Primary Antibodies
Secondary Antibodies
Proteins & Peptides
ELISA Kits
About Us
Contact Us
Sign In/Register
0
ISO 9001:2015 Certified
Live Customer Support
4.5/5 on Trustpilot
100% Quality Guarantee
Home
Primary Antibodies
KLF15 Antibodies
Anti-KLF15 Antibody (A45903)
Anti-KLF15 Antibody (A45903)
Overview
Specifications
Images
Enlarge Image
Enlarge Image
$430
Product Datasheet
Rabbit polyclonal antibody to KLF15 for IHC.
100% Guarantee
Price Match Guarantee
Product Size:
100µl
Quantity:
1
2
3
4
5
6
7
8
9
10
Add To Cart
Request a Quotation
Custom or Bulk Request
Shipping Information
Freight/Packing Charges:
$40
Dispatched from St. Louis, MO.
Lead Time: 6-9 business days.
Specifications
Name
Anti-KLF15 Antibody
Description
Rabbit polyclonal antibody to KLF15
Specificity
The antibody detects endogenous levels of total KLF15 protein.
Applications
IHC
Reactivity
Human
Immunogen
Fusion protein corresponding to residues near the N terminal of human Kruppel-like factor 15
Host
Rabbit
Clonality
Polyclonal
Conjugate
Unconjugated
Purification
Antigen affinity purification.
Concentration
1.3 mg/mL
Formulation
Supplied in PBS, pH 7.3, containing 0.05% sodium azide and 50% glycerol.
Storage
Shipped at 4°C. Upon delivery aliquot and store at -20°C. Avoid freeze/thaw cycles.
Synonyms
Kidney-enriched krueppel-like factor, KKLF, Krueppel-like factor 15
Suitable Secondaries
Goat Anti-Rabbit IgG H&L Antibody (AP) (A294874)
Goat Anti-Rabbit IgG H&L Antibody (Biotin) (A294795)
Goat Anti-Rabbit IgG H&L Antibody (FITC) (A294887)
Goat Anti-Rabbit IgG H&L Antibody (HRP) (A294888)
See all Anti-Rabbit IgG Secondaries →
Disclaimer
This product is for research use only. It is not intended for diagnostic or therapeutic use.
Scientific Validation Data
Validation Data
(2)
Enlarge Image
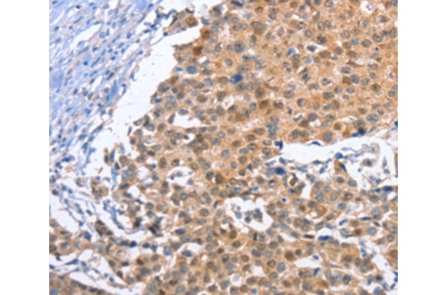
Immunohistochemistry - Anti-KLF15 Antibody (A45903)
Immunohistochemical analysis of paraffin-embedded Human liver cancer tissue using #35794 at dilution 1/30.
Enlarge Image
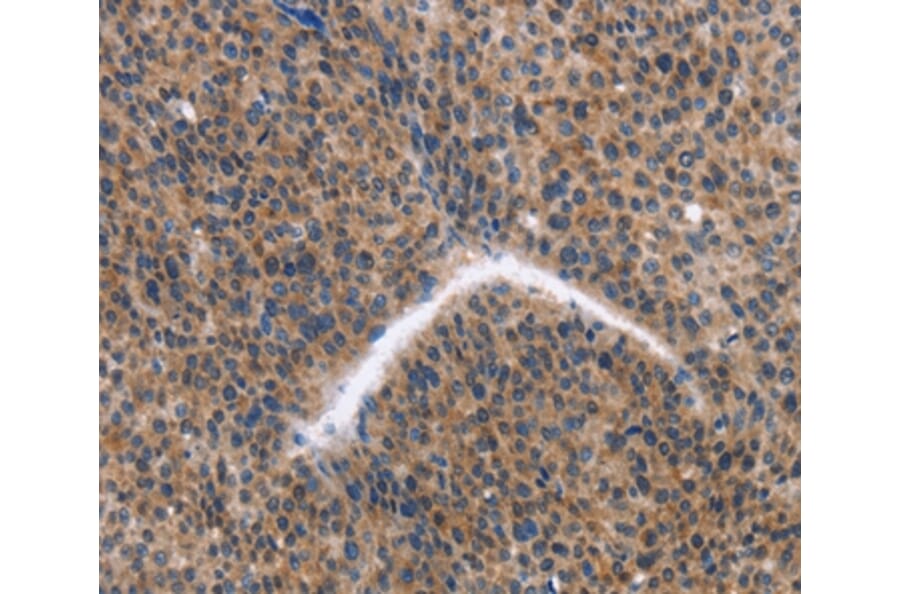
Immunohistochemistry - Anti-KLF15 Antibody (A45903)
Immunohistochemical analysis of paraffin-embedded Human breast cancer tissue using #35794 at dilution 1/30.
Publishing research using Anti-KLF15 Antibody (A45903)? Please
let us know
so that we can list the citation on this page.
Alternative products to Anti-KLF15 Antibody (A45903)
(2)
A83845
Anti-KLF15 Antibody
Goat polyclonal antibody to KLF15 for ELISA, WB and Flow Cytometry.
A92059
Anti-KLF15 Antibody
Rabbit polyclonal antibody to KLF15 for ICC/IF.
A10081
Anti-KLF15 Antibody
Rabbit polyclonal antibody to KLF15 for WB.
(2)
A83845
Anti-KLF15 Antibody
Goat polyclonal antibody to KLF15 for ELISA, WB and Flow Cytometry.
A92059
Anti-KLF15 Antibody
Rabbit polyclonal antibody to KLF15 for ICC/IF.
A10081
Anti-KLF15 Antibody
Rabbit polyclonal antibody to KLF15 for WB.
Proteins predicted to interact with KLF15
Predicted protein interactions based upon String database. Revelancy score correlates with probability of interaction.
PODXL2 Antibodies
84.3% Relevancy Score
BMAL1 Antibodies
80.1% Relevancy Score
CLCNKA Antibodies
79.7% Relevancy Score
Plexin D1 Antibodies
77.5% Relevancy Score
MEF2A Antibodies
75.6% Relevancy Score
p300 Antibodies
71.6% Relevancy Score
PPAR alpha Antibodies
68.4% Relevancy Score
Plexin A1 Antibodies
65.8% Relevancy Score
CLOCK Antibodies
63.8% Relevancy Score
Top