ISO 9001:2015 Certified
Live Customer Support
4.5/5 on Trustpilot
100% Quality Guarantee

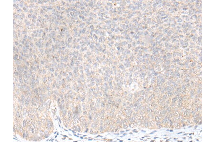
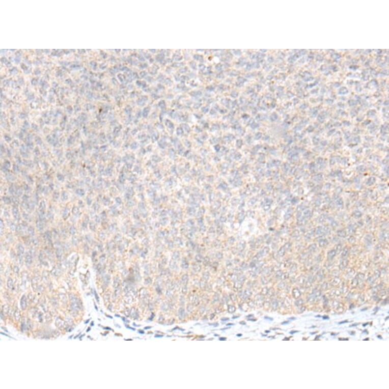
Anti-KLRC3 Antibody (A46614)

Rabbit polyclonal antibody to KLRC3 for IHC.

Shipping Information

$40
Dispatched from St. Louis, MO.
Lead Time: 6-9 business days.
Name
Anti-KLRC3 Antibody
Description
Rabbit polyclonal antibody to KLRC3
Specificity
The antibody detects endogenous levels of total KLRC3 protein.
Applications
IHC
Reactivity
Human
Immunogen
Synthetic peptide of human KLRC3
Host
Rabbit
Clonality
Polyclonal
Conjugate

Unconjugated

Purification
Antigen affinity purification
Concentration
0.5 mg/mL
Formulation
Rabbit IgG in pH7.4 PBS, 0.05% NaN3, 40% Glycerol.
Storage
Shipped at 4°C. Upon delivery aliquot and store at -20°C. Avoid freeze/thaw cycles.
Synonyms
NK cell receptor E, NKG2-E type II integral membrane protein, NKG2-E-activating NK receptor, NKG2E
Disclaimer
This product is for research use only. It is not intended for diagnostic or therapeutic use.
Publishing research using Anti-KLRC3 Antibody (A46614)? Please let us know so that we can list the citation on this page.

Proteins predicted to interact with KLRC3

Predicted protein interactions based upon String database. Revelancy score correlates with probability of interaction.
99.9% Relevancy Score
99.5% Relevancy Score
98.6% Relevancy Score
87.8% Relevancy Score
85.9% Relevancy Score
85.8% Relevancy Score
72.7% Relevancy Score
72.7% Relevancy Score
61.8% Relevancy Score