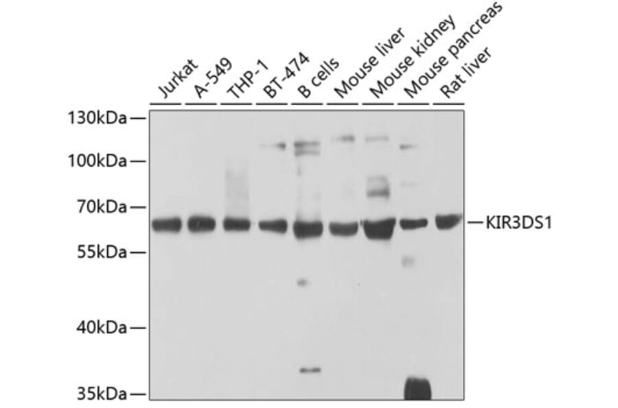
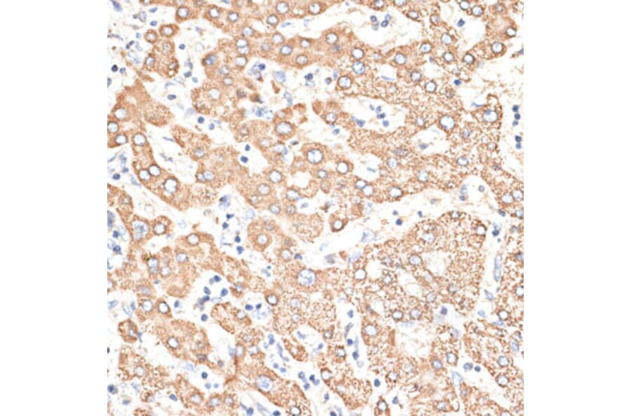
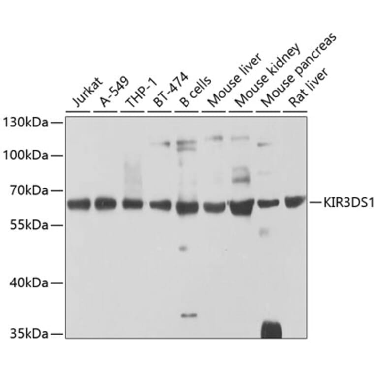
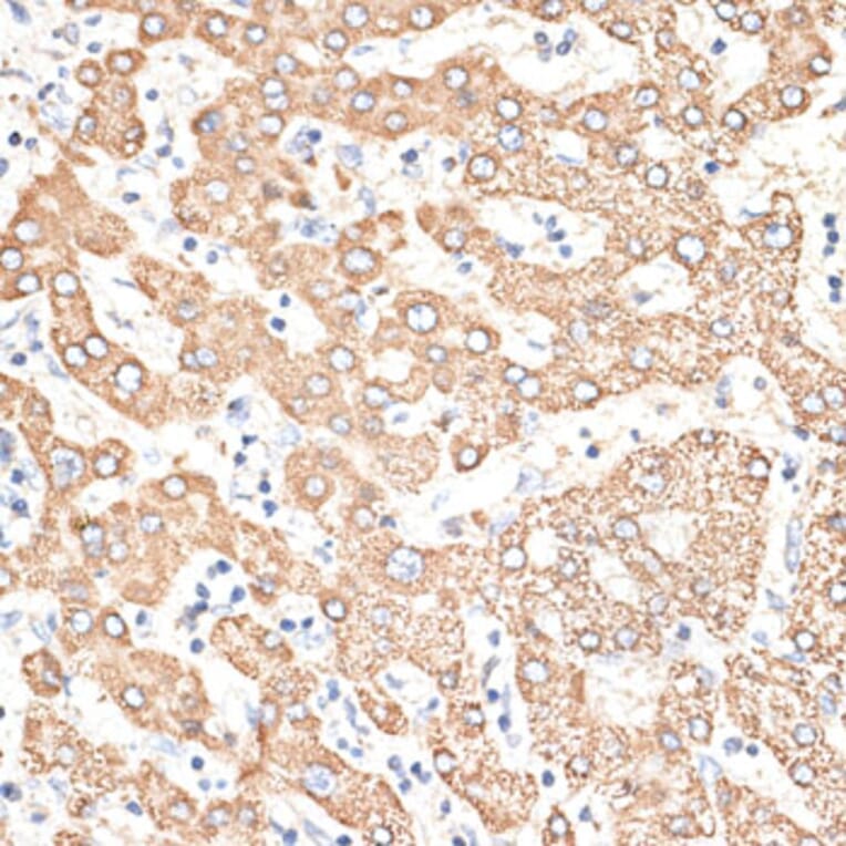
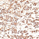
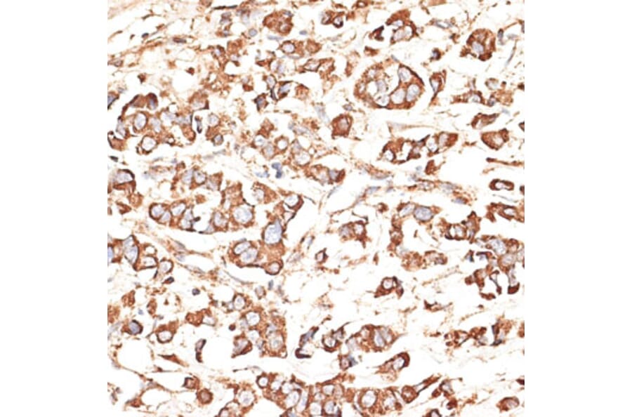
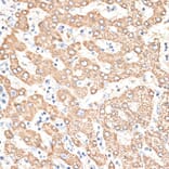
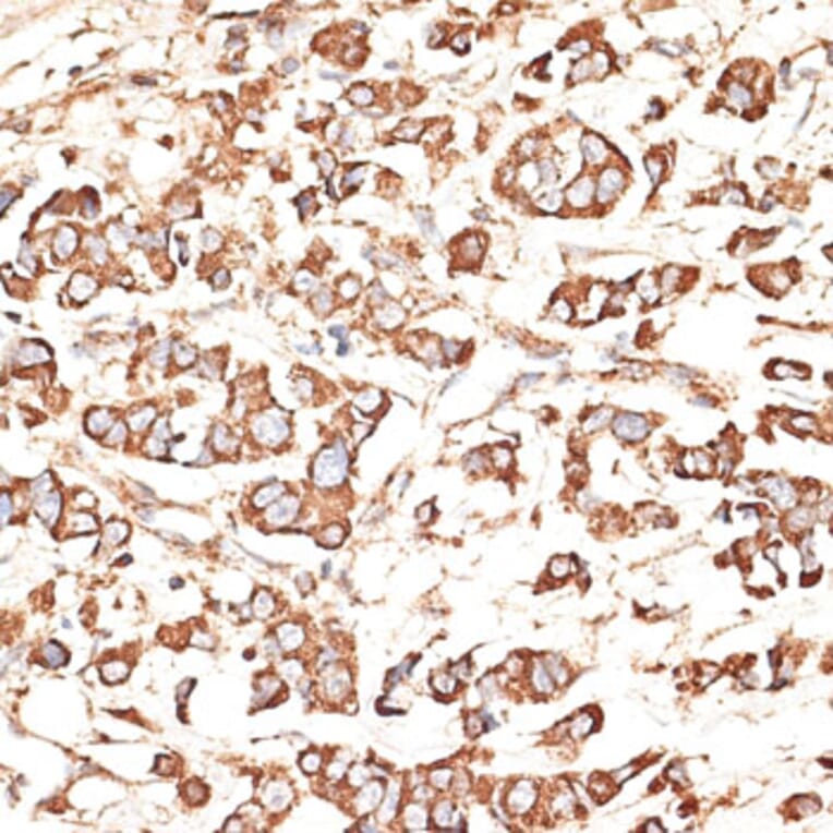
Anti-KIR3DS1 Antibody (A16377)

