Primary Antibodies
Secondary Antibodies
Proteins & Peptides
ELISA Kits
About Us
Contact Us
Sign In/Register
0
ISO 9001:2015 Certified
Live Customer Support
4.5/5 on Trustpilot
100% Quality Guarantee
Home
Primary Antibodies
Kallikrein 5 Antibodies
Anti-KLK5 Antibody (A38877)
Anti-KLK5 Antibody (A38877)
Overview
Specifications
Images
Enlarge Image
Enlarge Image
Enlarge Image
Enlarge Image
$415
Product Datasheet
Rabbit polyclonal antibody to KLK5 for WB.
100% Guarantee
Price Match Guarantee
Product Size:
50µl
100µl
Quantity:
1
2
3
4
5
6
7
8
9
10
Add To Cart
Request a Quotation
Custom or Bulk Request
Shipping Information
Freight/Packing Charges:
$40
Dispatched from St. Louis, MO.
Lead Time: 6-9 business days.
Specifications
Name
Anti-KLK5 Antibody
Description
Rabbit polyclonal antibody to KLK5
Specificity
The antibody detects endogenous level of total KLK5 antibody.
Applications
WB
Reactivity
Human, Mouse, Rat
Immunogen
A synthetic peptide of human KLK5.
Host
Rabbit
Clonality
Polyclonal
Conjugate
Unconjugated
Purification
Antibodies were purified by affinity purification using immunogen.
Concentration
1.0 mg/mL
Formulation
Supplied in phosphate-buffered saline (without Mg²? and Ca²?), pH 7.4, containing 150 mM NaCl, 0.02% sodium azide, and 50% glycerol.
Storage
Shipped at 4°C. Upon delivery aliquot and store at -20°C. Avoid freeze/thaw cycles.
Synonyms
Kallikrein-5, Kallikrein-like protein 2, KLK-L2, SCTE, Stratum corneum tryptic enzyme
Suitable Secondaries
Goat Anti-Rabbit IgG H&L Antibody (AP) (A294874)
Goat Anti-Rabbit IgG H&L Antibody (Biotin) (A294795)
Goat Anti-Rabbit IgG H&L Antibody (FITC) (A294887)
Goat Anti-Rabbit IgG H&L Antibody (HRP) (A294888)
See all Anti-Rabbit IgG Secondaries →
Disclaimer
This product is for research use only. It is not intended for diagnostic or therapeutic use.
Scientific Validation Data
Validation Data
(4)
Enlarge Image
Anti-KLK5 Antibody (A38877)
Western blot analysis of extracts of mouse brain tissue lysate, using KLK5 antibody.
Enlarge Image
Immunohistochemistry - Anti-KLK5 Antibody (A38877)
Immunohistochemistry analysis of paraffin-embedded human ovarian cancer tissue using KLK5 antibody.
Enlarge Image
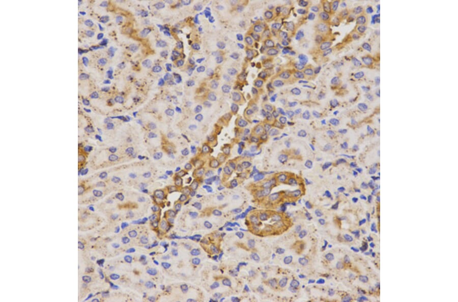
Immunohistochemistry - Anti-KLK5 Antibody (A38877)
Immunohistochemistry analysis of paraffin-embedded rat kidney tissue using KLK5 antibody at dilution of 1: 200 (x400 lens).
Enlarge Image
Immunohistochemistry - Anti-KLK5 Antibody (A38877)
Immunohistochemistry analysis of paraffin-embedded human liver cancer tissue using KLK5 antibody at dilution of 1: 200 (x400 lens).
Publishing research using Anti-KLK5 Antibody (A38877)? Please
let us know
so that we can list the citation on this page.
Alternative products to Anti-KLK5 Antibody (A38877)
(2)
A324121
Anti-Kallikrein 5 Antibody [Research Grade Antibody] - Low endotoxin, Azide free
Recombinant human monoclonal antibody to Kallikrein 5 for ELISA, FACS, Functional Assay and In Vivo.
(4)
A251860
Anti-Kallikrein 5 Antibody [KLK5/3841] - BSA and Azide free
Mouse monoclonal [KLK5/3841] antibody to Kallikrein 5 for IHC-P.
A83655
Anti-Kallikrein 5 Antibody
Goat polyclonal antibody to Kallikrein 5 for ELISA and WB.
