Primary Antibodies
Secondary Antibodies
Proteins & Peptides
ELISA Kits
About Us
Contact Us
Sign In/Register
0
ISO 9001:2015 Certified
Live Customer Support
4.5/5 on Trustpilot
100% Quality Guarantee
Home
Primary Antibodies
KRT6B Antibodies
Anti-KRT6B Antibody (A46125)
Anti-KRT6B Antibody (A46125)
Overview
Specifications
Images
Enlarge Image
Enlarge Image
$430
Product Datasheet
Rabbit polyclonal antibody to KRT6B for IHC.
100% Guarantee
Price Match Guarantee
Product Size:
100µl
Quantity:
1
2
3
4
5
6
7
8
9
10
Add To Cart
Request a Quotation
Custom or Bulk Request
Shipping Information
Freight/Packing Charges:
$40
Dispatched from St. Louis, MO.
Lead Time: 6-9 business days.
Specifications
Name
Anti-KRT6B Antibody
Description
Rabbit polyclonal antibody to KRT6B
Specificity
The antibody detects endogenous levels of total KRT6B protein.
Applications
IHC
Reactivity
Human
Immunogen
Synthetic peptide corresponding to a region derived from internal residues of human keratin 6B
Host
Rabbit
Clonality
Polyclonal
Conjugate
Unconjugated
Purification
Antigen affinity purification.
Concentration
1.4 mg/mL
Formulation
Supplied in PBS, pH 7.3, containing 0.05% sodium azide and 50% glycerol.
Storage
Shipped at 4°C. Upon delivery aliquot and store at -20°C. Avoid freeze/thaw cycles.
Synonyms
CK-6B, Cytokeratin-6B, K6B, Keratin, type II cytoskeletal 6B, Keratin-6B, KRTL1, Type-II keratin Kb10
Suitable Secondaries
Goat Anti-Rabbit IgG H&L Antibody (AP) (A294874)
Goat Anti-Rabbit IgG H&L Antibody (Biotin) (A294795)
Goat Anti-Rabbit IgG H&L Antibody (FITC) (A294887)
Goat Anti-Rabbit IgG H&L Antibody (HRP) (A294888)
See all Anti-Rabbit IgG Secondaries →
Disclaimer
This product is for research use only. It is not intended for diagnostic or therapeutic use.
Scientific Validation Data
Validation Data
(2)
Enlarge Image
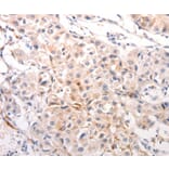
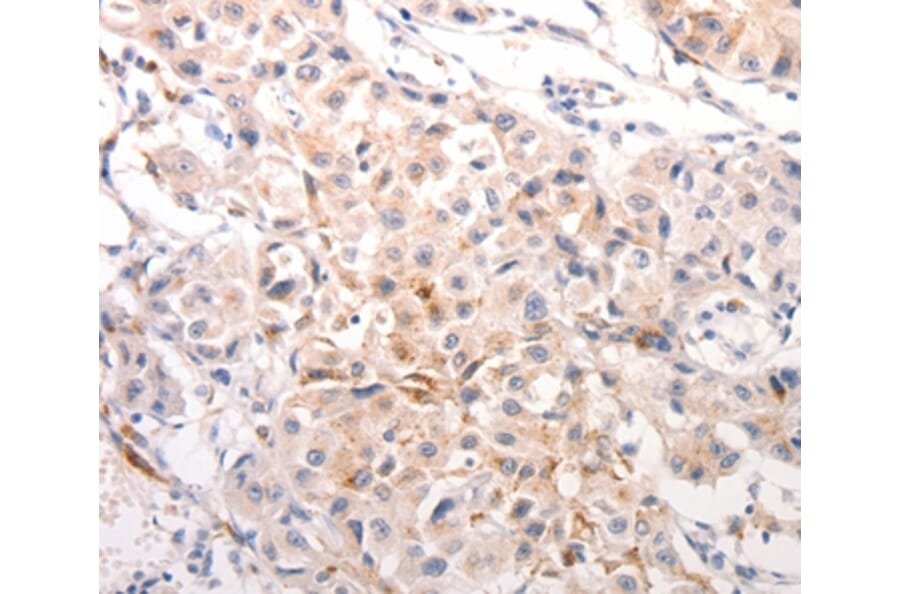
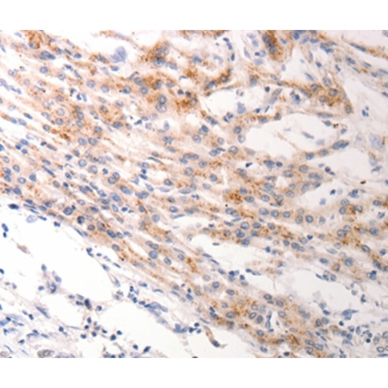
Immunohistochemistry - Anti-KRT6B Antibody (A46125)
Immunohistochemical analysis of paraffin-embedded Human lung cancer tissue using #37106 at dilution 1/0.