Rabbit polyclonal antibody to KIR3DS1 for WB and IHC.

Shipping Information

$40
Dispatched from St. Louis, MO.
Lead Time: 7-10 business days.
Name
Anti-KIR3DS1 Antibody
Description
Rabbit polyclonal antibody to KIR3DS1.
Applications
WB, IHC
Dilutions
WB: 1:500-1:2,000, IHC: 1:50-1:200
Reactivity
Human, Mouse, Rat
Immunogen
Recombinant fusion protein containing a sequence corresponding to amino acids 80-340 of human KIR3DS1 (NP_001077008.1).
Sequence
FNMSPVTTAHAGNYTCRGSHPHSPTGWSAPSNPMVIMVTGNHRKPSLLAHPGPLVKSGERVILQCWSDIMFEHFFLHKEWISKDPSRLVGQIHDGVSKANFSIGSMMRALAGTYRCYGSVTHTPYQLSAPSDPLDIVVTGLYEKPSLSAQPGPKVQAGESVTLSCSSRSSYDMYHLSREGGAHERRLPAVRKVNRTFQADFPLGPATHGGTYRCFGSFRHSPYEWSDPSDPLLVSVTGNPSSSWPSPTEPSSKSGNLRHLH
Host
Rabbit
Clonality
Polyclonal
Isotype
IgG
Conjugate

Unconjugated

Purification
Affinity purification.
Concentration
Lot Specific
Molecular Weight
60 kDa
Product Form
Liquid
Formulation
Supplied in Phosphate Buffered Saline, pH 7.3, with 50% Glycerol and 0.02% Sodium Azide.
Storage
Shipped at 4°C. Upon delivery aliquot and store at -20°C. Avoid freeze/thaw cycles.
Synonyms
AMB11, CD158 antigen-like family member E, CD158e, CD158e antigen, CD158E1, CD158E1/2, CD158E2, CL11, CL2, HLA-BW4-specific inhibitory NK cell receptor, KI3L1_HUMAN, killer cell immunoglobulin like receptor, Killer cell immunoglobulin like receptor three domains , short cytoplasmic tail, 1, Killer cell immunoglobulin like receptor three domains long cytoplasmic tail 1, Killer cell immunoglobulin-like receptor 3DL1, KIR, KIR antigen 3DL1, KIR G1, KIR3DL1, Kirl1, Kirl2, Krl1, MGC119726, MGC119728, MGC126589, MGC126591, MHC class I NK cell receptor, Natural killer associated transcript 3, Natural killer cell inhibitory receptor, Natural killer-associated transcript 3, NK receptor, NK-associated transcript 10, NK-associated transcript 3, NK-associated transcript 3delIg1, NKAT-3, NKAT10, NKAT3, NKB1, NKB1B, p70 killer cell inhibitory receptor, p70 natural killer cell receptor clones CL 2/CL 11, p70 natural killer cell receptor clones CL-2/CL-11, p70 NK receptor CL-2/CL-11
Disclaimer
This product is for research use only. It is not intended for diagnostic or therapeutic use.
Publishing research using Anti-KIR3DS1 Antibody (A16377)? Please let us know so that we can list the citation on this page.