(4)
A248678
Anti-Kallikrein 5 Antibody [KLK5/3841]
Mouse monoclonal [KLK5/3841] antibody to Kallikrein 5 for IHC-P.
(2)
A38783
Anti-KLK5 Antibody
Rabbit polyclonal antibody to KLK5 for WB and IHC.
A14293
Anti-Kallikrein 5 Antibody
Rabbit polyclonal antibody to Kallikrein 5 for WB.
A248679
Anti-Kallikrein 5 Antibody [KLK5/3843]
Mouse monoclonal [KLK5/3843] antibody to Kallikrein 5 for IHC-P.
A251861
Anti-Kallikrein 5 Antibody [KLK5/3843] - BSA and Azide free
Mouse monoclonal [KLK5/3843] antibody to Kallikrein 5 for IHC-P.
A248680
Anti-Kallikrein 5 Antibody [KLK5/3845]
Mouse monoclonal [KLK5/3845] antibody to Kallikrein 5 for IHC-P.
A251862
Anti-Kallikrein 5 Antibody [KLK5/3845] - BSA and Azide free
Mouse monoclonal [KLK5/3845] antibody to Kallikrein 5 for IHC-P.
A316583
Anti-Kallikrein 5 Antibody [KLK5/3855] - BSA and Azide free
Mouse monoclonal [KLK5/3855] antibody to Kallikrein 5 for IHC-P.
A316582
Anti-Kallikrein 5 Antibody [KLK5/3844] - BSA and Azide free
Mouse monoclonal [KLK5/3844] antibody to Kallikrein 5 for IHC-P.
(2)
A324121
Anti-Kallikrein 5 Antibody [Research Grade Antibody] - Low endotoxin, Azide free
Recombinant human monoclonal antibody to Kallikrein 5 for ELISA, FACS, Functional Assay and In Vivo.
(4)
A251860
Anti-Kallikrein 5 Antibody [KLK5/3841] - BSA and Azide free
Mouse monoclonal [KLK5/3841] antibody to Kallikrein 5 for IHC-P.
A83655
Anti-Kallikrein 5 Antibody
Goat polyclonal antibody to Kallikrein 5 for ELISA and WB.
(4)
A248678
Anti-Kallikrein 5 Antibody [KLK5/3841]
Mouse monoclonal [KLK5/3841] antibody to Kallikrein 5 for IHC-P.
(2)
A38783
Anti-KLK5 Antibody
Rabbit polyclonal antibody to KLK5 for WB and IHC.
A14293
Anti-Kallikrein 5 Antibody
Rabbit polyclonal antibody to Kallikrein 5 for WB.
A248679
Anti-Kallikrein 5 Antibody [KLK5/3843]
Mouse monoclonal [KLK5/3843] antibody to Kallikrein 5 for IHC-P.
A251861
Anti-Kallikrein 5 Antibody [KLK5/3843] - BSA and Azide free
Mouse monoclonal [KLK5/3843] antibody to Kallikrein 5 for IHC-P.
A248680
Anti-Kallikrein 5 Antibody [KLK5/3845]
Mouse monoclonal [KLK5/3845] antibody to Kallikrein 5 for IHC-P.
A251862
Anti-Kallikrein 5 Antibody [KLK5/3845] - BSA and Azide free
Mouse monoclonal [KLK5/3845] antibody to Kallikrein 5 for IHC-P.
A316583
Anti-Kallikrein 5 Antibody [KLK5/3855] - BSA and Azide free
Mouse monoclonal [KLK5/3855] antibody to Kallikrein 5 for IHC-P.
A316582
Anti-Kallikrein 5 Antibody [KLK5/3844] - BSA and Azide free
Mouse monoclonal [KLK5/3844] antibody to Kallikrein 5 for IHC-P.
See all KLK5 Antibodies
Proteins predicted to interact with Kallikrein 5
Predicted protein interactions based upon String database. Revelancy score correlates with probability of interaction.
SPINK5 Antibodies
99.2% Relevancy Score
SPINK6 Antibodies
95.2% Relevancy Score
Kallikrein 8 Antibodies
94.7% Relevancy Score
Filaggrin Antibodies
94.1% Relevancy Score
ST14 Antibodies
82% Relevancy Score
Desmoglein 1 Antibodies
80.9% Relevancy Score
Kallikrein 7 Antibodies
80.7% Relevancy Score
CAMP Antibodies
78.8% Relevancy Score
Caspase-14 Antibodies
70.5% Relevancy Score
Top