ISO 9001:2015 Certified
Live Customer Support
4.5/5 on Trustpilot
100% Quality Guarantee

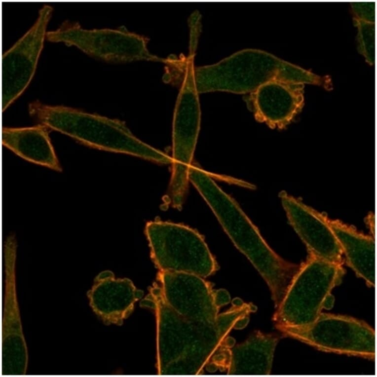
Anti-KLF12 Antibody [PCRP-KLF12-1E3] - BSA and Azide free (A278129)

Mouse monoclonal [PCRP-KLF12-1E3] antibody to KLF12 for IP, Flow Cytometry and IF.

Alternative Formats and ConjugatesAlternative Formats

Shipping Information

$40
Dispatched from St. Louis, MO.
Lead Time: 5-8 business days.
Name
Anti-KLF12 Antibody [PCRP-KLF12-1E3] - BSA and Azide free
Description
Mouse monoclonal [PCRP-KLF12-1E3] antibody to KLF12.
Specificity
Activator protein-2 alpha (AP-2 alpha) is a developmentally-regulated transcription factor and important regulator of gene expression during vertebrate development and carcinogenesis. The protein encoded by this gene is a member of the Kruppel-like zinc finger protein family and can repress expression of the AP-2 alpha gene by binding to a specific site in the AP-2 alpha gene promoter. Repression by the encoded protein requires binding with a corepressor, CtBP1. Two transcript variants encoding different isoforms have been found for this gene.
Applications
IP, Flow Cytometry, IF
Dilutions
IP: 1-2µg / 100-500µg proteins, Flow Cytometry: 1-2 µg/million cells, IF: 1-2 µg/ml
Reactivity
Human
Cross Reactivity
This antibody is predicted to cross react with Mouse and Rat.
Immunogen
Recombinant full-length human KLF12 protein.
Host
Mouse
Clonality
Monoclonal
Clone ID
PCRP-KLF12-1E3
Isotype
IgG1
Conjugate

Unconjugated

Purification
Protein A/G chromatography.
Concentration
1 mg/ml
Molecular Weight
44.24 kDa
Product Form
Liquid
Formulation
Supplied in 10mM Phosphate Buffered Saline; without Sodium Azide and carrier free.
Storage
Shipped at 4°C. Upon delivery aliquot and store at -20°C. Avoid freeze / thaw cycles.
General Notes
This monoclonal antibody is also available in a different formulation with BSA and Sodium Azide - Anti-KLF12 Antibody [PCRP-KLF12-1E3] (A277541).
Synonyms
AP2REP, Krueppel-like factor 12, Transcriptional repressor AP-2rep
Disclaimer
This product is for research use only. It is not intended for diagnostic or therapeutic use.
Publishing research using Anti-KLF12 Antibody [PCRP-KLF12-1E3] - BSA and Azide free (A278129)? Please let us know so that we can list the citation on this page.

Alternative products to Anti-KLF12 Antibody [PCRP-KLF12-1E3] - BSA and Azide free (A278129)

Proteins predicted to interact with KLF12

Predicted protein interactions based upon String database. Revelancy score correlates with probability of interaction.
78.1% Relevancy Score
61.8% Relevancy Score
59.6% Relevancy Score
55% Relevancy Score
52.7% Relevancy Score
47.3% Relevancy Score
45.7% Relevancy Score
45.1% Relevancy Score