Primary Antibodies
Secondary Antibodies
Proteins & Peptides
ELISA Kits
About Us
Contact Us
Sign In/Register
0
ISO 9001:2015 Certified
Live Customer Support
4.5/5 on Trustpilot
100% Quality Guarantee
Home
Primary Antibodies
KLHL8 Antibodies
Anti-KLHL8 Antibody (A46241)
Anti-KLHL8 Antibody (A46241)
Overview
Specifications
Images
Enlarge Image
Enlarge Image
$430
Product Datasheet
Rabbit polyclonal antibody to KLHL8 for IHC.
100% Guarantee
Price Match Guarantee
Product Size:
100µl
Quantity:
1
2
3
4
5
6
7
8
9
10
Add To Cart
Request a Quotation
Custom or Bulk Request
Shipping Information
Freight/Packing Charges:
$40
Dispatched from St. Louis, MO.
Lead Time: 6-9 business days.
Specifications
Name
Anti-KLHL8 Antibody
Description
Rabbit polyclonal antibody to KLHL8
Specificity
The antibody detects endogenous levels of total KLHL8 protein.
Applications
IHC
Reactivity
Human
Immunogen
Synthetic peptide corresponding to residues near the N terminal of human kelch-like family member 8
Host
Rabbit
Clonality
Polyclonal
Conjugate
Unconjugated
Purification
Antigen affinity purification.
Concentration
1.3 mg/mL
Formulation
Supplied in PBS, pH 7.3, containing 0.05% sodium azide and 50% glycerol.
Storage
Shipped at 4°C. Upon delivery aliquot and store at -20°C. Avoid freeze/thaw cycles.
Synonyms
Kelch-like protein 8, KIAA1378
Suitable Secondaries
Goat Anti-Rabbit IgG H&L Antibody (AP) (A294874)
Goat Anti-Rabbit IgG H&L Antibody (Biotin) (A294795)
Goat Anti-Rabbit IgG H&L Antibody (FITC) (A294887)
Goat Anti-Rabbit IgG H&L Antibody (HRP) (A294888)
See all Anti-Rabbit IgG Secondaries →
Disclaimer
This product is for research use only. It is not intended for diagnostic or therapeutic use.
Scientific Validation Data
Validation Data
(2)
Enlarge Image
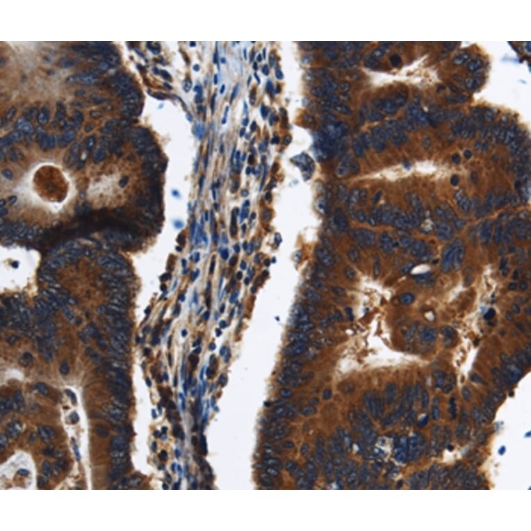
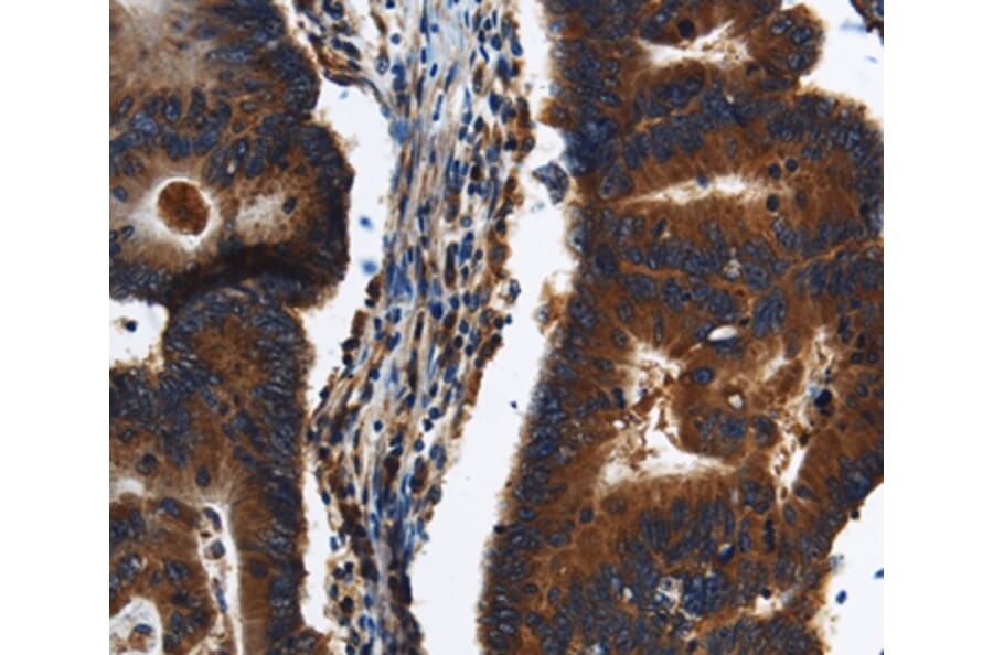
Immunohistochemistry - Anti-KLHL8 Antibody (A46241)
Immunohistochemical analysis of paraffin-embedded Human colon cancer tissue using #37687 at dilution 1/20.
Enlarge Image
Immunohistochemistry - Anti-KLHL8 Antibody (A46241)
Immunohistochemical analysis of paraffin-embedded Human liver cancer tissue using #37687 at dilution 1/20.
Publishing research using Anti-KLHL8 Antibody (A46241)? Please
let us know
so that we can list the citation on this page.
Alternative products to Anti-KLHL8 Antibody (A46241)
(4)
A90930
Anti-KLHL8 Antibody
Rabbit polyclonal antibody to KLHL8 for WB and ICC/IF.
(4)
A90930
Anti-KLHL8 Antibody
Rabbit polyclonal antibody to KLHL8 for WB and ICC/IF.
Proteins predicted to interact with KLHL8
Predicted protein interactions based upon String database. Revelancy score correlates with probability of interaction.
CUL3 Antibodies
98.9% Relevancy Score
RBX1 Antibodies
92.4% Relevancy Score
KLHDC5 Antibodies
92% Relevancy Score
SPOP Antibodies
91.4% Relevancy Score
KLHL9 Antibodies
91.3% Relevancy Score
ENC1 Antibodies
91.2% Relevancy Score
LZTR1 Antibodies
91.2% Relevancy Score
KBTBD7 Antibodies
91% Relevancy Score
KLHL25 Antibodies
90.9% Relevancy Score
Top