Primary Antibodies
Secondary Antibodies
Proteins & Peptides
ELISA Kits
About Us
Contact Us
Sign In/Register
0
ISO 9001:2015 Certified
Live Customer Support
4.5/5 on Trustpilot
100% Quality Guarantee
Home
Primary Antibodies
Kallikrein 14 Antibodies
Anti-KLK14 Antibody (A38073)
Anti-KLK14 Antibody (A38073)
Overview
Specifications
Images
Enlarge Image
Enlarge Image
$430
Product Datasheet
Rabbit polyclonal antibody to KLK14 for WB and IHC.
100% Guarantee
Price Match Guarantee
Product Size:
100µl
Quantity:
1
2
3
4
5
6
7
8
9
10
Add To Cart
Request a Quotation
Custom or Bulk Request
Shipping Information
Freight/Packing Charges:
$40
Dispatched from St. Louis, MO.
Lead Time: 6-9 business days.
Specifications
Name
Anti-KLK14 Antibody
Description
Rabbit polyclonal antibody to KLK14
Specificity
The antibody detects endogenous levels of total KLK14 protein.
Applications
WB
,
IHC
Reactivity
Human, Mouse
Immunogen
Synthetic peptide corresponding to residues near the C terminal of human kallikrein-related peptidase 14
Host
Rabbit
Clonality
Polyclonal
Conjugate
Unconjugated
Purification
Antigen affinity purification.
Concentration
2.7 mg/mL
Formulation
Supplied in PBS, pH 7.3, containing 0.05% sodium azide and 50% glycerol.
Storage
Shipped at 4°C. Upon delivery aliquot and store at -20°C. Avoid freeze/thaw cycles.
Synonyms
hK14, Kallikrein-14, Kallikrein-like protein 6, KLK-L6, KLKL6
Suitable Secondaries
Goat Anti-Rabbit IgG H&L Antibody (AP) (A294874)
Goat Anti-Rabbit IgG H&L Antibody (Biotin) (A294795)
Goat Anti-Rabbit IgG H&L Antibody (FITC) (A294887)
Goat Anti-Rabbit IgG H&L Antibody (HRP) (A294888)
See all Anti-Rabbit IgG Secondaries →
Disclaimer
This product is for research use only. It is not intended for diagnostic or therapeutic use.
Scientific Validation Data
Validation Data
(2)
Enlarge Image
Anti-KLK14 Antibody (A38073)
Gel: 8% SDS-PAGE Lysates (from left to right): Mouse spleen tissue Amount of lysate: 40ug per lane Primary antibody: 1/300 dilution Secondary antibody dilution: 1/8000 Exposure time: 3 minutes
Enlarge Image
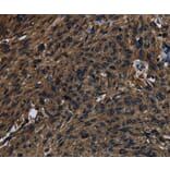
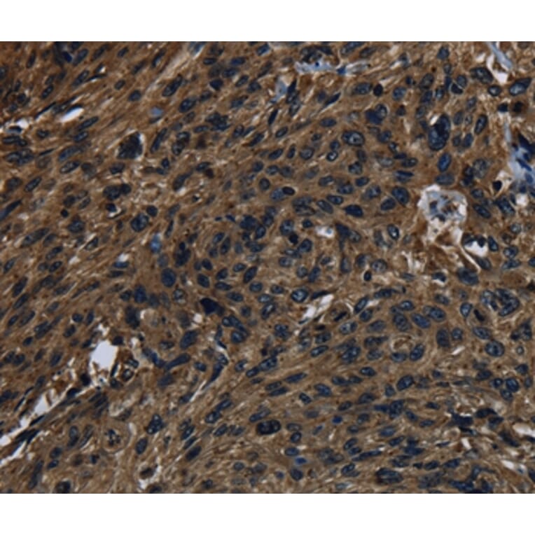
Immunohistochemistry - Anti-KLK14 Antibody (A38073)
Immunohistochemical analysis of paraffin-embedded Human oesophagus cancer tissue using #37688 at dilution 1/40.
Publishing research using Anti-KLK14 Antibody (A38073)? Please
let us know
so that we can list the citation on this page.
Alternative products to Anti-KLK14 Antibody (A38073)
A49007
Anti-Kallikrein 14 Antibody
Rabbit polyclonal antibody to Kallikrein 14 for ELISA and WB.
A304618
Anti-KLK14 Antibody - BSA and Azide free
Rabbit polyclonal antibody to KLK14 for WB.
A49007
Anti-Kallikrein 14 Antibody
Rabbit polyclonal antibody to Kallikrein 14 for ELISA and WB.
A304618
Anti-KLK14 Antibody - BSA and Azide free
Rabbit polyclonal antibody to KLK14 for WB.
Proteins predicted to interact with Kallikrein 14
Predicted protein interactions based upon String database. Revelancy score correlates with probability of interaction.
SPINK6 Antibodies
96.2% Relevancy Score
SIGLEC9 Antibodies
85.4% Relevancy Score
SPINK5 Antibodies
80% Relevancy Score
SIGLEC7 Antibodies
73.9% Relevancy Score
Kallikrein 13 Antibodies
58.8% Relevancy Score
CD33 Antibodies
55.8% Relevancy Score
APP Antibodies
53.9% Relevancy Score
Kallikrein 12 Antibodies
51.4% Relevancy Score
MMP3 Antibodies
50.3% Relevancy Score
Top