Primary Antibodies
Secondary Antibodies
Proteins & Peptides
ELISA Kits
About Us
Contact Us
Sign In/Register
0
ISO 9001:2015 Certified
Live Customer Support
4.5/5 on Trustpilot
100% Quality Guarantee
Home
Primary Antibodies
KPNB1 Antibodies
Anti-KPNB1 Antibody (A46233)
Anti-KPNB1 Antibody (A46233)
Overview
Specifications
Images
Enlarge Image
Enlarge Image
$430
Product Datasheet
Rabbit polyclonal antibody to KPNB1 for IHC.
100% Guarantee
Price Match Guarantee
Product Size:
100µl
Quantity:
1
2
3
4
5
6
7
8
9
10
Add To Cart
Request a Quotation
Custom or Bulk Request
Shipping Information
Freight/Packing Charges:
$40
Dispatched from St. Louis, MO.
Lead Time: 6-9 business days.
Specifications
Name
Anti-KPNB1 Antibody
Description
Rabbit polyclonal antibody to KPNB1
Specificity
The antibody detects endogenous levels of total KPNB1 protein.
Applications
IHC
Reactivity
Human, Mouse, Rat
Immunogen
Synthetic peptide corresponding to a region derived from internal residues of human karyopherin (importin) beta 1
Host
Rabbit
Clonality
Polyclonal
Conjugate
Unconjugated
Purification
Antigen affinity purification.
Concentration
2.6 mg/mL
Formulation
Supplied in PBS, pH 7.3, containing 0.05% sodium azide and 50% glycerol.
Storage
Shipped at 4°C. Upon delivery aliquot and store at -20°C. Avoid freeze/thaw cycles.
Synonyms
Importin subunit beta-1, Importin-90, Karyopherin subunit beta-1, NTF97, Nuclear factor p97, Pore targeting complex 97 kDa subunit, PTAC97
Suitable Secondaries
Goat Anti-Rabbit IgG H&L Antibody (AP) (A294874)
Goat Anti-Rabbit IgG H&L Antibody (Biotin) (A294795)
Goat Anti-Rabbit IgG H&L Antibody (FITC) (A294887)
Goat Anti-Rabbit IgG H&L Antibody (HRP) (A294888)
See all Anti-Rabbit IgG Secondaries →
Disclaimer
This product is for research use only. It is not intended for diagnostic or therapeutic use.
Scientific Validation Data
Validation Data
(2)
Enlarge Image
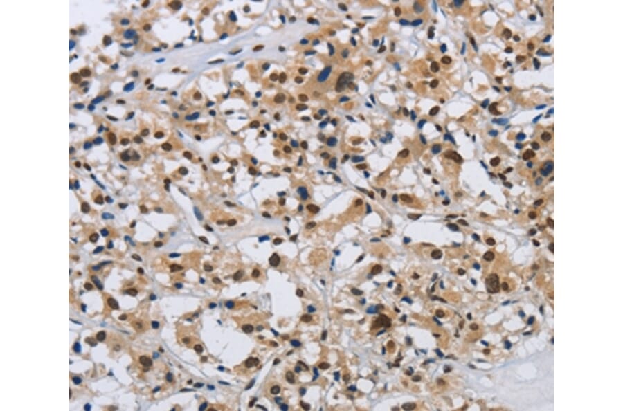
Immunohistochemistry - Anti-KPNB1 Antibody (A46233)
Immunohistochemical analysis of paraffin-embedded Human cervical cancer tissue using #37656 at dilution 1/40.
Enlarge Image
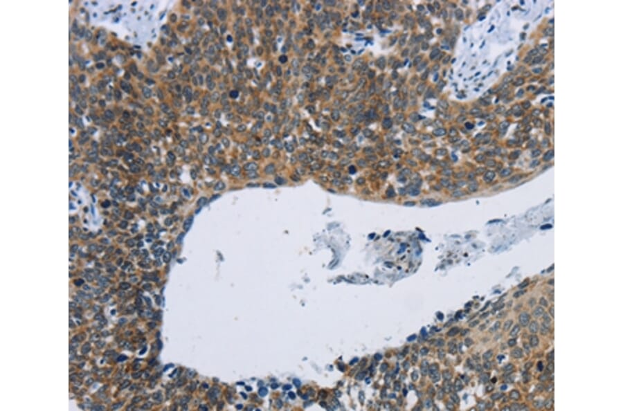
Immunohistochemistry - Anti-KPNB1 Antibody (A46233)
Immunohistochemical analysis of paraffin-embedded Human thyroid cancer tissue using #37656 at dilution 1/40.
Publishing research using Anti-KPNB1 Antibody (A46233)? Please
let us know
so that we can list the citation on this page.
Alternative products to Anti-KPNB1 Antibody (A46233)
(4)
A84149
Anti-KPNB1 Antibody
Goat polyclonal antibody to KPNB1 for ELISA, WB, IHC, IF and Flow Cytometry.
(4)
A16248
Anti-KPNB1 Antibody
Rabbit polyclonal antibody to KPNB1 for WB, IHC and ICC/IF.
A322308
Anti-KPNB1 Antibody [OTI6H3]
Mouse monoclonal [OTI6H3] antibody to KPNB1 for IHC and WB.
A322307
Anti-KPNB1 Antibody [OTI6H3] - BSA and Azide free
Mouse monoclonal [OTI6H3] antibody to KPNB1 for IHC and WB.
A346914
Anti-KPNB1 Antibody [25GB5900]
Mouse monoclonal [25GB5900] antibody to KPNB1 for WB and Flow Cytometry.
(4)
A84149
Anti-KPNB1 Antibody
Goat polyclonal antibody to KPNB1 for ELISA, WB, IHC, IF and Flow Cytometry.
(4)
A16248
Anti-KPNB1 Antibody
Rabbit polyclonal antibody to KPNB1 for WB, IHC and ICC/IF.
A322308
Anti-KPNB1 Antibody [OTI6H3]
Mouse monoclonal [OTI6H3] antibody to KPNB1 for IHC and WB.
A322307
Anti-KPNB1 Antibody [OTI6H3] - BSA and Azide free
Mouse monoclonal [OTI6H3] antibody to KPNB1 for IHC and WB.
A346914
Anti-KPNB1 Antibody [25GB5900]
Mouse monoclonal [25GB5900] antibody to KPNB1 for WB and Flow Cytometry.
See all KPNB1 Antibodies
Proteins predicted to interact with KPNB1
Predicted protein interactions based upon String database. Revelancy score correlates with probability of interaction.
Importin alpha 5 Antibodies
99.9% Relevancy Score
Ran Antibodies
99.9% Relevancy Score
KPNA2 Antibodies
99.9% Relevancy Score
NUP153 Antibodies
99.6% Relevancy Score
KPNA6 Antibodies
99.5% Relevancy Score
KPNA4 Antibodies
99.5% Relevancy Score
RanBP2 Antibodies
99.3% Relevancy Score
KPNA3 Antibodies
99% Relevancy Score
NUP98 Antibodies
98.1% Relevancy Score
Top