Enlarge Image
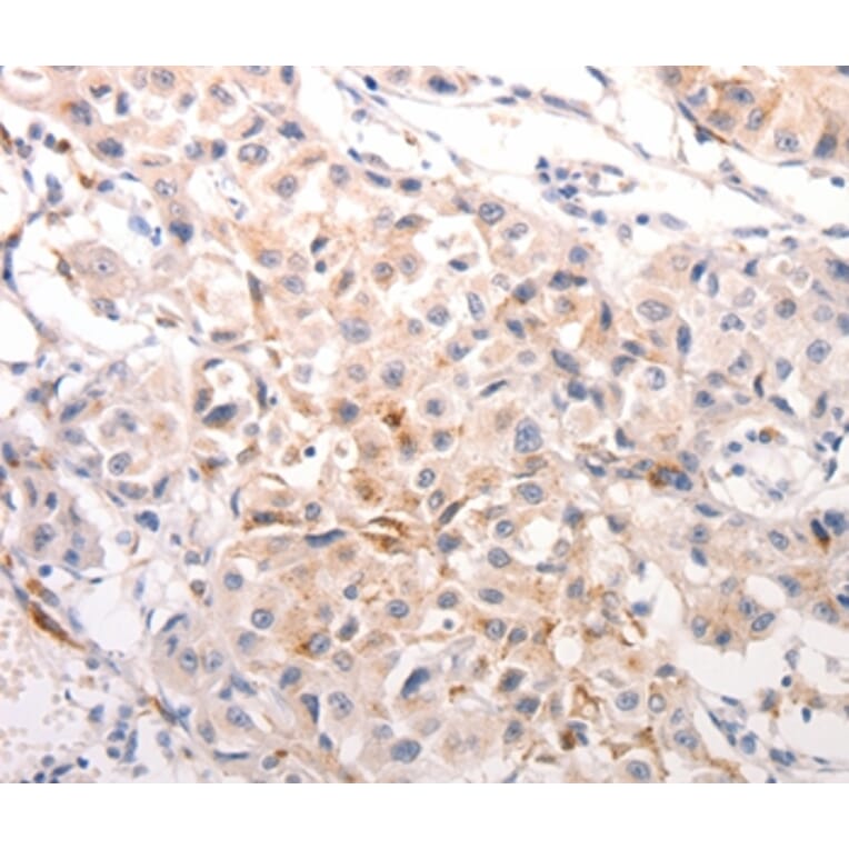
Immunohistochemistry - Anti-KRT6B Antibody (A46125)
Immunohistochemical analysis of paraffin-embedded Human breast cancer tissue using #37106.
Publishing research using Anti-KRT6B Antibody (A46125)? Please
let us know
so that we can list the citation on this page.
Proteins predicted to interact with KRT6B
Predicted protein interactions based upon String database. Revelancy score correlates with probability of interaction.
Cytokeratin 16 Antibodies
93.8% Relevancy Score
Cytokeratin 6A Antibodies
88.6% Relevancy Score
Cytokeratin 17 Antibodies
87.4% Relevancy Score
Cytokeratin 5 Antibodies
86.1% Relevancy Score
Cytokeratin 14 Antibodies
83.5% Relevancy Score
Desmoglein 3 Antibodies
78.6% Relevancy Score
Cytokeratin 6 Antibodies
77.2% Relevancy Score
Cytokeratin 2e Antibodies
66.6% Relevancy Score
Cytokeratin 1 Antibodies
65.8% Relevancy Score
Top