Primary Antibodies
Secondary Antibodies
Proteins & Peptides
ELISA Kits
About Us
Contact Us
Sign In/Register
0
ISO 9001:2015 Certified
Live Customer Support
4.5/5 on Trustpilot
100% Quality Guarantee
Home
Primary Antibodies
KSR1 Antibodies
Anti-KSR1 Antibody (A46941)
Anti-KSR1 Antibody (A46941)
Overview
Specifications
Images
Enlarge Image
Enlarge Image
$430
Product Datasheet
Rabbit polyclonal antibody to KSR1 for IHC.
100% Guarantee
Price Match Guarantee
Product Size:
100µl
Quantity:
1
2
3
4
5
6
7
8
9
10
Add To Cart
Request a Quotation
Custom or Bulk Request
Shipping Information
Freight/Packing Charges:
$40
Dispatched from St. Louis, MO.
Lead Time: 6-9 business days.
Specifications
Name
Anti-KSR1 Antibody
Description
Rabbit polyclonal antibody to KSR1
Specificity
The antibody detects endogenous levels of total KSR1 protein.
Applications
IHC
Reactivity
Human
Immunogen
Synthetic peptide corresponding to residues near the C terminal of human kinase suppressor of ras 1
Host
Rabbit
Clonality
Polyclonal
Conjugate
Unconjugated
Purification
Antigen affinity purification.
Concentration
2.1 mg/mL
Formulation
Supplied in PBS, pH 7.3, containing 0.05% sodium azide and 50% glycerol.
Storage
Shipped at 4°C. Upon delivery aliquot and store at -20°C. Avoid freeze/thaw cycles.
Synonyms
Kinase suppressor of Ras 1, KSR
Suitable Secondaries
Goat Anti-Rabbit IgG H&L Antibody (AP) (A294874)
Goat Anti-Rabbit IgG H&L Antibody (Biotin) (A294795)
Goat Anti-Rabbit IgG H&L Antibody (FITC) (A294887)
Goat Anti-Rabbit IgG H&L Antibody (HRP) (A294888)
See all Anti-Rabbit IgG Secondaries →
Disclaimer
This product is for research use only. It is not intended for diagnostic or therapeutic use.
Scientific Validation Data
Validation Data
(2)
Enlarge Image
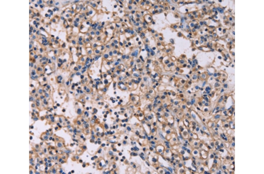
Immunohistochemistry - Anti-KSR1 Antibody (A46941)
Immunohistochemical analysis of paraffin-embedded Human prostate cancer tissue using #37692 at dilution 1/30.
Enlarge Image
Immunohistochemistry - Anti-KSR1 Antibody (A46941)
Immunohistochemical analysis of paraffin-embedded Human brain tissue using #37692 at dilution 1/30.
Publishing research using Anti-KSR1 Antibody (A46941)? Please
let us know
so that we can list the citation on this page.
Alternative products to Anti-KSR1 Antibody (A46941)
(4)
A96650
Anti-KSR Antibody
Rabbit polyclonal antibody to KSR for WB, IHC, IF and ELISA.
(3)
A94284
Anti-KSR (phospho Ser392) Antibody
Rabbit polyclonal antibody to KSR (phospho Ser392) for WB, IHC, IF and ELISA.
(2)
A25728
Anti-KSR (R386) Antibody
Rabbit polyclonal antibody to KSR (R386) for WB, IHC and IF.
(2)
A87875
Anti-KSR1 Antibody
Rabbit polyclonal antibody to KSR1 for WB and ICC/IF.
A346917
Anti-KSR1 Antibody [24GB11030]
Recombinant rabbit monoclonal [24GB11030] antibody to KSR1 for WB, Flow Cytometry and ICC/IF.
A346918
Anti-KSR1 Antibody [23GB6290]
Recombinant rabbit monoclonal [23GB6290] antibody to KSR1 for WB, Flow Cytometry and ICC/IF.
(4)
A96650
Anti-KSR Antibody
Rabbit polyclonal antibody to KSR for WB, IHC, IF and ELISA.
(3)
A94284
Anti-KSR (phospho Ser392) Antibody
Rabbit polyclonal antibody to KSR (phospho Ser392) for WB, IHC, IF and ELISA.
(2)
A25728
Anti-KSR (R386) Antibody
Rabbit polyclonal antibody to KSR (R386) for WB, IHC and IF.
(2)
A87875
Anti-KSR1 Antibody
Rabbit polyclonal antibody to KSR1 for WB and ICC/IF.
A346917
Anti-KSR1 Antibody [24GB11030]
Recombinant rabbit monoclonal [24GB11030] antibody to KSR1 for WB, Flow Cytometry and ICC/IF.
A346918
Anti-KSR1 Antibody [23GB6290]
Recombinant rabbit monoclonal [23GB6290] antibody to KSR1 for WB, Flow Cytometry and ICC/IF.
See all KSR1 Antibodies
Proteins predicted to interact with KSR1
Predicted protein interactions based upon String database. Revelancy score correlates with probability of interaction.
Raf1 Antibodies
99.9% Relevancy Score
LSP1 Antibodies
99.7% Relevancy Score
MEK1 Antibodies
99.6% Relevancy Score
BRAP Antibodies
98.4% Relevancy Score
MEK2 Antibodies
97.7% Relevancy Score
MARK3 Antibodies
97.6% Relevancy Score
DC-SIGN Antibodies
95.1% Relevancy Score
CNKSR1 Antibodies
94.1% Relevancy Score
B-Raf Antibodies
93.9% Relevancy Score
Top