Primary Antibodies
Secondary Antibodies
Proteins & Peptides
ELISA Kits
About Us
Contact Us
Sign In/Register
0
ISO 9001:2015 Certified
Live Customer Support
4.5/5 on Trustpilot
100% Quality Guarantee
Home
Primary Antibodies
KLLN Antibodies
Anti-KLLN Antibody (A43949)
Anti-KLLN Antibody (A43949)
Overview
Specifications
Images
Enlarge Image
$430
Product Datasheet
Rabbit polyclonal antibody to KLLN for WB.
100% Guarantee
Price Match Guarantee
Product Size:
100µl
Quantity:
1
2
3
4
5
6
7
8
9
10
Add To Cart
Request a Quotation
Custom or Bulk Request
Shipping Information
Freight/Packing Charges:
$40
Dispatched from St. Louis, MO.
Lead Time: 6-9 business days.
Specifications
Name
Anti-KLLN Antibody
Description
Rabbit polyclonal antibody to KLLN
Specificity
The antibody detects endogenous levels of total KLLN protein.
Applications
WB
Reactivity
Human
Immunogen
Synthetic peptide corresponding to residues near the C terminal of human killin, p53-regulated DNA replication inhibitor
Host
Rabbit
Clonality
Polyclonal
Conjugate
Unconjugated
Purification
Antigen affinity purification.
Concentration
2.7 mg/mL
Formulation
Supplied in PBS, pH 7.3, containing 0.05% sodium azide and 50% glycerol.
Storage
Shipped at 4°C. Upon delivery aliquot and store at -20°C. Avoid freeze/thaw cycles.
Synonyms
Killin
Suitable Secondaries
Goat Anti-Rabbit IgG H&L Antibody (AP) (A294874)
Goat Anti-Rabbit IgG H&L Antibody (Biotin) (A294795)
Goat Anti-Rabbit IgG H&L Antibody (FITC) (A294887)
Goat Anti-Rabbit IgG H&L Antibody (HRP) (A294888)
See all Anti-Rabbit IgG Secondaries →
Disclaimer
This product is for research use only. It is not intended for diagnostic or therapeutic use.
Scientific Validation Data
Validation Data
(1)
Enlarge Image
Anti-KLLN Antibody (A43949)
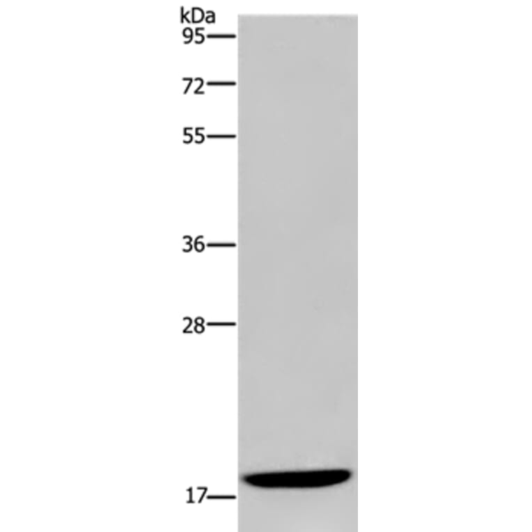
Gel: 10% SDS-PAGE Lysate: 40ug Hela cell Primary antibody: 1/350 dilution Secondary antibody dilution: 1/8000 Exposure time: 2 minutes
Publishing research using Anti-KLLN Antibody (A43949)? Please
let us know
so that we can list the citation on this page.
Proteins predicted to interact with KLLN
Predicted protein interactions based upon String database. Revelancy score correlates with probability of interaction.
PTEN Antibodies
51.6% Relevancy Score
SEC23B Antibodies
50.7% Relevancy Score
SLC16A12 Antibodies
47.3% Relevancy Score
SDHB Antibodies
43.7% Relevancy Score
SLITRK6 Antibodies
40.4% Relevancy Score
SDHD Antibodies
39.8% Relevancy Score
SLITRK1 Antibodies
38.9% Relevancy Score
FLCN Antibodies
35.4% Relevancy Score
p73 Antibodies
35.1% Relevancy Score
Top