Primary Antibodies
Secondary Antibodies
Proteins & Peptides
ELISA Kits
About Us
Contact Us
Sign In/Register
0
ISO 9001:2015 Certified
Live Customer Support
4.5/5 on Trustpilot
100% Quality Guarantee
Home
Primary Antibodies
KLF17 Antibodies
Anti-KLF17 Antibody (A45956)
Anti-KLF17 Antibody (A45956)
Overview
Specifications
Images
Enlarge Image
Enlarge Image
$430
Product Datasheet
Rabbit polyclonal antibody to KLF17 for IHC.
100% Guarantee
Price Match Guarantee
Product Size:
100µl
Quantity:
1
2
3
4
5
6
7
8
9
10
Add To Cart
Request a Quotation
Custom or Bulk Request
Shipping Information
Freight/Packing Charges:
$40
Dispatched from St. Louis, MO.
Lead Time: 6-9 business days.
Specifications
Name
Anti-KLF17 Antibody
Description
Rabbit polyclonal antibody to KLF17
Specificity
The antibody detects endogenous levels of total KLF17 protein.
Applications
IHC
Reactivity
Human
Immunogen
Fusion protein corresponding to residues near the C terminal of human Kruppel-like factor 17
Host
Rabbit
Clonality
Polyclonal
Conjugate
Unconjugated
Purification
Antigen affinity purification.
Concentration
1.3 mg/mL
Formulation
Supplied in PBS, pH 7.3, containing 0.05% sodium azide and 50% glycerol.
Storage
Shipped at 4°C. Upon delivery aliquot and store at -20°C. Avoid freeze/thaw cycles.
Synonyms
Krueppel-like factor 17, Zinc finger protein 393, ZNF393
Suitable Secondaries
Goat Anti-Rabbit IgG H&L Antibody (AP) (A294874)
Goat Anti-Rabbit IgG H&L Antibody (Biotin) (A294795)
Goat Anti-Rabbit IgG H&L Antibody (FITC) (A294887)
Goat Anti-Rabbit IgG H&L Antibody (HRP) (A294888)
See all Anti-Rabbit IgG Secondaries →
Disclaimer
This product is for research use only. It is not intended for diagnostic or therapeutic use.
Scientific Validation Data
Validation Data
(2)
Enlarge Image
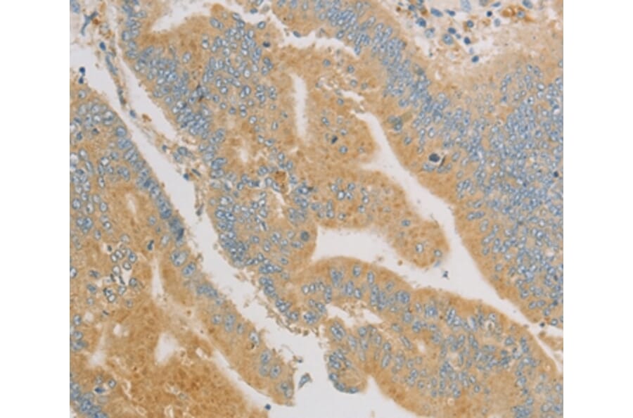
Immunohistochemistry - Anti-KLF17 Antibody (A45956)
Immunohistochemical analysis of paraffin-embedded Human colon cancer tissue using #36181 at dilution 1/30.
Enlarge Image
Immunohistochemistry - Anti-KLF17 Antibody (A45956)
Immunohistochemical analysis of paraffin-embedded Human thyroid cancer tissue using #36181 at dilution 1/30.
Publishing research using Anti-KLF17 Antibody (A45956)? Please
let us know
so that we can list the citation on this page.
Alternative products to Anti-KLF17 Antibody (A45956)
(3)
A278147
Anti-KLF17 Antibody [PCRP-KLF17-1G2] - BSA and Azide free
Mouse monoclonal [PCRP-KLF17-1G2] antibody to KLF17 for IP, WB, IF and Flow Cytometry.
(3)
A277559
Anti-KLF17 Antibody [PCRP-KLF17-1G2]
Mouse monoclonal [PCRP-KLF17-1G2] antibody to KLF17 for IP, WB, IF and Flow Cytometry.
A28498
Anti-KLF17 Antibody
Rabbit polyclonal antibody to KLF17 for WB.
A89879
Anti-KLF17 Antibody
Rabbit polyclonal antibody to KLF17 for WB.
(3)
A278147
Anti-KLF17 Antibody [PCRP-KLF17-1G2] - BSA and Azide free
Mouse monoclonal [PCRP-KLF17-1G2] antibody to KLF17 for IP, WB, IF and Flow Cytometry.
(3)
A277559
Anti-KLF17 Antibody [PCRP-KLF17-1G2]
Mouse monoclonal [PCRP-KLF17-1G2] antibody to KLF17 for IP, WB, IF and Flow Cytometry.
A28498
Anti-KLF17 Antibody
Rabbit polyclonal antibody to KLF17 for WB.
A89879
Anti-KLF17 Antibody
Rabbit polyclonal antibody to KLF17 for WB.
Proteins predicted to interact with KLF17
Predicted protein interactions based upon String database. Revelancy score correlates with probability of interaction.
ID1 Antibodies
77.5% Relevancy Score
ID2 Antibodies
70.7% Relevancy Score
ZNF289 Antibodies
66.6% Relevancy Score
TFCP2L1 Antibodies
65.6% Relevancy Score
Wnt2 Antibodies
55.7% Relevancy Score
Stella Antibodies
52.1% Relevancy Score
p53 Antibodies
51.4% Relevancy Score
Sodium Iodide Symporter Antibodies
50.6% Relevancy Score
OCT4 Antibodies
48.3% Relevancy Score
Top